Skip to main content

OCT4 Antibody (OCT4/7347R)

Novus Biologicals, part of Bio-Techne | Catalog # NBP3-48955

Recombinant Monoclonal Antibody
Novus Biologicals, part of Bio-Techne
Catalog #
Availability
Size / Price
Qty
Loading...
NBP3-48955-100ug
NBP3-48955-20ug

Key Product Details

Species Reactivity

Human

Applications

Immunohistochemistry

Label

Unconjugated

Antibody Source

Recombinant Monoclonal Rabbit IgG Kappa Clone # OCT4/7347R expressed in HEK293

Concentration

Please see the vial label for concentration. If unlisted please contact technical services.

Product Specifications

Immunogen

Recombinant fragment of human OCT-4/POU5F1 protein (exact sequence is proprietary) (Uniprot: Q01860)

Localization

Nucleus

Clonality

Monoclonal

Host

Rabbit

Isotype

IgG Kappa

Theoretical MW

38.6 kDa.
Disclaimer note: The observed molecular weight of the protein may vary from the listed predicted molecular weight due to post translational modifications, post translation cleavages, relative charges, and other experimental factors.

Description

Prepared in 10mM PBS with 0.05% BSA & 0.05% azide. Also available WITHOUT BSA & azide at 1.0mg/ml.

Antibody with azide - store at 2 to 8 C. Antibody without azide - store at -20 to -80 C. Antibody is stable for 24 months. Non-hazardous. No MSDS required.

Scientific Data Images for OCT4 Antibody (OCT4/7347R)

OCT4 Antibody (OCT4/7347R)

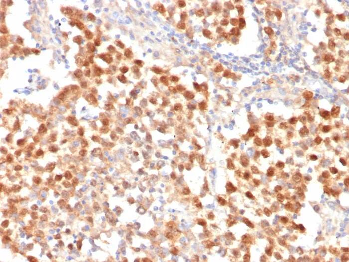
Immunohistochemistry-Paraffin: OCT4 Antibody (OCT4/7347R) [NBP3-48955] -

Formalin-fixed, paraffin-embedded human seminoma stained with OCT4 Antibody (OCT4/7347R) at 2ug/ml. HIER: Tris/EDTA, pH9.0, 45min. 2�C: HRP-polymer, 30min. DAB, 5min.

Applications for OCT4 Antibody (OCT4/7347R)

Application
Recommended Usage

Immunohistochemistry

Optimal dilutions of this antibody should be experimentally determined.

Formulation, Preparation, and Storage

Purification

Protein A or G purified

Formulation

10 mM PBS with 0.05% BSA

Preservative

0.05% Sodium Azide

Concentration

Please see the vial label for concentration. If unlisted please contact technical services.

Shipping

The product is shipped with polar packs. Upon receipt, store it immediately at the temperature recommended below.

Stability & Storage

Store at 4C.

Background: OCT4

The transcription factor OCT4, expressed in ESCs and germ cells, is strongly implicated in the process of maintaining as well as regaining stem-cell pluripotency and functions as a key regulator of mammalian germline development.

Alternate Names

class 5, transcription factor 1, MGC22487, Oct-3, OCT3Oct4, Oct-4, Octamer-binding protein 3, otc-4, OTF3POU domain class 5, transcription factor 1, OTF4, POU class 5 homeobox 1, POU-type homeodomain-containing DNA-binding protein

Gene Symbol

POU5F1

Additional OCT4 Products

Product Documents for OCT4 Antibody (OCT4/7347R)

Certificate of Analysis

To download a Certificate of Analysis, please enter a lot number in the search box below.

Product Specific Notices for OCT4 Antibody (OCT4/7347R)

This product is for research use only and is not approved for use in humans or in clinical diagnosis. Primary Antibodies are guaranteed for 1 year from date of receipt.

Loading...
Loading...
Loading...
Loading...