Skip to main content

NXF3 Antibody - BSA Free

Novus Biologicals, part of Bio-Techne | Catalog # NBP1-57276

Novus Biologicals, part of Bio-Techne
Catalog #
Availability
Size / Price
Qty
Loading...
NBP1-57276

Key Product Details

Species Reactivity

Human

Applications

Immunohistochemistry, Immunohistochemistry-Paraffin, Western Blot

Label

Unconjugated

Antibody Source

Polyclonal Rabbit IgG

Format

BSA Free

Concentration

1 mg/ml

Product Specifications

Immunogen

Synthetic peptides corresponding to NXF3 (nuclear RNA export factor 3) The peptide sequence was selected from the C terminal of NXF3. Peptide sequence SSFLVDMWYQTEWMLCFSVNGVFKEVEGQSQGSVLAFTRTFIATPGSSSS. The peptide sequence for this immunogen was taken from within the described region.

Clonality

Polyclonal

Host

Rabbit

Isotype

IgG

Description

The addition of 50% glycerol is optional for those storing this antibody at -20C and not aliquoting smaller units. However, please note that glycerol may interrupt some downstream antibody applications and should be added with caution.

Scientific Data Images for NXF3 Antibody - BSA Free

Western Blot: NXF3 Antibody [NBP1-57276]

Western Blot: NXF3 Antibody [NBP1-57276]

Western Blot: NXF3 Antibody [NBP1-57276] - RPMI 8226 cell lysate, Antibody Titration: 1.25ug/ml
Immunohistochemistry: NXF3 Antibody [NBP1-57276]

Immunohistochemistry: NXF3 Antibody [NBP1-57276]

Immunohistochemistry: NXF3 Antibody [NBP1-57276] - Human Heart Cellular data: Myocardial cells Antibody Concentration: 4.0-8.0 ug/ml Magnification: 400X.
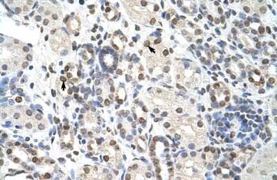
Immunohistochemistry-Paraffin: NXF3 Antibody [NBP1-57276]

Immunohistochemistry-Paraffin: NXF3 Antibody [NBP1-57276]

Immunohistochemistry-Paraffin: NXF3 Antibody [NBP1-57276] - Human kidney Tissue, antibody concentration 4-8ug/ml. Cells with positive label: renal corpuscle cells (indicated with arrows) 400X magnification.

Applications for NXF3 Antibody - BSA Free

Application
Recommended Usage

Immunohistochemistry

1:10-1:500

Immunohistochemistry-Paraffin

1:10-1:500

Western Blot

1.0 ug/ml

Formulation, Preparation, and Storage

Purification

Protein A purified

Formulation

PBS, 2% Sucrose

Format

BSA Free

Preservative

0.09% Sodium Azide

Concentration

1 mg/ml

Shipping

The product is shipped with polar packs. Upon receipt, store it immediately at the temperature recommended below.

Stability & Storage

Store at 4C short term. Aliquot and store at -20C long term. Avoid freeze-thaw cycles.

Background: NXF3

NXF3 is one member of a family of nuclear RNA export factors. Common domain features of this family are a noncanonical RNP-type RNA-binding domain (RBD), 4 leucine-rich repeats (LRRs), a nuclear transport factor 2 (NTF2)-like domain that allows heterodimerization with NTF2-related export protein-1 (NXT1), and a ubiquitin-associated domain that mediates interactions with nucleoporins. The LRRs and NTF2-like domains are required for export activity. NXF3 has shortened LRR and ubiquitin-associated domains and its RDB is unable to bind RNA. It is located in the nucleoplasm but is not associated with either the nuclear envelope or the nucleolus.This gene is one member of a family of nuclear RNA export factor genes. Common domain features of this family are a noncanonical RNP-type RNA-binding domain (RBD), 4 leucine-rich repeats (LRRs), a nuclear transport factor 2 (NTF2)-like domain that allows heterodimerization with NTF2-related export protein-1 (NXT1), and a ubiquitin-associated domain that mediates interactions with nucleoporins. The LRRs and NTF2-like domains are required for export activity. Alternative splicing seems to be a common mechanism in this gene family. The encoded protein of this gene has shortened LRR and ubiquitin-associated domains and its RDB is unable to bind RNA. It is located in the nucleoplasm but is not associated with either the nuclear envelope or the nucleolus.

Alternate Names

nuclear RNA export factor 3, TAPL3, TAPL-3, TAP-like protein 3

Gene Symbol

NXF3

UniProt

Additional NXF3 Products

Product Documents for NXF3 Antibody - BSA Free

Certificate of Analysis

To download a Certificate of Analysis, please enter a lot number in the search box below.

Product Specific Notices for NXF3 Antibody - BSA Free

This product is for research use only and is not approved for use in humans or in clinical diagnosis. Primary Antibodies are guaranteed for 1 year from date of receipt.

Loading...
Loading...
Loading...
Loading...