Skip to main content

OFD1 Antibody - BSA Free

Novus Biologicals, part of Bio-Techne | Catalog # NBP2-99227

Novus Biologicals, part of Bio-Techne

Key Product Details

Species Reactivity

Human

Applications

Immunohistochemistry, Immunohistochemistry-Paraffin

Label

Unconjugated

Antibody Source

Polyclonal Rabbit IgG

Format

BSA Free

Concentration

Please see the vial label for concentration. If unlisted please contact technical services.

Product Specifications

Immunogen

Produced in rabbits immunized with a synthetic peptide corresponding to the center region of the Human OFD1.

Clonality

Polyclonal

Host

Rabbit

Isotype

IgG

Description

This antibody can be stored at 2C to 8C for one month without detectable loss of activity. Antibody products are stable for twelve months from date of receipt when stored at -20C to -80C. Avoid repeated freeze-thaw cycles.

Scientific Data Images for OFD1 Antibody - BSA Free

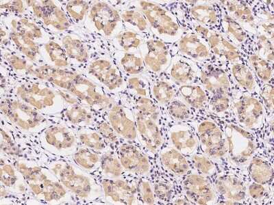
Immunohistochemistry-Paraffin: OFD1 Antibody [NBP2-99227]

Immunohistochemistry-Paraffin: OFD1 Antibody [NBP2-99227]

Immunohistochemistry-Paraffin: OFD1 Antibody [NBP2-99227] - Immunochemical staining of human OFD1 in human stomach with rabbit polyclonal antibody at 1:300 dilution, formalin-fixed paraffin embedded sections.
Immunohistochemistry-Paraffin: OFD1 Antibody [NBP2-99227]

Immunohistochemistry-Paraffin: OFD1 Antibody [NBP2-99227]

Immunohistochemistry-Paraffin: OFD1 Antibody [NBP2-99227] - Immunochemical staining of human OFD1 in human liver with rabbit polyclonal antibody at 1:300 dilution, formalin-fixed paraffin embedded sections.

Applications for OFD1 Antibody - BSA Free

Application
Recommended Usage

Immunohistochemistry-Paraffin

1:200-1:1000

Formulation, Preparation, and Storage

Purification

Antigen and protein A Affinity-purified

Formulation

PBS

Format

BSA Free

Preservative

0.03% Proclin 300

Concentration

Please see the vial label for concentration. If unlisted please contact technical services.

Shipping

The product is shipped with polar packs. Upon receipt, store it immediately at the temperature recommended below.

Stability & Storage

Store at 4C short term. Aliquot and store at -20C long term. Avoid freeze-thaw cycles.

Background: OFD1

The OFD1 gene is located on the X chromosome and encodes a centrosomal protein. A knockout mouse model has been used to study the effect of mutations in this gene. The mouse gene is also located on the X chromosome, however, unlike the human gene it is not su

Alternate Names

JBTS10, MGC117039, oral-facial-digital syndrome 1, SGBS2

Gene Symbol

OFD1

Additional OFD1 Products

Product Documents for OFD1 Antibody - BSA Free

Certificate of Analysis

To download a Certificate of Analysis, please enter a lot number in the search box below.

Product Specific Notices for OFD1 Antibody - BSA Free

This product is for research use only and is not approved for use in humans or in clinical diagnosis. Primary Antibodies are guaranteed for 1 year from date of receipt.

Loading...
Loading...
Loading...
Loading...