Skip to main content

ORC5L Antibody - BSA Free

Novus Biologicals, part of Bio-Techne | Catalog # NBP3-47253

Novus Biologicals, part of Bio-Techne
Catalog #
Availability
Size / Price
Qty
Loading...
NBP3-47253

Key Product Details

Species Reactivity

Human, Mouse, Rat

Applications

Immunohistochemistry, Western Blot, ELISA

Label

Unconjugated

Antibody Source

Polyclonal Rabbit IgG

Format

BSA Free

Concentration

Please see the vial label for concentration. If unlisted please contact technical services.

Product Specifications

Immunogen

origin recognition complex, subunit 5-like. (Uniprot# O43913)

Clonality

Polyclonal

Host

Rabbit

Isotype

IgG

Theoretical MW

50 kDa.
Disclaimer note: The observed molecular weight of the protein may vary from the listed predicted molecular weight due to post translational modifications, post translation cleavages, relative charges, and other experimental factors.

Description

Novus Biologicals Rabbit ORC5L Antibody - BSA Free (NBP3-47253) is a polyclonal antibody validated for use in IHC, WB and ELISA. All Novus Biologicals antibodies are covered by our 100% guarantee.

Scientific Data Images for ORC5L Antibody - BSA Free

ORC5L Antibody - BSA Free

Western Blot: ORC5L Antibody - BSA Free [NBP3-47253] -

Western Blot: ORC5L Antibody - BSA Free [NBP3-47253] - Mouse ovary tissue were subjected to SDS PAGE followed by western blot with (ORC5L antibody) at dilution of 1:400
ORC5L Antibody - BSA Free

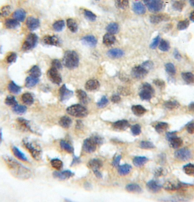
Immunohistochemistry: ORC5L Antibody - BSA Free [NBP3-47253] -

Immunohistochemistry: ORC5L Antibody - BSA Free [NBP3-47253] - Immunohistochemistry of paraffin-embedded human pancreas cancer using (ORC5L antibody) at dilution of 1:50

Applications for ORC5L Antibody - BSA Free

Application
Recommended Usage

Immunohistochemistry

1:20-1:200

Western Blot

1:500-1:2000

Formulation, Preparation, and Storage

Purification

Immunogen affinity purified

Formulation

PBS, 50% Glycerol, pH (7.3)

Format

BSA Free

Preservative

0.02% Sodium Azide

Concentration

Please see the vial label for concentration. If unlisted please contact technical services.

Shipping

The product is shipped with polar packs. Upon receipt, store it immediately at the temperature recommended below.

Stability & Storage

Store at -20C. Avoid freeze-thaw cycles.

Background: ORC5L

ORC5L - origin recognition complex, subunit 5-like (yeast)

Alternate Names

ORC5Lorigin recognition complex, subunit 5-like (yeast), ORC5P, ORC5T, origin recognition complex subunit 5, origin recognition complex, subunit 5, origin recognition complex, subunit 5 (yeast homolog)-like, origin recognition complex, subunit 5 homolog (yeast), origin recognition complex, subunit 5-like

Gene Symbol

ORC5

Additional ORC5L Products

Product Documents for ORC5L Antibody - BSA Free

Certificate of Analysis

To download a Certificate of Analysis, please enter a lot number in the search box below.

Product Specific Notices for ORC5L Antibody - BSA Free

This product is for research use only and is not approved for use in humans or in clinical diagnosis. Primary Antibodies are guaranteed for 1 year from date of receipt.

Loading...
Loading...
Loading...
Loading...