Skip to main content

Ornithine Carbamoyltransferase Antibody (OTI8A1)

Novus Biologicals, part of Bio-Techne | Catalog # NBP2-46303

Novus Biologicals, part of Bio-Techne
Catalog #
Availability
Size / Price
Qty
Loading...
NBP2-46303

Key Product Details

Species Reactivity

Human, Mouse, Rat

Applications

Immunohistochemistry, Immunohistochemistry-Paraffin, Western Blot

Label

Unconjugated

Antibody Source

Monoclonal Mouse IgG1 Clone # OTI8A1

Concentration

1 mg/ml

Product Specifications

Immunogen

Human recombinant protein fragment corresponding to amino acids 33-354 of human OTC (NP_000522)produced in E.coli.

Reactivity Notes

Please note that this antibody is reactive to Mouse and derived from the same host, Mouse. Mouse-On-Mouse blocking reagent may be needed for IHC and ICC experiments to reduce high background signal. You can find these reagents under catalog numbers PK-2200-NB and MP-2400-NB. Please contact Technical Support if you have any questions.

Clonality

Monoclonal

Host

Mouse

Isotype

IgG1

Theoretical MW

36.1 kDa.
Disclaimer note: The observed molecular weight of the protein may vary from the listed predicted molecular weight due to post translational modifications, post translation cleavages, relative charges, and other experimental factors.

Description

Novus Biologicals Mouse Ornithine Carbamoyltransferase Antibody (OTI8A1) (NBP2-46303) is a monoclonal antibody validated for use in IHC and WB. All Novus Biologicals antibodies are covered by our 100% guarantee.

Scientific Data Images for Ornithine Carbamoyltransferase Antibody (OTI8A1)

Western Blot: Ornithine Carbamoyltransferase Antibody (OTI8A1) [NBP2-46303]

Western Blot: Ornithine Carbamoyltransferase Antibody (OTI8A1) [NBP2-46303]

Western Blot: Ornithine Carbamoyltransferase Antibody (8A1) [NBP2-46303] - HEK293T cells were transfected with the pCMV6- ENTRY control (Left lane) or pCMV6-ENTRY OTC (RC214662, Right lane) cDNA for 48 hrs and lysed.Equivalent amounts of cell lysates (5 ug per lane) were separated by SDS-PAGE and immunoblotted with antiOTC.
Immunohistochemistry-Paraffin: Ornithine Carbamoyltransferase Antibody (OTI8A1) [NBP2-46303]

Immunohistochemistry-Paraffin: Ornithine Carbamoyltransferase Antibody (OTI8A1) [NBP2-46303]

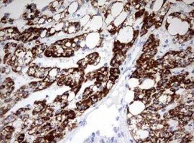
Immunohistochemistry-Paraffin: Ornithine Carbamoyltransferase Antibody (8A1) [NBP2-46303] - Paraffin-embedded Carcinoma of Human liver tissue using anti-OTC mouse monoclonal antibody. Dilution: 1:150
Immunohistochemistry-Paraffin: Ornithine Carbamoyltransferase Antibody (OTI8A1) [NBP2-46303]

Immunohistochemistry-Paraffin: Ornithine Carbamoyltransferase Antibody (OTI8A1) [NBP2-46303]

Immunohistochemistry-Paraffin: Ornithine Carbamoyltransferase Antibody (8A1) [NBP2-46303] - Paraffin-embedded Human liver tissue within the normal limits using antiOTC mouse monoclonal antibody. Dilution: 1:150

Applications for Ornithine Carbamoyltransferase Antibody (OTI8A1)

Application
Recommended Usage

Immunohistochemistry

1:150

Immunohistochemistry-Paraffin

1:150

Western Blot

1:2000

Formulation, Preparation, and Storage

Purification

Immunogen affinity purified

Formulation

PBS (pH 7.3), 1.0% BSA and 50% Glycerol

Preservative

0.02% Sodium Azide

Concentration

1 mg/ml

Shipping

The product is shipped with polar packs. Upon receipt, store it immediately at the temperature recommended below.

Stability & Storage

Store at -20C. Avoid freeze-thaw cycles.

Background: Ornithine Carbamoyltransferase/OTC

This nuclear gene encodes a mitochondrial matrix enzyme. Missense, nonsense, and frameshift mutations in this enzyme lead to ornithine transcarbamylase deficiency, which causes hyperammonemia. Since the gene for this enzyme maps close to that for Duchenne muscular dystrophy, it may play a role in that disease also. (provided by RefSeq)

Alternate Names

OCTD, Ornithine Transcarbamylase, OTC, OTCase

Gene Symbol

OTC

Additional Ornithine Carbamoyltransferase/OTC Products

Product Documents for Ornithine Carbamoyltransferase Antibody (OTI8A1)

Certificate of Analysis

To download a Certificate of Analysis, please enter a lot number in the search box below.

Product Specific Notices for Ornithine Carbamoyltransferase Antibody (OTI8A1)

This product is for research use only and is not approved for use in humans or in clinical diagnosis. Primary Antibodies are guaranteed for 1 year from date of receipt.

Loading...
Loading...
Loading...
Loading...