Skip to main content

ODF3 Antibody - BSA Free

Novus Biologicals, part of Bio-Techne | Catalog # NBP3-47264

Novus Biologicals, part of Bio-Techne
Catalog #
Availability
Size / Price
Qty
Loading...
NBP3-47264

Key Product Details

Species Reactivity

Human, Rat

Applications

Immunohistochemistry, Western Blot, ELISA

Label

Unconjugated

Antibody Source

Polyclonal Rabbit IgG

Format

BSA Free

Concentration

Please see the vial label for concentration. If unlisted please contact technical services.

Product Specifications

Immunogen

outer dense fiber of sperm tails 3. (Uniprot# Q96PU9)

Clonality

Polyclonal

Host

Rabbit

Isotype

IgG

Theoretical MW

30 kDa.
Disclaimer note: The observed molecular weight of the protein may vary from the listed predicted molecular weight due to post translational modifications, post translation cleavages, relative charges, and other experimental factors.

Description

Novus Biologicals Rabbit ODF3 Antibody - BSA Free (NBP3-47264) is a polyclonal antibody validated for use in IHC, WB and ELISA. All Novus Biologicals antibodies are covered by our 100% guarantee.

Scientific Data Images for ODF3 Antibody - BSA Free

ODF3 Antibody - BSA Free

Western Blot: ODF3 Antibody - BSA Free [NBP3-47264] -

Western Blot: ODF3 Antibody - BSA Free [NBP3-47264] - Rat testis tissue were subjected to SDS PAGE followed by western blot with (ODF3 Antibody) at dilution of 1:600
ODF3 Antibody - BSA Free

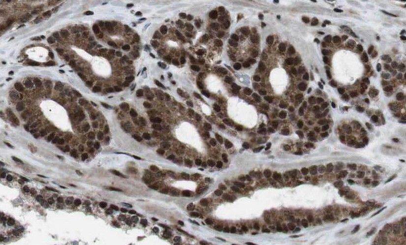
Immunohistochemistry: ODF3 Antibody - BSA Free [NBP3-47264] -

Immunohistochemistry: ODF3 Antibody - BSA Free [NBP3-47264] - Immunohistochemistry of paraffin-embedded human testis tissue slide using (ODF3 Antibody) at dilution of 1:50

Applications for ODF3 Antibody - BSA Free

Application
Recommended Usage

Immunohistochemistry

1:20-1:200

Western Blot

1:500-1:1000

Formulation, Preparation, and Storage

Purification

Immunogen affinity purified

Formulation

PBS, 50% Glycerol, pH (7.3)

Format

BSA Free

Preservative

0.02% Sodium Azide

Concentration

Please see the vial label for concentration. If unlisted please contact technical services.

Shipping

The product is shipped with polar packs. Upon receipt, store it immediately at the temperature recommended below.

Stability & Storage

Store at -20C. Avoid freeze-thaw cycles.

Background: ODF3

Alternate Names

CT135, hSHIPPO, outer dense fiber of sperm tails 3, outer dense fiber of sperm tails protein 3, outer dense fiber protein 3

Gene Symbol

ODF3

Additional ODF3 Products

Product Documents for ODF3 Antibody - BSA Free

Certificate of Analysis

To download a Certificate of Analysis, please enter a lot number in the search box below.

Product Specific Notices for ODF3 Antibody - BSA Free

This product is for research use only and is not approved for use in humans or in clinical diagnosis. Primary Antibodies are guaranteed for 1 year from date of receipt.

Loading...
Loading...
Loading...
Loading...