Skip to main content

Orai1 Antibody - BSA Free

Novus Biologicals, part of Bio-Techne | Catalog # NBP1-85463

Novus Biologicals, part of Bio-Techne
Catalog #
Availability
Size / Price
Qty
Loading...
NBP1-85463
NBP1-85463-25ul

Key Product Details

Species Reactivity

Validated:

Human

Predicted:

Mouse (95%), Rat (95%). Backed by our 100% Guarantee.

Applications

Immunohistochemistry, Immunohistochemistry-Paraffin, Western Blot, Immunocytochemistry/ Immunofluorescence

Label

Unconjugated

Antibody Source

Polyclonal Rabbit IgG

Format

BSA Free

Concentration

Concentrations vary lot to lot. See vial label for concentration. If unlisted please contact technical services.

Product Specifications

Immunogen

This antibody was developed against Recombinant Protein corresponding to amino acids: SLVSHKTDRQFQELNELAEFARLQDQLDHRGDHPLTPGSHYA

Clonality

Polyclonal

Host

Rabbit

Isotype

IgG

Description

Novus Biologicals Rabbit Orai1 Antibody - BSA Free (NBP1-85463) is a polyclonal antibody validated for use in IHC, WB and ICC/IF. All Novus Biologicals antibodies are covered by our 100% guarantee.

Scientific Data Images for Orai1 Antibody - BSA Free

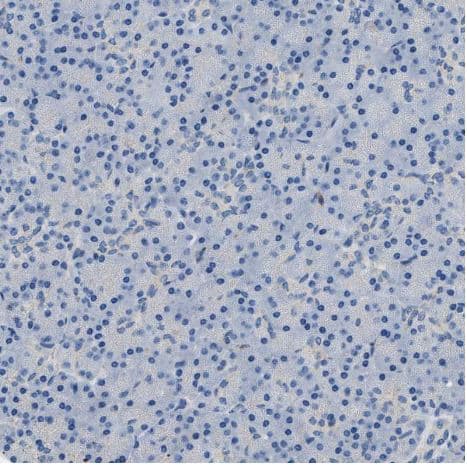
Immunohistochemistry-Paraffin: Orai1 Antibody [NBP1-85463]

Immunohistochemistry-Paraffin: Orai1 Antibody [NBP1-85463]

Immunohistochemistry-Paraffin: Orai1 Antibody [NBP1-85463] - Analysis in human skin and pancreas tissues using NBP1-85463 antibody. Corresponding Orai1 RNA-seq data are presented for the same tissues.
Immunocytochemistry/ Immunofluorescence: Orai1 Antibody [NBP1-85463]

Immunocytochemistry/ Immunofluorescence: Orai1 Antibody [NBP1-85463]

Immunocytochemistry/Immunofluorescence: Orai1 Antibody [NBP1-85463] - Staining of human cell line U-251 MG shows localization to cytosol. Antibody staining is shown in green.
Western Blot: Orai1 Antibody [NBP1-85463]

Western Blot: Orai1 Antibody [NBP1-85463]

Western Blot: Orai1 Antibody [NBP1-85463] - Analysis in human cell line NB4.

Applications for Orai1 Antibody - BSA Free

Application
Recommended Usage

Immunocytochemistry/ Immunofluorescence

0.25-2 ug/ml

Immunohistochemistry

1:50 - 1:200

Immunohistochemistry-Paraffin

1:50 - 1:200

Western Blot

0.04 - 0.4 ug/ml
Application Notes
For IHC-Paraffin, HIER pH 6 retrieval method is recommended. ICC/IF Fixation Permeabilization: Use PFA/Triton X-100.

Formulation, Preparation, and Storage

Purification

Affinity purified

Formulation

PBS (pH 7.2) and 40% Glycerol

Format

BSA Free

Preservative

0.02% Sodium Azide

Concentration

Concentrations vary lot to lot. See vial label for concentration. If unlisted please contact technical services.

Shipping

The product is shipped with polar packs. Upon receipt, store it immediately at the temperature recommended below.

Stability & Storage

Store at 4C short term. Aliquot and store at -20C long term. Avoid freeze-thaw cycles.

Background: Orai1

Orai1 is a membrane calcium channel subunit that is activated by the calcium sensor STIM1 when calcium stores are depleted. Orai1 is a pore subunit of Ca(2+) release-activated Ca(2+) CRAC channels, and STIM1 acts as an endoplasmic reticulum (ER) Ca(2+) sensor that detects store depletion. This type of channel is the primary way for calcium influx into T-cells. Defects in Orai1 are a cause of immune dysfunction with T-cell inactivation due to calcium entry defect type 1.

Long Name

ORAI Calcium Release-activated Calcium Modulator 1

Alternate Names

CRACM1, ORAT1, TMEM142A

Gene Symbol

ORAI1

Additional Orai1 Products

Product Documents for Orai1 Antibody - BSA Free

Certificate of Analysis

To download a Certificate of Analysis, please enter a lot number in the search box below.

Product Specific Notices for Orai1 Antibody - BSA Free

This product is for research use only and is not approved for use in humans or in clinical diagnosis. Primary Antibodies are guaranteed for 1 year from date of receipt.

Loading...
Loading...
Loading...
Loading...