Skip to main content

Oncostatin M/OSM Antibody (JE40-04)

Novus Biologicals, part of Bio-Techne | Catalog # NBP3-32679

Recombinant Monoclonal Antibody
Novus Biologicals, part of Bio-Techne
Catalog #
Availability
Size / Price
Qty
Loading...
NBP3-32679

Key Product Details

Species Reactivity

Human, Mouse

Applications

Immunohistochemistry, Immunohistochemistry-Paraffin, Western Blot

Label

Unconjugated

Antibody Source

Recombinant Monoclonal Rabbit IgG Clone # JE40-04 expressed in HEK293

Concentration

1 mg/ml

Product Specifications

Immunogen

Recombinant protein within Human Oncostatin M/OSM aa 26-150. (Uniprot: P13725)

Localization

Secreted.

Clonality

Monoclonal

Host

Rabbit

Isotype

IgG

Theoretical MW

28 kDa.
Disclaimer note: The observed molecular weight of the protein may vary from the listed predicted molecular weight due to post translational modifications, post translation cleavages, relative charges, and other experimental factors.

Description

Novus Biologicals Rabbit Oncostatin M/OSM Antibody (JE40-04) (NBP3-32679) is a recombinant monoclonal antibody validated for use in IHC and WB. All Novus Biologicals antibodies are covered by our 100% guarantee.

Scientific Data Images for Oncostatin M/OSM Antibody (JE40-04)

Oncostatin M/OSM Antibody (JE40-04)

Western Blot: Oncostatin M/OSM Antibody (JE40-04) [NBP3-32679]

Western Blot: Oncostatin M/OSM Antibody (JE40-04) [NBP3-32679] - Western blot analysis of Oncostatin M/OSM on different lysates with Rabbit anti-Oncostatin M/OSM antibody (NBP3-32679) at 1/500 dilution.

Lane 1: A549 cell lysate
Lane 2: MCF-7 cell lysate
Lane 3: Hela cell lysate
Lane 4: Mouse kidney tissue lysate (20 ug/Lane)

Lysates/proteins at 10 ug/Lane.

Predicted band size: 28 kDa
Observed band size: 22 kDa

Exposure time: 2 minutes;

12% SDS-PAGE gel.

Proteins were transferred to a PVDF membrane and blocked with 5% NFDM/TBST for 1 hour at room temperature. The primary antibody (NBP3-32679) at 1/500 dilution was used in 5% NFDM/TBST at room temperature for 2 hours. Goat Anti-Rabbit IgG - HRP Secondary Antibody at 1:300,000 dilution was used for 1 hour at room temperature.
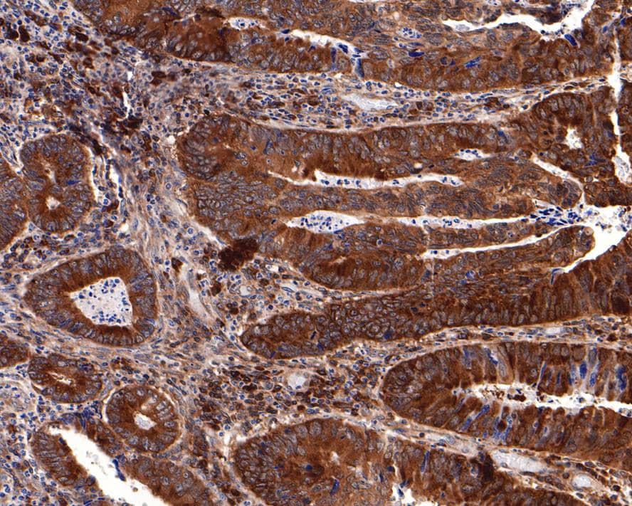
Oncostatin M/OSM Antibody (JE40-04)

Immunohistochemistry: Oncostatin M/OSM Antibody (JE40-04) [NBP3-32679]

Immunohistochemistry: Oncostatin M/OSM Antibody (JE40-04) [NBP3-32679] - Immunohistochemical analysis of paraffin-embedded human colon carcinoma tissue with Rabbit anti-Oncostatin M/OSM antibody (NBP3-32679) at 1/100 dilution.

The section was pre-treated using heat mediated antigen retrieval with Tris-EDTA buffer (pH 9.0) for 20 minutes. The tissues were blocked in 1% BSA for 20 minutes at room temperature, washed with ddH2O and PBS, and then probed with the primary antibody (NBP3-32679) at 1/100 dilution for 1 hour at room temperature. The detection was performed using an HRP conjugated compact polymer system. DAB was used as the chromogen. Tissues were counterstained with hematoxylin and mounted with DPX.

Applications for Oncostatin M/OSM Antibody (JE40-04)

Application
Recommended Usage

Immunohistochemistry-Paraffin

1:100

Western Blot

1:500

Formulation, Preparation, and Storage

Purification

Protein A purified

Formulation

1*TBS (pH7.4), 0.05% BSA and 40% Glycerol

Preservative

0.05% Sodium Azide

Concentration

1 mg/ml

Shipping

The product is shipped with polar packs. Upon receipt, store it immediately at the temperature recommended below.

Stability & Storage

Store at 4C short term. Aliquot and store at -20C long term. Avoid freeze-thaw cycles.

Background: Oncostatin M/OSM

Oncostatin M is a 252 amino acid protein that is 28 kDa, acts as growth regulator inhibiting the proliferation of a number of tumor cell lines and stimulating the proliferation of AIDS-KS cells; regulates cytokine production, including IL-6, G-CSF and GM-CSF from endothelial cells; uses both type I OSM receptor (heterodimers composed of LIPR and IL6ST) and type II OSM receptor (heterodimers composed of OSMR and IL6ST), and is involved in the maturation of fetal hepatocytes, thereby promoting liver development and regeneration. This protein is being studied for its involvement in several diseases and disorders including arterial occlusive disease, peripheral arterial occlusive disease, leukemia, kaposi's sarcoma, abdominal aortic aneurysm, status epilepticus, primary cutaneous amyloidosis, aortic aneurysm, bullous pemphigoid, neonatal jaundice, cutaneous malignant melanoma, plasmacytoma, systemic mastocytosis, mastocytosis, cervical squamous cell carcinoma, systemic lupus erythematosus, allergic rhinitis, squamous cell carcinoma, and lupus erythematosus. The protein has been linked to immune response IL-3 activation and signaling pathway, immune response oncostatin M signaling via JAK-Stat in human cells, development thrombopoetin signaling via JAK-STAT pathway, immune response Oncostatin M signaling via MAPK in human cells, MAPK signaling, endothelin-1 signaling pathway, molecular mechanisms of cancer, antioxidant action of vitamin-C, and Rho Family GTPases pathways where it interacts with IL6ST, TNNT1, LIFR, COL4A4, and COL4A6.

Alternate Names

MGC20461, oncostatin M, oncostatin-M

Gene Symbol

OSM

Additional Oncostatin M/OSM Products

Product Documents for Oncostatin M/OSM Antibody (JE40-04)

Certificate of Analysis

To download a Certificate of Analysis, please enter a lot number in the search box below.

Product Specific Notices for Oncostatin M/OSM Antibody (JE40-04)

This product is for research use only and is not approved for use in humans or in clinical diagnosis. Primary Antibodies are guaranteed for 1 year from date of receipt.

Loading...
Loading...
Loading...
Loading...