Skip to main content

Nuf2 Antibody (312) - Azide and BSA Free

Novus Biologicals, part of Bio-Techne | Catalog # NBP2-43780

Novus Biologicals, part of Bio-Techne
Catalog #
Availability
Size / Price
Qty
Loading...
NBP2-43780

Key Product Details

Species Reactivity

Human

Applications

Western Blot, Immunoprecipitation

Label

Unconjugated

Antibody Source

Monoclonal Mouse IgG1 Clone # 312

Format

Azide and BSA Free

Concentration

Concentrations vary lot to lot. See vial label for concentration. If unlisted please contact technical services.

Product Specifications

Immunogen

Recombinant protein corresponding to human Nuf2

Clonality

Monoclonal

Host

Mouse

Isotype

IgG1

Theoretical MW

54 kDa.
Disclaimer note: The observed molecular weight of the protein may vary from the listed predicted molecular weight due to post translational modifications, post translation cleavages, relative charges, and other experimental factors.

Description

Novus Biologicals Mouse Nuf2 Antibody (312) - Azide and BSA Free (NBP2-43780) is a monoclonal antibody validated for use in WB and IP. All Novus Biologicals antibodies are covered by our 100% guarantee.

Scientific Data Images for Nuf2 Antibody (312) - Azide and BSA Free

Western Blot: Nuf2 Antibody (312) [NBP2-43780]

Western Blot: Nuf2 Antibody (312) [NBP2-43780]

Western Blot: Nuf2 Antibody (312) [NBP2-43780] - Analysis of whole cell extracts and nuclear extracts (30 ug) were separated by 10% SDS-PAGE, and the membrane was blotted with CDCA1 antibody [312] at a dilution of 1:1000.
Nuf2 Antibody (312)

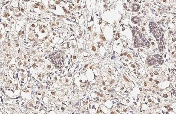
Immunohistochemistry-Paraffin: Nuf2 Antibody (312) [NBP2-43780] -

Immunohistochemistry-Paraffin: Nuf2 Antibody (312) [NBP2-43780] - Nuf2 antibody [GT312] detects Nuf2 protein at nucleus by immunohistochemical analysis.
Sample: Paraffin-embedded human breast carcinoma.
Nuf2 stained by Nuf2 antibody [GT312] (NBP2-43780) diluted at 1:500.
Antigen Retrieval: Citrate buffer, pH 6.0, 15 min

Applications for Nuf2 Antibody (312) - Azide and BSA Free

Application
Recommended Usage

Immunoprecipitation

1:100-1:500

Western Blot

1:500-1:3000

Formulation, Preparation, and Storage

Purification

Protein G purified

Formulation

PBS

Format

Azide and BSA Free

Preservative

No Preservative

Concentration

Concentrations vary lot to lot. See vial label for concentration. If unlisted please contact technical services.

Shipping

The product is shipped with polar packs. Upon receipt, store it immediately at the temperature recommended below.

Stability & Storage

Aliquot and store at -20C or -80C. Avoid freeze-thaw cycles.

Background: Nuf2

Nuf2, also known as Kinetochore protein Nuf2, is a 54 kDa 464 amino acid protein, and it is involved in chromosome segregation, specifically as it relates to spindle checkpoint activity with the kinetochore-associated NDC80 complex. This protein is necessary for kinetochore stability and organization of microtubule binding sites on the outer plate, forming interactions with NDC80/HEC-1-CDCA1, SPBC24-SPBC25, Bub1, EXOC1, as well as AURKB/Aurora-B and CENPE in the mitotic prometaphase, DNA replication, and Cell Cycle pathways. Current research is being performed on this proteins involvement in gastric, lung, and breast cancers, in addition to essential hypertension, schizophrenia, and duodenogastric reflux.

Alternate Names

cancer/testis antigen 106, CDCA1hsNuf2, cell division cycle associated 1, Cell division cycle-associated protein 1, CT106, hNuf2, kinetochore protein Nuf2, NUF2, NDC80 kinetochore complex component, homolog (S. cerevisiae), NUF2RhNuf2R

Gene Symbol

NUF2

Additional Nuf2 Products

Product Documents for Nuf2 Antibody (312) - Azide and BSA Free

Certificate of Analysis

To download a Certificate of Analysis, please enter a lot number in the search box below.

Product Specific Notices for Nuf2 Antibody (312) - Azide and BSA Free

This product is for research use only and is not approved for use in humans or in clinical diagnosis. Primary Antibodies are guaranteed for 1 year from date of receipt.

Loading...
Loading...
Loading...
Loading...