Skip to main content

NUT Antibody

Novus Biologicals, part of Bio-Techne | Catalog # NBP3-32672

Recombinant Monoclonal Antibody
Novus Biologicals, part of Bio-Techne
Catalog #
Availability
Size / Price
Qty
Loading...
NBP3-32672

Key Product Details

Species Reactivity

Human, Mouse, Rat

Applications

Immunohistochemistry, Immunohistochemistry-Paraffin, Western Blot, Immunocytochemistry/ Immunofluorescence

Label

Unconjugated

Antibody Source

Recombinant Monoclonal Rabbit IgG expressed in HEK293

Concentration

1 mg/ml

Product Specifications

Immunogen

Recombinant protein within C terminal Mouse NUT. (Uniprot: Q86Y26)

Localization

Cytoplasm, Nucleus.

Clonality

Monoclonal

Host

Rabbit

Isotype

IgG

Theoretical MW

120 kDa.
Disclaimer note: The observed molecular weight of the protein may vary from the listed predicted molecular weight due to post translational modifications, post translation cleavages, relative charges, and other experimental factors.

Description

Novus Biologicals Rabbit NUT Antibody (NBP3-32672) is a recombinant monoclonal antibody validated for use in IHC, WB and ICC/IF. All Novus Biologicals antibodies are covered by our 100% guarantee.

Scientific Data Images for NUT Antibody

NUT Antibody

Western Blot: NUT Antibody [NBP3-32672]

Western Blot: NUT Antibody [NBP3-32672] - Western blot analysis of NUT on mouse testis tissue lysates with Rabbit anti-NUT antibody (NBP3-32672) at 1/2,000 dilution.

Lysates/proteins at 40 ug/Lane.

Predicted band size: 120 kDa
Observed band size: 120 kDa

Exposure time: 2 minutes 18 seconds;

4-20% SDS-PAGE gel.

Proteins were transferred to a PVDF membrane and blocked with 5% NFDM/TBST for 1 hour at room temperature. The primary antibody (NBP3-32672) at 1/2,000 dilution was used in 5% NFDM/TBST at 4 overnight. Goat Anti-Rabbit IgG - HRP Secondary Antibody at 1/50,000 dilution was used for 1 hour at room temperature.
NUT Antibody

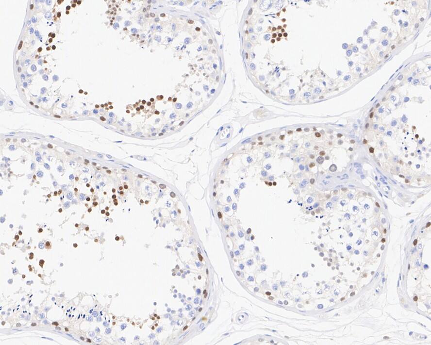
Immunohistochemistry: NUT Antibody [NBP3-32672]

Immunohistochemistry: NUT Antibody [NBP3-32672] - Immunohistochemical analysis of paraffin-embedded human testis tissue with Rabbit anti-NUT antibody (NBP3-32672) at 1/1,000 dilution.

The section was pre-treated using heat mediated antigen retrieval with sodium citrate buffer (pH 6.0) for 2 minutes. The tissues were blocked in 1% BSA for 20 minutes at room temperature, washed with ddH2O and PBS, and then probed with the primary antibody (NBP3-32672) at 1/1,000 dilution for 1 hour at room temperature. The detection was performed using an HRP conjugated compact polymer system. DAB was used as the chromogen. Tissues were counterstained with hematoxylin and mounted with DPX.
NUT Antibody

Immunohistochemistry: NUT Antibody [NBP3-32672]

Immunohistochemistry: NUT Antibody [NBP3-32672] - Immunofluorescence analysis of paraffin-embedded human testis tissue labeling NUT with Rabbit anti-NUT antibody (NBP3-32672) at 1/200 dilution.

The section was pre-treated using heat mediated antigen retrieval with sodium citrate buffer (pH 6.0) for 2 minutes. The tissues were blocked in 10% negative goat serum for 1 hour at room temperature, washed with PBS, and then probed with the primary antibody (NBP3-32672, green) at 1/200 dilution overnight at 4 ℃, washed with PBS. Goat Anti-Rabbit IgG H&L (iFluor™ 488) was used as the secondary antibody at 1/1,000 dilution. Nuclei were counterstained with DAPI (blue).

Applications for NUT Antibody

Application
Recommended Usage

Immunocytochemistry/ Immunofluorescence

1:500-1:800

Immunohistochemistry-Paraffin

1:1000-1:20000

Western Blot

1:2000

Formulation, Preparation, and Storage

Purification

Protein A purified

Formulation

PBS (pH7.4), 0.1% BSA and 40% Glycerol

Preservative

0.05% Sodium Azide

Concentration

1 mg/ml

Shipping

The product is shipped with polar packs. Upon receipt, store it immediately at the temperature recommended below.

Stability & Storage

Store at 4C short term. Aliquot and store at -20C long term. Avoid freeze-thaw cycles.

Background: NUT

Alternate Names

C15orf55, chromosome 15 open reading frame 55, DKFZp434O192, FAM22H, MGC138683, MGC138684, Nuclear protein in testis, NUT, protein NUT

Gene Symbol

NUTM1

Additional NUT Products

Product Documents for NUT Antibody

Certificate of Analysis

To download a Certificate of Analysis, please enter a lot number in the search box below.

Product Specific Notices for NUT Antibody

This product is for research use only and is not approved for use in humans or in clinical diagnosis. Primary Antibodies are guaranteed for 1 year from date of receipt.

Loading...
Loading...
Loading...
Loading...