Skip to main content

Numb Antibody

Novus Biologicals, part of Bio-Techne | Catalog # NBP2-27181

Novus Biologicals, part of Bio-Techne
Catalog #
Availability
Size / Price
Qty
Loading...
NBP2-27181
NBP2-27181SS

Key Product Details

Species Reactivity

Validated:

Human, Mouse, Rat, Bovine, Primate

Cited:

Rat

Predicted:

Monkey (100%). Backed by our 100% Guarantee.

Applications

Validated:

Immunohistochemistry, Immunohistochemistry-Paraffin, Western Blot

Cited:

IF/IHC

Label

Unconjugated

Antibody Source

Polyclonal Rabbit IgG

Concentration

0.5 mg/ml

Product Specifications

Immunogen

A synthetic peptide corresponding to amino acids 12-40 of human NUMB was used as the immunogen for the antibody, GenBank no gb|AAH20788.1|.

Clonality

Polyclonal

Host

Rabbit

Isotype

IgG

Description

Novus Biologicals Rabbit Numb Antibody (NBP2-27181) is a polyclonal antibody validated for use in IHC and WB. Anti-Numb Antibody: Cited in 1 publication. All Novus Biologicals antibodies are covered by our 100% guarantee.

Scientific Data Images for Numb Antibody

Western Blot: Numb Antibody [NBP2-27181]

Western Blot: Numb Antibody [NBP2-27181]

Western Blot: NUMB Antibody [NBP2-27181] - Analysis of mouse brain lysate in the 1) absence and 2) presence of immunizing peptide using NUMB antibody at 1 ug/ml. Goat anti-rabbit Ig HRP secondary antibody (20301) and PicoTect ECL substrate solution were used for this test
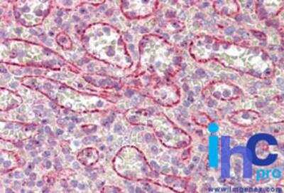
Immunohistochemistry-Paraffin: Numb Antibody [NBP2-27181]

Immunohistochemistry-Paraffin: Numb Antibody [NBP2-27181]

Immunohistochemistry-Paraffin: NUMB Antibody [NBP2-27181] - Formalin-fixed, paraffin-embedded human adrenal tissue stained with NUMB antibody at 10 ug/ml.
Immunohistochemistry-Paraffin: Numb Antibody [NBP2-27181]

Immunohistochemistry-Paraffin: Numb Antibody [NBP2-27181]

Immunohistochemistry-Paraffin: NUMB Antibody [NBP2-27181] - Formalin-fixed, paraffin-embedded human spleen stained with NUMB antibody at 10 ug/ml.

Applications for Numb Antibody

Application
Recommended Usage

Immunohistochemistry

reported in scientific literature (PMID 30256757)

Immunohistochemistry-Paraffin

5-10ug/ml~

Western Blot

1-2ug/ml
Application Notes
Staining of formalin-fixed tissues is enhanced by boiling tissue sections in 10 mM sodium citrate buffer, pH 6.0 for 10-20 min followed by cooling at RT for 20 min.

Formulation, Preparation, and Storage

Purification

Immunogen affinity purified

Formulation

PBS and 0.05% BSA

Preservative

0.05% Sodium Azide

Concentration

0.5 mg/ml

Shipping

The product is shipped with polar packs. Upon receipt, store it immediately at the temperature recommended below.

Stability & Storage

Store at 4C short term. Aliquot and store at -20C long term. Avoid freeze-thaw cycles.

Background: Numb

Protein NUMB homolog is an evolutionarily conserved protein that controls the differentiation of neuronal progenitor cells. Recent studies have revealed that NUMB functions in clathrin-dependent endocytosis by binding to the AP-2 complex. NUMB is also expressed in postmitotic neurons and plays a role in axonal growth. Neural cells expressing Numb isoforms with short phosphotyrosine-binding (SPTB) domain undergo extensive neurite outgrowth, an effect that can be blocked by voltage-gated Ca2+ channel (VGCC) inhibitor or by Ca2+ chelator.

Alternate Names

m-numb, mnb, S171

Gene Symbol

NUMB

UniProt

Additional Numb Products

Product Documents for Numb Antibody

Certificate of Analysis

To download a Certificate of Analysis, please enter a lot number in the search box below.

Product Specific Notices for Numb Antibody

This product is for research use only and is not approved for use in humans or in clinical diagnosis. Primary Antibodies are guaranteed for 1 year from date of receipt.

Loading...
Loading...
Loading...
Loading...