Skip to main content

OCT4 Antibody (OTI9B7) - Azide and BSA Free

Novus Biologicals, part of Bio-Techne | Catalog # NBP2-71225

Novus Biologicals, part of Bio-Techne

Key Product Details

Species Reactivity

Human

Applications

Immunohistochemistry, Immunohistochemistry-Paraffin, Western Blot, Immunocytochemistry/ Immunofluorescence

Label

Unconjugated

Antibody Source

Monoclonal Mouse IgG1 Clone # OTI9B7

Format

Azide and BSA Free

Concentration

LYOPH mg/ml

Product Specifications

Immunogen

Full length human recombinant protein of human POU5F1 (NP_002692) produced in E.coli.

Clonality

Monoclonal

Host

Mouse

Isotype

IgG1

Theoretical MW

38.4 kDa.
Disclaimer note: The observed molecular weight of the protein may vary from the listed predicted molecular weight due to post translational modifications, post translation cleavages, relative charges, and other experimental factors.

Description

Novus Biologicals Mouse OCT4 Antibody (OTI9B7) - Azide and BSA Free (NBP1-47923) is a monoclonal antibody validated for use in IHC, WB and ICC/IF. All Novus Biologicals antibodies are covered by our 100% guarantee.

Scientific Data Images for OCT4 Antibody (OTI9B7) - Azide and BSA Free

Western Blot: OCT4 Antibody (OTI9B7)Azide and BSA Free [NBP2-71225]

Western Blot: OCT4 Antibody (OTI9B7)Azide and BSA Free [NBP2-71225]

Western Blot: OCT4 Antibody (OTI9B7) - Azide and BSA Free [NBP2-71225] - HEK293T cells were transfected with the pCMV6-ENTRY control (Left lane) or pCMV6-ENTRY OCT4 (Right lane) cDNA for 48 hrs and lysed. Equivalent amounts of cell lysates (5 ug per lane) were separated by SDS-PAGE and immunoblotted with anti-OCT4.
Immunocytochemistry/ Immunofluorescence: OCT4 Antibody (OTI9B7) - Azide and BSA Free [NBP2-71225]

Immunocytochemistry/ Immunofluorescence: OCT4 Antibody (OTI9B7) - Azide and BSA Free [NBP2-71225]

Immunocytochemistry/Immunofluorescence: OCT4 Antibody (OTI9B7) - Azide and BSA Free [NBP2-71225] - Staining of COS7 cells transiently transfected by pCMV6-ENTRY 41186.
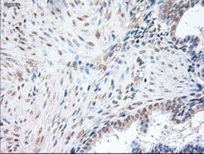
Immunohistochemistry: OCT4 Antibody (OTI9B7) - Azide and BSA Free [NBP2-71225]

Immunohistochemistry: OCT4 Antibody (OTI9B7) - Azide and BSA Free [NBP2-71225]

Immunohistochemistry: OCT4 Antibody (OTI9B7) - Azide and BSA Free [NBP2-71225] - Staining of paraffin-embedded Human lung tissue using anti-41186 mouse monoclonal antibody.

Applications for OCT4 Antibody (OTI9B7) - Azide and BSA Free

Application
Recommended Usage

Immunocytochemistry/ Immunofluorescence

1:100

Immunohistochemistry

1:50

Western Blot

1:5000

Formulation, Preparation, and Storage

Purification

Immunogen affinity purified

Reconstitution

we recommend adding 100uL distilled water to a final antibody concentration of about 1 mg/mL. To use this carrier-free antibody for conjugation experiment, we strongly recommend performing another round of desalting process.

Formulation

Lyophilized from PBS (pH 7.3) with 8% Trehalose

Format

Azide and BSA Free

Preservative

No Preservative

Concentration

LYOPH mg/ml

Shipping

The product is shipped with polar packs. Upon receipt, store it immediately at the temperature recommended below.

Stability & Storage

Store at -20C. Avoid freeze-thaw cycles.

Background: OCT4

The transcription factor OCT4, expressed in ESCs and germ cells, is strongly implicated in the process of maintaining as well as regaining stem-cell pluripotency and functions as a key regulator of mammalian germline development.

Alternate Names

class 5, transcription factor 1, MGC22487, Oct-3, OCT3Oct4, Oct-4, Octamer-binding protein 3, otc-4, OTF3POU domain class 5, transcription factor 1, OTF4, POU class 5 homeobox 1, POU-type homeodomain-containing DNA-binding protein

Gene Symbol

POU5F1

Additional OCT4 Products

Product Documents for OCT4 Antibody (OTI9B7) - Azide and BSA Free

Certificate of Analysis

To download a Certificate of Analysis, please enter a lot number in the search box below.

Product Specific Notices for OCT4 Antibody (OTI9B7) - Azide and BSA Free

This product is for research use only and is not approved for use in humans or in clinical diagnosis. Primary Antibodies are guaranteed for 1 year from date of receipt.

Loading...
Loading...
Loading...
Loading...
Loading...