Skip to main content

NUT Antibody - BSA Free

Novus Biologicals, part of Bio-Techne | Catalog # NBP1-84176

Novus Biologicals, part of Bio-Techne
Catalog #
Availability
Size / Price
Qty
Loading...
NBP1-84176
NBP1-84176-25ul

Key Product Details

Validated by

Orthogonal Validation

Species Reactivity

Human

Applications

Immunohistochemistry, Immunohistochemistry-Paraffin

Label

Unconjugated

Antibody Source

Polyclonal Rabbit IgG

Format

BSA Free

Concentration

Concentrations vary lot to lot. See vial label for concentration. If unlisted please contact technical services.

Product Specifications

Immunogen

This antibody was developed against Recombinant Protein corresponding to amino acids: TCPLNVHSYDPQGEGRVDPDLSKPKNLAPLQESQESYTTGTPKATSSHQGLGSTLPRRGTRNAIVPRETSVSKTHRSA

Clonality

Polyclonal

Host

Rabbit

Isotype

IgG

Scientific Data Images for NUT Antibody - BSA Free

Immunohistochemistry-Paraffin: NUT Antibody [NBP1-84176]

Immunohistochemistry-Paraffin: NUT Antibody [NBP1-84176]

Immunohistochemistry-Paraffin: NUT Antibody [NBP1-84176] - Analysis in human testis and endometrium tissues. Corresponding NUTM1 RNA-seq data are presented for the same tissues.
Immunohistochemistry-Paraffin: NUT Antibody [NBP1-84176]

Immunohistochemistry-Paraffin: NUT Antibody [NBP1-84176]

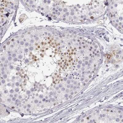
Immunohistochemistry-Paraffin: NUT Antibody [NBP1-84176] - Staining of human testis shows weak to moderate nuclear positivity in a subset of cells in seminiferous ducts.
Immunohistochemistry-Paraffin: NUT Antibody [NBP1-84176]

Immunohistochemistry-Paraffin: NUT Antibody [NBP1-84176]

Immunohistochemistry-Paraffin: NUT Antibody [NBP1-84176] - Staining of human skeletal muscle shows no positivity in myocytes as expected.

Applications for NUT Antibody - BSA Free

Application
Recommended Usage

Immunohistochemistry

1:500 - 1:1000

Immunohistochemistry-Paraffin

1:500 - 1:1000
Application Notes
For IHC-Paraffin, HIER pH 6 retrieval is recommended.

Formulation, Preparation, and Storage

Purification

Affinity purified

Formulation

PBS (pH 7.2) and 40% Glycerol

Format

BSA Free

Preservative

0.02% Sodium Azide

Concentration

Concentrations vary lot to lot. See vial label for concentration. If unlisted please contact technical services.

Shipping

The product is shipped with polar packs. Upon receipt, store it immediately at the temperature recommended below.

Stability & Storage

Store at 4C short term. Aliquot and store at -20C long term. Avoid freeze-thaw cycles.

Background: NUT

Alternate Names

C15orf55, chromosome 15 open reading frame 55, DKFZp434O192, FAM22H, MGC138683, MGC138684, Nuclear protein in testis, NUT, protein NUT

Gene Symbol

NUTM1

Additional NUT Products

Product Documents for NUT Antibody - BSA Free

Certificate of Analysis

To download a Certificate of Analysis, please enter a lot number in the search box below.

Product Specific Notices for NUT Antibody - BSA Free

This product is for research use only and is not approved for use in humans or in clinical diagnosis. Primary Antibodies are guaranteed for 1 year from date of receipt.

Loading...
Loading...
Loading...
Loading...