Skip to main content

OA1 Antibody - BSA Free

Novus Biologicals, part of Bio-Techne | Catalog # NBP2-14066

Novus Biologicals, part of Bio-Techne
Catalog #
Availability
Size / Price
Qty
Loading...
NBP2-14066
NBP2-14066-25ul

Key Product Details

Validated by

Orthogonal Validation

Species Reactivity

Human

Applications

Immunohistochemistry, Immunohistochemistry-Paraffin

Label

Unconjugated

Antibody Source

Polyclonal Rabbit IgG

Format

BSA Free

Concentration

Concentrations vary lot to lot. See vial label for concentration. If unlisted please contact technical services.

Product Specifications

Immunogen

This antibody was developed against a recombinant protein corresponding to the amino acids: CSLGFQSPRKEIQWESLTTSAAEGAHPSPLMPHENPASGKVSQVGGQTSDEALSMLSEGSDASTIEIHTASESCNKNEGDPALPT

Clonality

Polyclonal

Host

Rabbit

Isotype

IgG

Description

Novus Biologicals Rabbit OA1 Antibody - BSA Free (NBP2-14066) is a polyclonal antibody validated for use in IHC. All Novus Biologicals antibodies are covered by our 100% guarantee.

Scientific Data Images for OA1 Antibody - BSA Free

Immunohistochemistry-Paraffin: OA1 Antibody [NBP2-14066]

Immunohistochemistry-Paraffin: OA1 Antibody [NBP2-14066]

Immunohistochemistry-Paraffin: OA1 Antibody [NBP2-14066] - Staining in human skin and skeletal muscle tissues . Corresponding GPR143 RNA-seq data are presented for the same tissues.
Immunohistochemistry-Paraffin: OA1 Antibody [NBP2-14066]

Immunohistochemistry-Paraffin: OA1 Antibody [NBP2-14066]

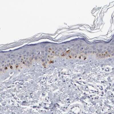
Immunohistochemistry-Paraffin: OA1 Antibody [NBP2-14066] - Staining of human skin shows moderate to strong cytoplasmic positivity in melanocytes.
Immunohistochemistry-Paraffin: OA1 Antibody [NBP2-14066]

Immunohistochemistry-Paraffin: OA1 Antibody [NBP2-14066]

Immunohistochemistry-Paraffin: OA1 Antibody [NBP2-14066] - Staining of human skeletal muscle shows no positivity in striated muscle fibers as expected.

Applications for OA1 Antibody - BSA Free

Application
Recommended Usage

Immunohistochemistry

1:500 - 1:1000

Immunohistochemistry-Paraffin

1:500 - 1:1000
Application Notes
For IHC-Paraffin, HIER pH 6 retrieval is recommended.

Formulation, Preparation, and Storage

Purification

Affinity purified

Formulation

PBS (pH 7.2) and 40% Glycerol

Format

BSA Free

Preservative

0.02% Sodium Azide

Concentration

Concentrations vary lot to lot. See vial label for concentration. If unlisted please contact technical services.

Shipping

The product is shipped with polar packs. Upon receipt, store it immediately at the temperature recommended below.

Stability & Storage

Store at 4C short term. Aliquot and store at -20C long term. Avoid freeze-thaw cycles.

Background: OA1/GPR143

Ocular albinism type 1 protein is a conserved integral membrane protein with seven transmembrane domains. It is expressed in the eye and epidermal melanocytes. [provided by RefSeq]

Long Name

Ocular Albinism 1/G Protein-Coupled Receptor 143

Alternate Names

NYS6, OA1

Gene Symbol

GPR143

Additional OA1/GPR143 Products

Product Documents for OA1 Antibody - BSA Free

Certificate of Analysis

To download a Certificate of Analysis, please enter a lot number in the search box below.

Product Specific Notices for OA1 Antibody - BSA Free

This product is for research use only and is not approved for use in humans or in clinical diagnosis. Primary Antibodies are guaranteed for 1 year from date of receipt.

Loading...
Loading...
Loading...
Loading...