NUP43 Antibody - BSA Free
Novus Biologicals, part of Bio-Techne | Catalog # NBP1-88791
Key Product Details
Validated by
Independent Antibodies
Species Reactivity
Validated:
Human
Predicted:
Mouse (92%), Rat (90%). Backed by our 100% Guarantee.
Applications
Immunohistochemistry, Immunohistochemistry-Paraffin, Western Blot
Label
Unconjugated
Antibody Source
Polyclonal Rabbit IgG
Format
BSA Free
Concentration
Concentrations vary lot to lot. See vial label for concentration. If unlisted please contact technical services.
Product Specifications
Immunogen
This antibody was developed against Recombinant Protein corresponding to amino acids: FGMEEIYAKFVSQKISKTRWRPLPPGSLQTAETFATGSWDNEENYISLWSIGDFGNLDSDGGFEGDHQLLCDIRHHGDVMDLQF
Clonality
Polyclonal
Host
Rabbit
Isotype
IgG
Scientific Data Images for NUP43 Antibody - BSA Free
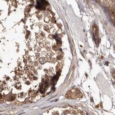
Immunohistochemistry-Paraffin: NUP43 Antibody [NBP1-88791]
Immunohistochemistry-Paraffin: NUP43 Antibody [NBP1-88791] - Staining of human adrenal gland, colon, kidney and testis using Anti-NUP43 antibody NBP1-88791 (A) shows similar protein distribution across tissues to independent antibody NBP1-88793 (B).Immunohistochemistry-Paraffin: NUP43 Antibody [NBP1-88791]
Immunohistochemistry-Paraffin: NUP43 Antibody [NBP1-88791] - Staining of human testis.Applications for NUP43 Antibody - BSA Free
Application
Recommended Usage
Immunohistochemistry
1:50 - 1:200
Immunohistochemistry-Paraffin
1:50 - 1:200
Western Blot
0.04-0.4 ug/ml
Application Notes
For IHC-Paraffin, HIER pH 6 retrieval is recommended.
Formulation, Preparation, and Storage
Purification
Affinity purified
Formulation
PBS (pH 7.2) and 40% Glycerol
Format
BSA Free
Preservative
0.02% Sodium Azide
Concentration
Concentrations vary lot to lot. See vial label for concentration. If unlisted please contact technical services.
Shipping
The product is shipped with polar packs. Upon receipt, store it immediately at the temperature recommended below.
Stability & Storage
Store at 4C short term. Aliquot and store at -20C long term. Avoid freeze-thaw cycles.
Background: NUP43
Alternate Names
bA350J20.1, FLJ13287, nucleoporin 43kDa, nucleoporin Nup43, Nup107-160 subcomplex subunit Nup43, p42
Gene Symbol
NUP43
Additional NUP43 Products
Product Documents for NUP43 Antibody - BSA Free
Product Specific Notices for NUP43 Antibody - BSA Free
This product is for research use only and is not approved for use in humans or in clinical diagnosis. Primary Antibodies are guaranteed for 1 year from date of receipt.
Loading...
Loading...
Loading...
Loading...