Skip to main content

OCRL Antibody - BSA Free

Novus Biologicals, part of Bio-Techne | Catalog # NBP1-80973

Novus Biologicals, part of Bio-Techne
Catalog #
Availability
Size / Price
Qty
Loading...
NBP1-80973
NBP1-80973-25ul

Key Product Details

Validated by

Knockout/Knockdown

Species Reactivity

Validated:

Human

Predicted:

Mouse (97%), Rat (99%). Backed by our 100% Guarantee.

Applications

Immunohistochemistry, Immunohistochemistry-Paraffin, Western Blot, Knockdown Validated

Label

Unconjugated

Antibody Source

Polyclonal Rabbit IgG

Format

BSA Free

Concentration

Concentrations vary lot to lot. See vial label for concentration. If unlisted please contact technical services.

Product Specifications

Immunogen

This antibody was developed against Recombinant Protein corresponding to amino acids: DYFLTISGNYLPSCFGTSLEALCRMKRPIREVPVTKLIDLEEDSFLEKEKSLLQMVPLDEGASERPLQVPKEIWLLVDHLFKYACHQEDLFQTPGMQEELQQIIDCLDTSIPETIPGSNHSVAEALLIFLEALPEPVICYELY

Clonality

Polyclonal

Host

Rabbit

Isotype

IgG

Description

Novus Biologicals Rabbit OCRL Antibody - BSA Free (NBP1-80973) is a polyclonal antibody validated for use in IHC and WB. Anti-OCRL Antibody: Cited in 1 publication. All Novus Biologicals antibodies are covered by our 100% guarantee.

Scientific Data Images for OCRL Antibody - BSA Free

Western Blot: OCRL Antibody [NBP1-80973]

Western Blot: OCRL Antibody [NBP1-80973]

Western Blot: OCRL Antibody [NBP1-80973] - Analysis in EFO-21 cells transfected with control siRNA, target specific siRNA probe #1 and #2, using Anti-OCRL antibody. Remaining relative intensity is presented. Loading control: Anti-GAPDH.
Immunohistochemistry-Paraffin: OCRL Antibody [NBP1-80973]

Immunohistochemistry-Paraffin: OCRL Antibody [NBP1-80973]

Immunohistochemistry-Paraffin: OCRL Antibody [NBP1-80973] - Staining of human testis shows strong cytoplasmic positivity in cells in seminiferous ducts.
Immunohistochemistry-Paraffin: OCRL Antibody [NBP1-80973]

Immunohistochemistry-Paraffin: OCRL Antibody [NBP1-80973]

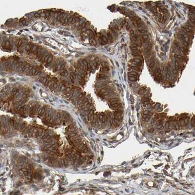
Immunohistochemistry-Paraffin: OCRL Antibody [NBP1-80973] - Staining of human Fallopian tube shows moderate to strong cytoplasmic and membranous positivity in glandular cells.

Applications for OCRL Antibody - BSA Free

Application
Recommended Usage

Immunohistochemistry

1:20 - 1:50

Immunohistochemistry-Paraffin

1:20 - 1:50

Western Blot

0.04 - 0.4 ug/ml
Application Notes
For IHC-Paraffin, HIER pH 6 retrieval is recommended.

Formulation, Preparation, and Storage

Purification

Affinity purified

Formulation

PBS (pH 7.2) and 40% Glycerol

Format

BSA Free

Preservative

0.02% Sodium Azide

Concentration

Concentrations vary lot to lot. See vial label for concentration. If unlisted please contact technical services.

Shipping

The product is shipped with polar packs. Upon receipt, store it immediately at the temperature recommended below.

Stability & Storage

Store at 4C short term. Aliquot and store at -20C long term. Avoid freeze-thaw cycles.

Background: OCRL

OCRL encodes a phosphatase enzyme that is involved in actin polymerization and is found in the trans-Golgi network. Mutations in this gene cause oculocerebrorenal syndrome of Lowe and also Dent disease.

Alternate Names

EC 3.1.3.36, INPP5F, LOCR, Lowe oculocerebrorenal syndrome protein, NPHL2, OCRL1inositol polyphosphate 5-phosphatase OCRL-1, oculocerebrorenal syndrome of Lowe, phosphatidylinositol polyphosphate 5-phosphatase

Entrez Gene IDs

4952 (Human)

Gene Symbol

OCRL

UniProt

Additional OCRL Products

Product Documents for OCRL Antibody - BSA Free

Certificate of Analysis

To download a Certificate of Analysis, please enter a lot number in the search box below.

Product Specific Notices for OCRL Antibody - BSA Free

This product is for research use only and is not approved for use in humans or in clinical diagnosis. Primary Antibodies are guaranteed for 1 year from date of receipt.

Loading...
Loading...
Loading...
Loading...