Skip to main content

OAS3 Antibody - BSA Free

Novus Biologicals, part of Bio-Techne | Catalog # NBP1-85841

Novus Biologicals, part of Bio-Techne
Catalog #
Availability
Size / Price
Qty
Loading...
NBP1-85841
NBP1-85841-25ul

Key Product Details

Species Reactivity

Human

Applications

Immunohistochemistry, Immunohistochemistry-Paraffin, Western Blot, Immunocytochemistry/ Immunofluorescence

Label

Unconjugated

Antibody Source

Polyclonal Rabbit IgG

Format

BSA Free

Concentration

Concentrations vary lot to lot. See vial label for concentration. If unlisted please contact technical services.

Product Specifications

Immunogen

This antibody was developed against Recombinant Protein corresponding to amino acids: TWDLGNGAAWHWDLLAQEAASCYDHPCFLRGMGDPVQSWKGPGLPRAGCSGLGHPIQLDPNQKTPENSKSLNAVYPRAGSKPPSCP

Clonality

Polyclonal

Host

Rabbit

Isotype

IgG

Scientific Data Images for OAS3 Antibody - BSA Free

Immunohistochemistry-Paraffin: OAS3 Antibody [NBP1-85841]

Immunohistochemistry-Paraffin: OAS3 Antibody [NBP1-85841]

Immunohistochemistry-Paraffin: OAS3 Antibody [NBP1-85841] - Staining of human kidney shows strong cytoplasmic positivity in cells in tubules.
Immunohistochemistry-Paraffin: OAS3 Antibody [NBP1-85841]

Immunohistochemistry-Paraffin: OAS3 Antibody [NBP1-85841]

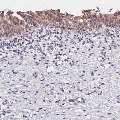
Immunohistochemistry-Paraffin: OAS3 Antibody [NBP1-85841] - Staining of human urinary bladder shows moderate cytoplasmic positivity in urothelial cells.
Immunohistochemistry-Paraffin: OAS3 Antibody [NBP1-85841]

Immunohistochemistry-Paraffin: OAS3 Antibody [NBP1-85841]

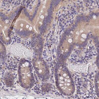
Immunohistochemistry-Paraffin: OAS3 Antibody [NBP1-85841] - Staining of human duodenum shows weak cytoplasmic positivity in glandular cells.

Applications for OAS3 Antibody - BSA Free

Application
Recommended Usage

Immunocytochemistry/ Immunofluorescence

0.25-2 ug/ml

Immunohistochemistry

1:500 - 1:1000

Immunohistochemistry-Paraffin

1:500 - 1:1000

Western Blot

0.04-0.4 ug/ml
Application Notes
For IHC-Paraffin, HIER pH 6 retrieval is recommended. ICC/IF Fixation Permeabilization: Use PFA/Triton X-100.

Formulation, Preparation, and Storage

Purification

Affinity purified

Formulation

PBS (pH 7.2) and 40% Glycerol

Format

BSA Free

Preservative

0.02% Sodium Azide

Concentration

Concentrations vary lot to lot. See vial label for concentration. If unlisted please contact technical services.

Shipping

The product is shipped with polar packs. Upon receipt, store it immediately at the temperature recommended below.

Stability & Storage

Store at 4C short term. Aliquot and store at -20C long term. Avoid freeze-thaw cycles.

Background: OAS3

The OAS3 gene encodes an enzyme included in the 2', 5' oligoadenylate synthase family. This enzyme is induced by interferons and catalyzes the 2', 5' oligomers of adenosine in order to bind and activate RNase L. This enzyme family plays a significant role in

Alternate Names

(2-5')oligo(A) synthase 3,2'-5'oligoadenylate synthetase p100, 2-5A synthase 3, 2'-5'-oligoadenylate synthase 3, 2'-5'-oligoadenylate synthetase 3, 100kDa, P/OKcl.4, p100 OAS

Gene Symbol

OAS3

Additional OAS3 Products

Product Documents for OAS3 Antibody - BSA Free

Certificate of Analysis

To download a Certificate of Analysis, please enter a lot number in the search box below.

Product Specific Notices for OAS3 Antibody - BSA Free

This product is for research use only and is not approved for use in humans or in clinical diagnosis. Primary Antibodies are guaranteed for 1 year from date of receipt.

Loading...
Loading...
Loading...
Loading...