Skip to main content

Occludin Antibody (OCLN/8526R) - Azide and BSA Free

Novus Biologicals, part of Bio-Techne | Catalog # NBP3-20882

Recombinant Monoclonal Antibody
Novus Biologicals, part of Bio-Techne

Key Product Details

Species Reactivity

Human

Applications

Immunohistochemistry-Paraffin

Label

Unconjugated

Antibody Source

Recombinant Monoclonal Rabbit IgG Kappa Clone # OCLN/8526R

Format

Azide and BSA Free

Concentration

1 mg/ml

Product Specifications

Immunogen

Recombinant human Occludin fragment around aa 282-415 (Exact sequence is proprietary)

Localization

Cell Surface. Cytoplasm.

Clonality

Monoclonal

Host

Rabbit

Isotype

IgG Kappa

Description

Positive Controls: HepG2 cells. Human kidney.

Antibody with azide - store at 2 to 8C. Antibody without azide - store at -20 to -80C. Non-hazardous. No MSDS required.

Scientific Data Images for Occludin Antibody (OCLN/8526R) - Azide and BSA Free

Occludin Antibody (OCLN/8526R) - Azide and BSA Free

Occludin Antibody (OCLN/8526R)

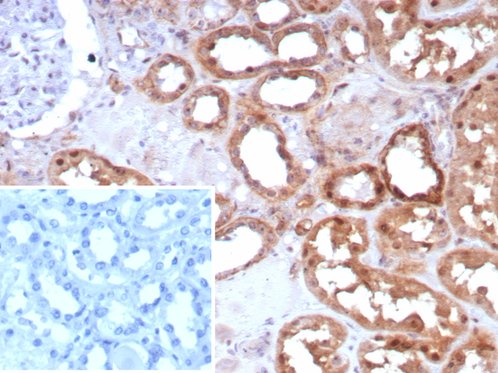
Formalin-fixed, paraffin-embedded human kidney stained with Occludin antibody (OCLN/8526R). Inset: PBS instead of primary antibody; secondary only negative control.

Applications for Occludin Antibody (OCLN/8526R) - Azide and BSA Free

Application
Recommended Usage

Immunohistochemistry-Paraffin

1-2 ug/ml
Application Notes
Immunohistochemistry (Formalin-fixed): 1-2ug/ml for 30 minutes. at RT. Staining of formalin-fixed tissues requires heating tissue sections in 10mM Tris with 1mM EDTA, pH 9.0, for 45 min at 95C followed by cooling at RT for 20 minutes.

Optimal dilution for a specific application should be determined.

Formulation, Preparation, and Storage

Purification

Protein A or G purified

Formulation

10mM PBS

Format

Azide and BSA Free

Preservative

No Preservative

Concentration

1 mg/ml

Shipping

The product is shipped with polar packs. Upon receipt, store it immediately at the temperature recommended below.

Stability & Storage

Store at -20 to -70C. Avoid freeze-thaw cycles.

Background: Occludin

The Occludin gene encodes an integral membrane protein which is located at tight junctions. This protein may be involved in the formation and maintenance of the tight junction.

Alternate Names

BLCPMG, OCLN

Gene Symbol

OCLN

Additional Occludin Products

Product Documents for Occludin Antibody (OCLN/8526R) - Azide and BSA Free

Certificate of Analysis

To download a Certificate of Analysis, please enter a lot number in the search box below.

Product Specific Notices for Occludin Antibody (OCLN/8526R) - Azide and BSA Free

This product is for research use only and is not approved for use in humans or in clinical diagnosis. Primary Antibodies are guaranteed for 1 year from date of receipt.

Loading...
Loading...
Loading...
Loading...