OCC1 Antibody - BSA Free
Novus Biologicals, part of Bio-Techne | Catalog # NBP2-81755
Conjugate
Catalog #
Key Product Details
Species Reactivity
Human
Applications
Immunohistochemistry, Immunohistochemistry-Paraffin, Western Blot, ELISA, Immunocytochemistry/ Immunofluorescence
Label
Unconjugated
Antibody Source
Polyclonal Rabbit IgG
Format
BSA Free
Concentration
1 mg/ml
Product Specifications
Immunogen
OCC1 antibody was raised against a 16 amino acid synthetic peptide near the amino terminus of human OCC1. The immunogen is located within amino acids 10 - 60 of OCC1. Amino Acid Squence: NVHRHFQGNSKQSPF
Clonality
Polyclonal
Host
Rabbit
Isotype
IgG
Description
Novus Biologicals Rabbit OCC1 Antibody - BSA Free (NBP2-81755) is a polyclonal antibody validated for use in IHC, WB, ELISA and ICC/IF. All Novus Biologicals antibodies are covered by our 100% guarantee.
Scientific Data Images for OCC1 Antibody - BSA Free
Western Blot: OCC1 AntibodyBSA Free [NBP2-81755]
Western Blot: OCC1 Antibody [NBP2-81755] - Analysis of OCC1 in human spleen tissue lysate with OCC1 antibody at 2 ug/ml.Immunocytochemistry/ Immunofluorescence: OCC1 Antibody - BSA Free [NBP2-81755]
Immunocytochemistry/Immunofluorescence: OCC1 Antibody [NBP2-81755] - Immunofluorescence of OCC1 in human spleen tissue with OCC1 antibody at 20 ug/mL.Immunohistochemistry: OCC1 Antibody - BSA Free [NBP2-81755] -
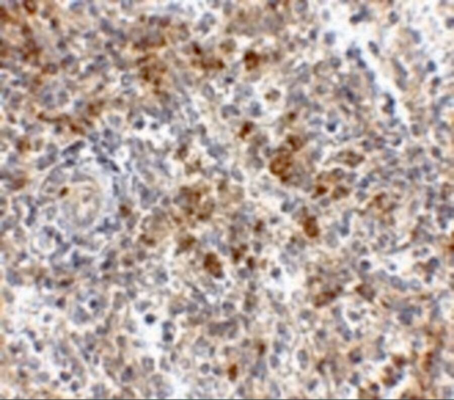
Immunohistochemistry: OCC1 Antibody - BSA Free [NBP2-81755] - Immunohistochemistry of OCC1 in human spleen tissue with OCC1 antibody at 2.5 u/mL.Applications for OCC1 Antibody - BSA Free
Application
Recommended Usage
Immunocytochemistry/ Immunofluorescence
20 ug/ml
Immunohistochemistry
2.5 ug/ml
Western Blot
2 ug/ml
Application Notes
In vitro transcription and translation of the OCC-1 cDNA yields polypeptides less than 9 kDa. Despite this, OCC-1 from cell lines is detected at ~28 kDa in SDS-PAGE.
Formulation, Preparation, and Storage
Purification
Peptide affinity purified
Formulation
PBS
Format
BSA Free
Preservative
0.02% Sodium Azide
Concentration
1 mg/ml
Shipping
The product is shipped with polar packs. Upon receipt, store it immediately at the temperature recommended below.
Stability & Storage
Store at 4C short term. Aliquot and store at -20C long term. Avoid freeze-thaw cycles.
Background: OCC1
Alternate Names
Adipogenesis Down-Regulated 3, AGD3, C12orf75, Chromosome 12 Open Reading Frame 75, OCC1, OCC-1, Overexpressed In Colon Carcinoma 1, Overexpressed In Colon Carcinoma 1 Protein, Overexpressed In Colon Carcinoma-1, Putative Overexpressed In Colon Carcinoma-1 Protein Variant C
Gene Symbol
C12orf75
Additional OCC1 Products
Product Documents for OCC1 Antibody - BSA Free
Product Specific Notices for OCC1 Antibody - BSA Free
This product is for research use only and is not approved for use in humans or in clinical diagnosis. Primary Antibodies are guaranteed for 1 year from date of receipt.
Loading...
Loading...
Loading...
Loading...