Skip to main content

OAF Antibody - BSA Free

Novus Biologicals, part of Bio-Techne | Catalog # NBP1-93464

Novus Biologicals, part of Bio-Techne
Catalog #
Availability
Size / Price
Qty
Loading...
NBP1-93464
NBP1-93464-25ul

Key Product Details

Species Reactivity

Human

Applications

Immunohistochemistry, Immunohistochemistry-Paraffin, Immunocytochemistry/ Immunofluorescence

Label

Unconjugated

Antibody Source

Polyclonal Rabbit IgG

Format

BSA Free

Concentration

Concentrations vary lot to lot. See vial label for concentration. If unlisted please contact technical services.

Product Specifications

Immunogen

This antibody was developed against Recombinant Protein corresponding to amino acids: RFWLEQGVDSSVFEALPKASEQAELPRCRQVGDRGKPCVCHYGLSLAWYPCMLKYCHSRDRPTPYKCGIRSCQKSYSFDFYVPQ

Reactivity Notes

Immunogen displays the following percentage of sequence identity for non-tested species: Mouse (87%), Rat (83%)

Clonality

Polyclonal

Host

Rabbit

Isotype

IgG

Scientific Data Images for OAF Antibody - BSA Free

Immunocytochemistry/ Immunofluorescence: OAF Antibody [NBP1-93464]

Immunocytochemistry/ Immunofluorescence: OAF Antibody [NBP1-93464]

Immunocytochemistry/Immunofluorescence: OAF Antibody [NBP1-93464] - Immunofluorescent staining of human cell line Hep G2 shows localization to nucleus.
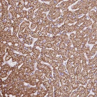
Immunohistochemistry-Paraffin: OAF Antibody [NBP1-93464]

Immunohistochemistry-Paraffin: OAF Antibody [NBP1-93464]

Immunohistochemistry-Paraffin: OAF Antibody [NBP1-93464] - Staining of human liver shows strong cytoplasmic positivity in hepatocytes.

Applications for OAF Antibody - BSA Free

Application
Recommended Usage

Immunocytochemistry/ Immunofluorescence

0.25-2 ug/ml

Immunohistochemistry

1:200 - 1:500

Immunohistochemistry-Paraffin

1:200 - 1:500
Application Notes
For IHC-Paraffin, HIER pH 6 retrieval is recommended. ICC/IF, Fixation Permeabilization: Use PFA/Triton X-100.

Formulation, Preparation, and Storage

Purification

Affinity purified

Formulation

PBS (pH 7.2) and 40% Glycerol

Format

BSA Free

Preservative

0.02% Sodium Azide

Concentration

Concentrations vary lot to lot. See vial label for concentration. If unlisted please contact technical services.

Shipping

The product is shipped with polar packs. Upon receipt, store it immediately at the temperature recommended below.

Stability & Storage

Store at 4C short term. Aliquot and store at -20C long term. Avoid freeze-thaw cycles.

Background: OAF

Alternate Names

OAF homolog (Drosophila)

Gene Symbol

OAF

Additional OAF Products

Product Documents for OAF Antibody - BSA Free

Certificate of Analysis

To download a Certificate of Analysis, please enter a lot number in the search box below.

Product Specific Notices for OAF Antibody - BSA Free

This product is for research use only and is not approved for use in humans or in clinical diagnosis. Primary Antibodies are guaranteed for 1 year from date of receipt.

Loading...
Loading...
Loading...
Loading...