Skip to main content

OCT4 Antibody (OCT4/6847R)

Novus Biologicals, part of Bio-Techne | Catalog # NBP3-20302

Recombinant Monoclonal Antibody
Novus Biologicals, part of Bio-Techne
Catalog #
Availability
Size / Price
Qty
Loading...
NBP3-20302-20ug
NBP3-20302-100ug

Key Product Details

Species Reactivity

Human

Applications

Immunohistochemistry-Paraffin

Label

Unconjugated

Antibody Source

Recombinant Monoclonal Rabbit IgG Kappa Clone # OCT4/6847R

Concentration

0.2 mg/ml

Product Specifications

Immunogen

Recombinant fragment of human OCT4 protein (exact sequence is proprietary)

Localization

Nucleus

Clonality

Monoclonal

Host

Rabbit

Isotype

IgG Kappa

Description

Positive Controls: Raji or U-937 cells. Human seminoma or testicular carcinoma

Antibody with azide - store at 2 to 8 C. Antibody without azide - store at -20 to -80 C. Non-hazardous. No MSDS required.

Scientific Data Images for OCT4 Antibody (OCT4/6847R)

OCT4 Antibody (OCT4/6847R)

OCT4 Antibody (OCT4/6847R)

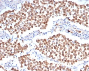
Formalin-fixed, paraffin-embedded human seminoma stained with OCT4 antibody (OCT4/6847R). HIER: Tris/EDTA, pH9.0, 45min. Secondary: HRP-polymer, 30min. DAB, 5min.
OCT4 Antibody (OCT4/6847R)

OCT4 Antibody (OCT4/6847R)

Formalin-fixed, paraffin-embedded human seminoma stained with OCT4 antibody (OCT4/6847R) at 2ug/ml. HIER: Tris/EDTA, pH9.0, 45min. Secondary: HRP-polymer, 30min. DAB, 5min.

Applications for OCT4 Antibody (OCT4/6847R)

Application
Recommended Usage

Immunohistochemistry-Paraffin

1-2 ug/ml
Application Notes
Immunohistochemistry (Formalin-fixed): 1-2ug/ml for 30 minutes. at RT. Staining of formalin-fixed tissues requires heating tissue sections in 10mM Tris with 1mM EDTA, pH 9.0, for 45 min at 95C followed by cooling at RT for 20 minutes.

Optimal dilution for a specific application should be determined.

Formulation, Preparation, and Storage

Purification

Protein A or G purified

Formulation

10mM PBS with 0.05% BSA

Preservative

0.05% Sodium Azide

Concentration

0.2 mg/ml

Shipping

The product is shipped with polar packs. Upon receipt, store it immediately at the temperature recommended below.

Stability & Storage

Store at 4C. Do not freeze.

Background: OCT4

The transcription factor OCT4, expressed in ESCs and germ cells, is strongly implicated in the process of maintaining as well as regaining stem-cell pluripotency and functions as a key regulator of mammalian germline development.

Alternate Names

class 5, transcription factor 1, MGC22487, Oct-3, OCT3Oct4, Oct-4, Octamer-binding protein 3, otc-4, OTF3POU domain class 5, transcription factor 1, OTF4, POU class 5 homeobox 1, POU-type homeodomain-containing DNA-binding protein

Gene Symbol

POU5F1

Additional OCT4 Products

Product Documents for OCT4 Antibody (OCT4/6847R)

Certificate of Analysis

To download a Certificate of Analysis, please enter a lot number in the search box below.

Product Specific Notices for OCT4 Antibody (OCT4/6847R)

This product is for research use only and is not approved for use in humans or in clinical diagnosis. Primary Antibodies are guaranteed for 1 year from date of receipt.

Loading...
Loading...
Loading...
Loading...