Skip to main content

ONECUT2/OC-2 Antibody - BSA Free

Novus Biologicals, part of Bio-Techne | Catalog # NBP2-87944

Novus Biologicals, part of Bio-Techne
Catalog #
Availability
Size / Price
Qty
Loading...
NBP2-87944

Key Product Details

Species Reactivity

Human

Applications

Immunohistochemistry, Immunohistochemistry-Paraffin, Western Blot

Label

Unconjugated

Antibody Source

Polyclonal Rabbit

Format

BSA Free

Concentration

1 mg/ml

Product Specifications

Immunogen

The immunogen is a synthetic peptide directed towards the middle region of human ONECUT2/OC-2. Peptide sequence: NGLHHPGHTQSHGPVLAPSRERPPSSSSGSQVATSGQLEEINTKEVAQRI The peptide sequence for this immunogen was taken from within the described region.

Clonality

Polyclonal

Host

Rabbit

Description

Novus Biologicals Rabbit ONECUT2/OC-2 Antibody - BSA Free (NBP2-87944) is a polyclonal antibody validated for use in IHC and WB. All Novus Biologicals antibodies are covered by our 100% guarantee.

Scientific Data Images for ONECUT2/OC-2 Antibody - BSA Free

Western Blot: ONECUT2/OC-2 Antibody [NBP2-87944]

Western Blot: ONECUT2/OC-2 Antibody [NBP2-87944]

Western Blot: ONECUT2/OC-2 Antibody [NBP2-87944] - Host: Rabbit. Target Name: ONECUT2. Sample Tissue: Human OVCAR-3. Antibody Dilution: 1.0ug/ml
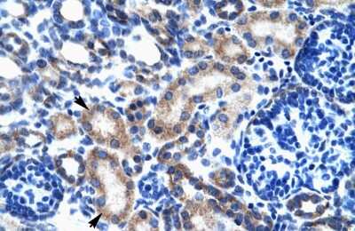
Immunohistochemistry: ONECUT2/OC-2 Antibody [NBP2-87944]

Immunohistochemistry: ONECUT2/OC-2 Antibody [NBP2-87944]

Immunohistochemistry: ONECUT2/OC-2 Antibody [NBP2-87944] - Human kidney

Applications for ONECUT2/OC-2 Antibody - BSA Free

Application
Recommended Usage

Western Blot

1.0 ug/ml

Formulation, Preparation, and Storage

Purification

Protein A purified

Formulation

PBS, 2% Sucrose

Format

BSA Free

Preservative

0.09% Sodium Azide

Concentration

1 mg/ml

Shipping

The product is shipped with polar packs. Upon receipt, store it immediately at the temperature recommended below.

Stability & Storage

Store at 4C short term. Aliquot and store at -20C long term. Avoid freeze-thaw cycles.

Background: ONECUT2/OC-2

The ONECUT2 gene encodes a member of the onecut family of transcription factors, which are characterized by a cut domain and an atypical homeodomain. The protein binds to specific DNA sequences and stimulates expression of target genes, including genes involved

Long Name

One Cut Homeobox 2

Alternate Names

HNF-6B, OC-2, OC2

Gene Symbol

ONECUT2

Additional ONECUT2/OC-2 Products

Product Documents for ONECUT2/OC-2 Antibody - BSA Free

Certificate of Analysis

To download a Certificate of Analysis, please enter a lot number in the search box below.

Product Specific Notices for ONECUT2/OC-2 Antibody - BSA Free

This product is for research use only and is not approved for use in humans or in clinical diagnosis. Primary Antibodies are guaranteed for 1 year from date of receipt.

Loading...
Loading...
Loading...
Loading...