Skip to main content

ODR4/TTG1 Antibody - Azide and BSA Free

Novus Biologicals, part of Bio-Techne | Catalog # NBP3-49165

Novus Biologicals, part of Bio-Techne

Key Product Details

Species Reactivity

Human

Applications

Immunohistochemistry, Immunohistochemistry-Paraffin, Immunocytochemistry/ Immunofluorescence

Label

Unconjugated

Antibody Source

Polyclonal Rabbit IgG

Format

Azide and BSA Free

Concentration

Please see the vial label for concentration. If unlisted please contact technical services.

Product Specifications

Immunogen

Produced in rabbits immunized with E. coli-derived Human ODR4/TTG1 fragment

Clonality

Polyclonal

Host

Rabbit

Isotype

IgG

Scientific Data Images for ODR4/TTG1 Antibody - Azide and BSA Free

ODR4/TTG1 Antibody - Azide and BSA Free ODR4/TTG1 Antibody - Azide and BSA Free

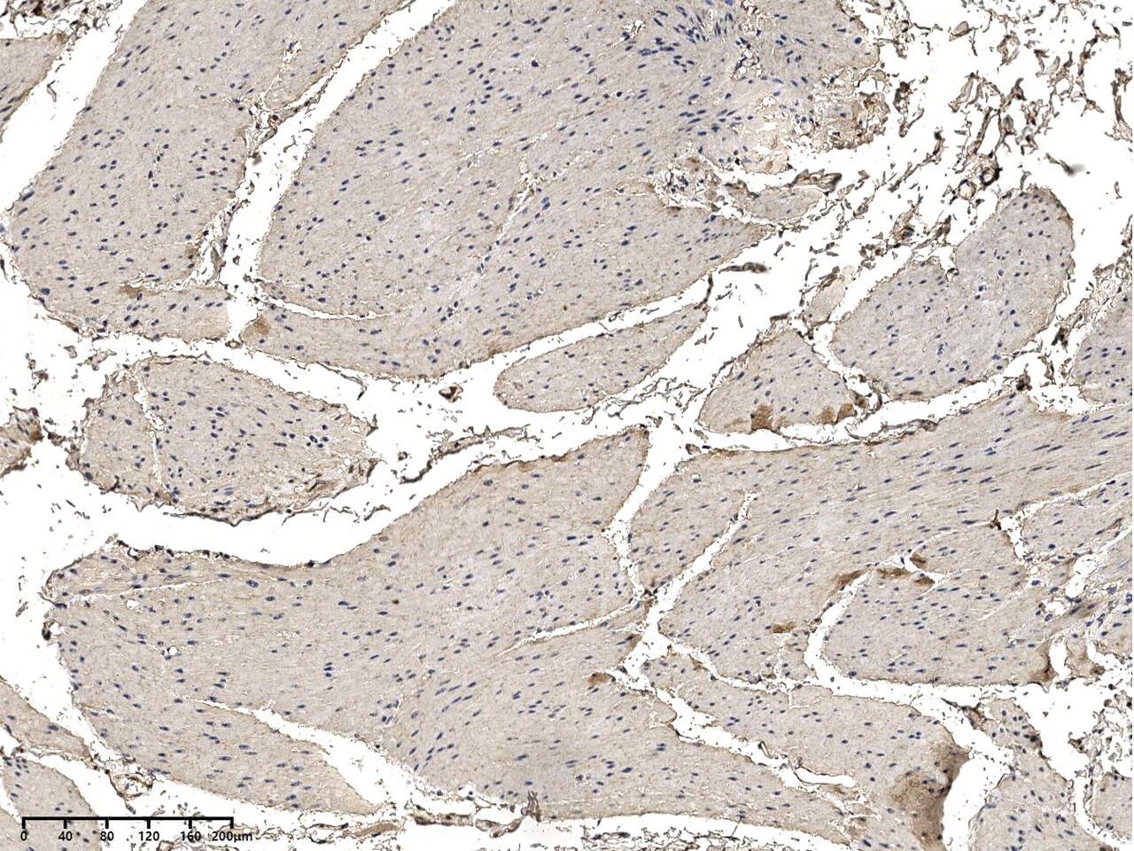
Immunohistochemistry-Paraffin: ODR4/TTG1 Antibody - Azide and BSA Free [NBP3-49165] -

