Skip to main content

ODF2L Antibody - BSA Free

Novus Biologicals, part of Bio-Techne | Catalog # NBP1-82920

Novus Biologicals, part of Bio-Techne
Catalog #
Availability
Size / Price
Qty
Loading...
NBP1-82920
NBP1-82920-25ul

Key Product Details

Species Reactivity

Human

Applications

Immunohistochemistry, Immunohistochemistry-Paraffin, Immunocytochemistry/ Immunofluorescence

Label

Unconjugated

Antibody Source

Polyclonal Rabbit IgG

Format

BSA Free

Concentration

Concentrations vary lot to lot. See vial label for concentration. If unlisted please contact technical services.

Product Specifications

Immunogen

This antibody was developed against Recombinant Protein corresponding to amino acids: KELERVCDSLTAAERRLHECQESLQCCKGKCADQEHTIRELQGQVDGNHNLLTKLSLEEENCLIQLKCENLQQKLEQMDAENKELEKKLAN

Clonality

Polyclonal

Host

Rabbit

Isotype

IgG

Scientific Data Images for ODF2L Antibody - BSA Free

Immunocytochemistry/ Immunofluorescence: ODF2L Antibody [NBP1-82920]

Immunocytochemistry/ Immunofluorescence: ODF2L Antibody [NBP1-82920]

Immunocytochemistry/Immunofluorescence: ODF2L Antibody [NBP1-82920] - Staining of human cell line U-2 OS shows localization to mitochondria. Antibody staining is shown in green.
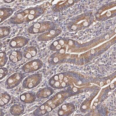
Immunohistochemistry-Paraffin: ODF2L Antibody [NBP1-82920]

Immunohistochemistry-Paraffin: ODF2L Antibody [NBP1-82920]

Immunohistochemistry-Paraffin: ODF2L Antibody [NBP1-82920] - Staining of human duodenum shows moderate cytoplasmic positivity in glandular cells.

Applications for ODF2L Antibody - BSA Free

Application
Recommended Usage

Immunocytochemistry/ Immunofluorescence

0.25-2 ug/ml

Immunohistochemistry

1:20 - 1:50

Immunohistochemistry-Paraffin

1:20 - 1:50
Application Notes
For IHC-Paraffin, HIER pH 6 retrieval is recommended. Immunocytochemistry/Immunofluorescence Fixation Permeabilization: Use PFA/Triton X-100.

Formulation, Preparation, and Storage

Purification

Affinity purified

Formulation

PBS (pH 7.2) and 40% Glycerol

Format

BSA Free

Preservative

0.02% Sodium Azide

Concentration

Concentrations vary lot to lot. See vial label for concentration. If unlisted please contact technical services.

Shipping

The product is shipped with polar packs. Upon receipt, store it immediately at the temperature recommended below.

Stability & Storage

Store at 4C short term. Aliquot and store at -20C long term. Avoid freeze-thaw cycles.

Background: ODF2L

Alternate Names

dJ977L11.1, KIAA1229RP5-977L11.1, MGC111060, outer dense fiber of sperm tails 2-like, outer dense fiber protein 2-like

Gene Symbol

ODF2L

Additional ODF2L Products

Product Documents for ODF2L Antibody - BSA Free

Certificate of Analysis

To download a Certificate of Analysis, please enter a lot number in the search box below.

Product Specific Notices for ODF2L Antibody - BSA Free

This product is for research use only and is not approved for use in humans or in clinical diagnosis. Primary Antibodies are guaranteed for 1 year from date of receipt.

Loading...
Loading...
Loading...
Loading...