Skip to main content

OAS1 Antibody (C12) - BSA Free

Novus Biologicals, part of Bio-Techne | Catalog # NBP3-41911

Novus Biologicals, part of Bio-Techne
Catalog #
Availability
Size / Price
Qty
Loading...
NBP3-41911

Key Product Details

Species Reactivity

Human, Porcine

Applications

Immunohistochemistry, Immunohistochemistry-Paraffin

Label

Unconjugated

Antibody Source

Monoclonal Mouse IgG1 kappa Clone # C12

Format

BSA Free

Concentration

1 mg/ml

Product Specifications

Immunogen

Immunized with recombinant Human OAS1 (Uniprot#: P00973; Ser74-Pro165 (Uniprot#: P00973)

Clonality

Monoclonal

Host

Mouse

Isotype

IgG1 kappa

Description

Novus Biologicals Mouse OAS1 Antibody (C12) - BSA Free (NBP3-41911) is a monoclonal antibody validated for use in IHC. All Novus Biologicals antibodies are covered by our 100% guarantee.

Scientific Data Images for OAS1 Antibody (C12) - BSA Free

OAS1 Antibody (C12)

Immunohistochemistry-Paraffin: OAS1 Antibody (C12) [NBP3-41911] -

Immunohistochemistry-Paraffin: OAS1 Antibody (C12) [NBP3-41911] - DAB staining on IHC-P; Sample: Human Small intestine Tissue; Primary Ab: 30ug/ml NBP3-41911; Second Ab: 2ug/mL HRP-Linked Caprine Anti-Mouse IgG Polyclonal Antibody
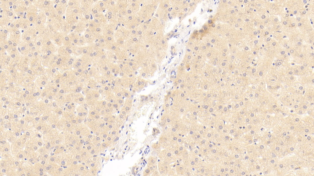
OAS1 Antibody (C12)

Immunohistochemistry-Paraffin: OAS1 Antibody (C12) [NBP3-41911] -

Immunohistochemistry-Paraffin: OAS1 Antibody (C12) [NBP3-41911] - DAB staining on IHC-P; Sample: Human Liver Tissue; Primary Ab: 30ug/ml NBP3-41911; Second Ab: 2ug/mL HRP-Linked Caprine Anti-Mouse IgG Polyclonal Antibody

Applications for OAS1 Antibody (C12) - BSA Free

Application
Recommended Usage

Immunohistochemistry

5-20ug/mL

Immunohistochemistry-Paraffin

5-20ug/mL

Formulation, Preparation, and Storage

Purification

Protein A or G purified

Formulation

0.01M PBS, pH7.4, 50% glycerol

Format

BSA Free

Preservative

0.05% Proclin 300

Concentration

1 mg/ml

Shipping

The product is shipped with polar packs. Upon receipt, store it immediately at the temperature recommended below.

Stability & Storage

Store at 4C short term. Aliquot and store at -20C long term. Avoid freeze-thaw cycles.

Background: OAS1

The OAS1 gene encodes a member of the 2-5A synthetase family, essential proteins involved in the innate immune response to viral infection. The encoded protein is induced by interferons and uses adenosine triphosphate in 2'-specific nucleotidyl transfer react

Alternate Names

(2-5')oligo(A) synthase 1,2'-5'-oligoadenylate synthetase 1,2-5A synthase 1,2'-5'-oligoisoadenylate synthetase 1, (2-5')oligo(A) synthetase 1, 2'-5'-oligo A synthetase 1, 2'-5'-oligoadenylate synthase 1, 2'-5'-oligoadenylate synthetase 1 (40-46 kD), 2'-5'-oligoadenylate synthetase 1, 40/46kDa, E18/E16,2-5A synthetase 1, EC 2.7.7, EC 2.7.7.-, IFI-4,2'-5' oligoadenylate synthetase 1 p52 isoform, OIAS2'-5' oligoadenylate synthetase 1 p48 isoform, OIASI, p46/p42 OAS

Gene Symbol

OAS1

Additional OAS1 Products

Product Documents for OAS1 Antibody (C12) - BSA Free

Certificate of Analysis

To download a Certificate of Analysis, please enter a lot number in the search box below.

Product Specific Notices for OAS1 Antibody (C12) - BSA Free

This product is for research use only and is not approved for use in humans or in clinical diagnosis. Primary Antibodies are guaranteed for 1 year from date of receipt.

Loading...
Loading...
Loading...
Loading...