Skip to main content

Occludin Antibody (CL1567) - BSA Free

Novus Biologicals, part of Bio-Techne | Catalog # NBP2-52972

Novus Biologicals, part of Bio-Techne
Catalog #
Availability
Size / Price
Qty
Loading...
NBP2-52972
NBP2-52972-25ul

Key Product Details

Species Reactivity

Human

Applications

Immunocytochemistry/ Immunofluorescence, Immunohistochemistry, Immunohistochemistry-Paraffin, Western Blot

Label

Unconjugated

Antibody Source

Monoclonal Mouse IgG2A Clone # CL1567

Format

BSA Free

Concentration

Concentrations vary lot to lot. See vial label for concentration. If unlisted please contact technical services.

Product Specifications

Immunogen

This antibody was developed using a recombinant protein derived from Q16625, with the exact immunogen sequence remaining proprietary.

Reactivity Notes

Immunogen displays the following percentage of sequence identity for non-tested species: Mouse (85%), Rat (83%).

Clonality

Monoclonal

Host

Mouse

Isotype

IgG2A

Description

Novus Biologicals Mouse Occludin Antibody (CL1567) - BSA Free (NBP2-52972) is a monoclonal antibody validated for use in IHC, WB and ICC/IF. All Novus Biologicals antibodies are covered by our 100% guarantee.

Scientific Data Images for Occludin Antibody (CL1567) - BSA Free

Western Blot: Occludin Antibody (CL1567) [NBP2-52972]

Western Blot: Occludin Antibody (CL1567) [NBP2-52972]

Western Blot: Occludin Antibody (CL1567) [NBP2-52972] - Lane 1: Marker [kDa], Lane 2: Negative control (vector only transfected HEK293T lysate), Lane 3: OCLN Over-expression Lysate (Co-expressed with a C-terminal myc-DDK tag (~3.1 kDa) in mammalian HEK293T cells)
Immunocytochemistry/ Immunofluorescence: Occludin Antibody (CL1567) [NBP2-52972]

Immunocytochemistry/ Immunofluorescence: Occludin Antibody (CL1567) [NBP2-52972]

Immunocytochemistry/Immunofluorescence: Occludin Antibody (CL1567) [NBP2-52972] - Staining of CACO-2 cells using the Anti-OCLN monoclonal antibody, showing specific staining in cell junctions in green. Microtubule- and nuclear probes are visualized in red and blue, respectively (where available).
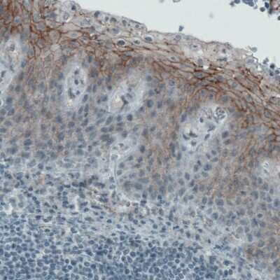
Immunohistochemistry-Paraffin: Occludin Antibody (CL1567) [NBP2-52972]

Immunohistochemistry-Paraffin: Occludin Antibody (CL1567) [NBP2-52972]

Immunohistochemistry-Paraffin: Occludin Antibody (CL1567) [NBP2-52972] - Staining of human tonsil shows membranous immunoreactivity in squamous epithelium cells.

Applications for Occludin Antibody (CL1567) - BSA Free

Application
Recommended Usage

Immunocytochemistry/ Immunofluorescence

2-10 ug/ml

Immunohistochemistry

1:200 - 1:500

Immunohistochemistry-Paraffin

1:200 - 1:500

Western Blot

1 ug/ml
Application Notes
For IHC-Paraffin, HIER pH 6 retrieval is recommended. For ICC/IF, PFA/Triton X-100 is recommended for fixation/permeabilization.

Formulation, Preparation, and Storage

Purification

Protein A purified

Formulation

PBS (pH 7.2) and 40% Glycerol

Format

BSA Free

Preservative

0.02% Sodium Azide

Concentration

Concentrations vary lot to lot. See vial label for concentration. If unlisted please contact technical services.

Shipping

The product is shipped with polar packs. Upon receipt, store it immediately at the temperature recommended below.

Stability & Storage

Store at 4C short term. Aliquot and store at -20C long term. Avoid freeze-thaw cycles.

Background: Occludin

The Occludin gene encodes an integral membrane protein which is located at tight junctions. This protein may be involved in the formation and maintenance of the tight junction.

Alternate Names

BLCPMG, OCLN

Gene Symbol

OCLN

Additional Occludin Products

Product Documents for Occludin Antibody (CL1567) - BSA Free

Certificate of Analysis

To download a Certificate of Analysis, please enter a lot number in the search box below.

Product Specific Notices for Occludin Antibody (CL1567) - BSA Free

This product is for research use only and is not approved for use in humans or in clinical diagnosis. Primary Antibodies are guaranteed for 1 year from date of receipt.

Loading...
Loading...
Loading...
Loading...