Immunohistochemistry-Paraffin: ODR4/TTG1 Antibody - Azide and BSA Free [NBP3-49165] - Immunochemical staining of human ODR4/TTG1 in human urinary bladder with NBP3-49165 at 1:100 dilution, formalin-fixed paraffin embedded sections.
ODR4/TTG1 Antibody - Azide and BSA Free ODR4/TTG1 Antibody - Azide and BSA Free

Immunocytochemistry/ Immunofluorescence: ODR4/TTG1 Antibody - Azide and BSA Free [NBP3-49165] -

Immunocytochemistry/ Immunofluorescence: ODR4/TTG1 Antibody - Azide and BSA Free [NBP3-49165] - Immunofluorescence staining of ODR4/TTG1 in U2OS cells. Cells were fixed with 4% PFA, permeabilzed with 0.3% Triton X-100 in PBS, blocked with 10% serum, and incubated with NBP3-49165 (dilution ratio 1:100) at 4℃ overnight. Then cells were stained with Alexa Fluor®488-conjugated Goat Anti-rabbit IgG secondary antibody (green) and counterstained with DAPI (blue).Positive staining was localized to Cytoplasm.
ODR4/TTG1 Antibody - Azide and BSA Free ODR4/TTG1 Antibody - Azide and BSA Free

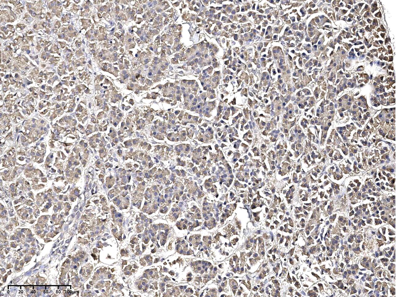
Immunohistochemistry-Paraffin: ODR4/TTG1 Antibody - Azide and BSA Free [NBP3-49165] -

Immunohistochemistry-Paraffin: ODR4/TTG1 Antibody - Azide and BSA Free [NBP3-49165] - Immunochemical staining of human ODR4/TTG1 in human pancreas with NBP3-49165 at 1:100 dilution, formalin-fixed paraffin embedded sections

Applications for ODR4/TTG1 Antibody - Azide and BSA Free

Application
Recommended Usage

Immunocytochemistry/ Immunofluorescence

1:50-1:200

Immunohistochemistry-Paraffin

1:50-1:200

Formulation, Preparation, and Storage

Purification

Antigen and protein A Affinity-purified

Formulation

PBS (pH 7.0)

Format

Azide and BSA Free

Preservative

0.03% Proclin 300

Concentration

Please see the vial label for concentration. If unlisted please contact technical services.

Shipping

The product is shipped with polar packs. Upon receipt, store it immediately at the temperature recommended below.

Stability & Storage

Store at 4C short term. Aliquot and store at -20C long term. Avoid freeze-thaw cycles.

Background: ODR4/TTG1

C1orf27 may play a role in the trafficking of a subset of G-protein coupled receptors.

Alternate Names

chromosome 1 open reading frame 27, FLJ20505, hODR-4, LAG1-interacting protein, odorant response abnormal 4, ODR4, odr-4, protein odr-4 homolog, Transactivated by transforming growth factor beta protein 1, TTG1, TTG1A

Gene Symbol

ODR4

Additional ODR4/TTG1 Products

Product Documents for ODR4/TTG1 Antibody - Azide and BSA Free

Certificate of Analysis

To download a Certificate of Analysis, please enter a lot number in the search box below.

Product Specific Notices for ODR4/TTG1 Antibody - Azide and BSA Free

This product is for research use only and is not approved for use in humans or in clinical diagnosis. Primary Antibodies are guaranteed for 1 year from date of receipt.

Loading...
Loading...
Loading...
Loading...