Skip to main content

NXF1 Antibody - BSA Free

Novus Biologicals, part of Bio-Techne | Catalog # NBP1-31649

Novus Biologicals, part of Bio-Techne
Catalog #
Availability
Size / Price
Qty
Loading...
NBP1-31649

Key Product Details

Species Reactivity

Human

Applications

Immunohistochemistry, Immunohistochemistry-Paraffin, Western Blot, Immunocytochemistry/ Immunofluorescence

Label

Unconjugated

Antibody Source

Polyclonal Rabbit IgG

Format

BSA Free

Concentration

Concentrations vary lot to lot. See vial label for concentration. If unlisted please contact technical services.

Product Specifications

Immunogen

Recombinant protein encompassing a sequence within the N-terminus region of human NXF1. The exact sequence is proprietary.

Reactivity Notes

Immunogen displays the following percentage of sequence identity for non-tested species: Mouse (87%).

Localization

Nucleus, nucleoplasm, Nucleus speckle, Cytoplasm

Clonality

Polyclonal

Host

Rabbit

Isotype

IgG

Description

Novus Biologicals Rabbit NXF1 Antibody - BSA Free (NBP1-31649) is a polyclonal antibody validated for use in IHC, WB and ICC/IF. All Novus Biologicals antibodies are covered by our 100% guarantee.

Scientific Data Images for NXF1 Antibody - BSA Free

Western Blot: NXF1 Antibody [NBP1-31649]

Western Blot: NXF1 Antibody [NBP1-31649]

Western Blot: NXF1 Antibody [NBP1-31649] - Sample (30 ug of whole cell lysate) A: Hela B: Molt-4 7. 5% SDS PAGE; antibody diluted at 1:1000.
Immunocytochemistry/ Immunofluorescence: NXF1 Antibody [NBP1-31649]

Immunocytochemistry/ Immunofluorescence: NXF1 Antibody [NBP1-31649]

Immunocytochemistry/Immunofluorescence: NXF1 Antibody [NBP1-31649] - Paraformaldehyde-fixed HeLa, using antibody at 1:200 dilution.
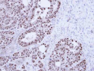
Immunohistochemistry-Paraffin: NXF1 Antibody [NBP1-31649]

Immunohistochemistry-Paraffin: NXF1 Antibody [NBP1-31649]

Immunohistochemistry-Paraffin: NXF1 Antibody [NBP1-31649] - Paraffin-embedded NCIN87 Xenograft, using antibody at 1:100 dilution.

Applications for NXF1 Antibody - BSA Free

Application
Recommended Usage

Immunocytochemistry/ Immunofluorescence

1:100-1:1000

Immunohistochemistry

10 - 1:500

Immunohistochemistry-Paraffin

1:100-1:1000

Western Blot

1:500-1:3000

Formulation, Preparation, and Storage

Purification

Antigen Affinity-purified

Formulation

PBS, 10% Glycerol

Format

BSA Free

Preservative

0.01% Thimerosal

Concentration

Concentrations vary lot to lot. See vial label for concentration. If unlisted please contact technical services.

Shipping

The product is shipped with polar packs. Upon receipt, store it immediately at the temperature recommended below.

Stability & Storage

Aliquot and store at -20C or -80C. Avoid freeze-thaw cycles.

Background: NXF1

NXF1 is one member of a family of nuclear RNA export factor genes. Common domain features of this family are a noncanonical RNP-type RNA-binding domain (RBD), 4 leucine-rich repeats (LRRs), a nuclear transport factor 2 (NTF2)-like domain that allows heterodimerization with NTF2-related export protein-1 (NXT1), and a ubiquitin-associated domain that mediates interactions with nucleoporins. The LRRs and NTF2-like domains are required for export activity. Alternative splicing seems to be a common mechanism in this gene family. The encoded protein of this gene shuttles between the nucleus and the cytoplasm and binds in vivo to poly(A)+ RNA. It is the vertebrate homologue of the yeast protein Mex67p. The encoded protein overcomes the mRNA export block caused by the presence of saturating amounts of CTE (constitutive transport element) RNA of type D retroviruses. Alternative splicing results in multiple transcript variants. [provided by RefSeq]

Alternate Names

DKFZp667O0311, Mex67, mRNA export factor TAP, nuclear RNA export factor 1, TAPMEX67, tip associating protein, Tip-associated protein, Tip-associating protein

Gene Symbol

NXF1

Additional NXF1 Products

Product Documents for NXF1 Antibody - BSA Free

Certificate of Analysis

To download a Certificate of Analysis, please enter a lot number in the search box below.

Product Specific Notices for NXF1 Antibody - BSA Free

This product is for research use only and is not approved for use in humans or in clinical diagnosis. Primary Antibodies are guaranteed for 1 year from date of receipt.

Loading...
Loading...
Loading...
Loading...

⚠ WARNING: This product can expose you to chemicals including mercury, which is known to the State of California to cause reproductive toxicity with developmental effects.  For more information go to www.P65Warnings.ca.gov.