Skip to main content

NUDT6 Antibody (OTI9D12)

Novus Biologicals, part of Bio-Techne | Catalog # NBP2-03554

Novus Biologicals, part of Bio-Techne
Catalog #
Availability
Size / Price
Qty
Loading...
NBP2-03554

Key Product Details

Species Reactivity

Human

Applications

Flow Cytometry, Immunocytochemistry/ Immunofluorescence, Immunohistochemistry, Immunohistochemistry-Paraffin, Western Blot

Label

Unconjugated

Antibody Source

Monoclonal Mouse IgG1 Clone # OTI9D12

Concentration

0.37 mg/ml

Product Specifications

Immunogen

Full length human recombinant protein of human NUDT6 (NP_009014) produced in HEK293T cell.

Clonality

Monoclonal

Host

Mouse

Isotype

IgG1

Theoretical MW

35.5 kDa.
Disclaimer note: The observed molecular weight of the protein may vary from the listed predicted molecular weight due to post translational modifications, post translation cleavages, relative charges, and other experimental factors.

Description

Novus Biologicals Mouse NUDT6 Antibody (OTI9D12) (NBP2-03554) is a monoclonal antibody validated for use in IHC, WB, Flow and ICC/IF. All Novus Biologicals antibodies are covered by our 100% guarantee.

Scientific Data Images for NUDT6 Antibody (OTI9D12)

Western Blot: NUDT6 Antibody (OTI9D12) [NBP2-03554]

Western Blot: NUDT6 Antibody (OTI9D12) [NBP2-03554]

Western Blot: NUDT6 Antibody (9D12) [NBP2-03554] - HEK293T cells were transfected with the pCMV6-ENTRY control (Left lane) or pCMV6-ENTRY NUDT6 (Right lane) cDNA for 48 hrs and lysed. Equivalent amounts of cell lysates (5 ug per lane) were separated by SDS-PAGE and immunoblotted with anti-NUDT6.
Immunocytochemistry/Immunofluorescence: NUDT6 Antibody (9D12) [NBP2-03554] Staining of COS7 cells transiently transfected by pCMV6-ENTRY NUDT6.
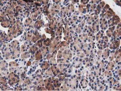
Immunohistochemistry-Paraffin: NUDT6 Antibody (OTI9D12) [NBP2-03554]

Immunohistochemistry-Paraffin: NUDT6 Antibody (OTI9D12) [NBP2-03554]

Immunohistochemistry-Paraffin: NUDT6 Antibody (9D12) [NBP2-03554] - Staining of paraffin-embedded Human thyroid tissue using anti-NUDT6 mouse monoclonal antibody.

Applications for NUDT6 Antibody (OTI9D12)

Application
Recommended Usage

Flow Cytometry

1:100

Immunocytochemistry/ Immunofluorescence

1:100

Immunohistochemistry

1:150

Immunohistochemistry-Paraffin

1:150

Western Blot

1:2000

Formulation, Preparation, and Storage

Purification

Immunogen affinity purified

Formulation

PBS (pH 7.3), 1.0% BSA and 50% Glycerol

Preservative

0.02% Sodium Azide

Concentration

0.37 mg/ml

Shipping

The product is shipped with polar packs. Upon receipt, store it immediately at the temperature recommended below.

Stability & Storage

Store at -20C. Avoid freeze-thaw cycles.

Background: NUDT6

FGF2 (MIM 134920) is a highly conserved, multifunctional heparin-binding growth factor involved in neuroectoderm development, angiogenesis, and wound healing. Elevated levels of FGF2 are associated with proliferation of smooth muscle in atherosclerosis and with proliferation of tumors. The FGF2 antisense gene, NUDT6, may regulate FGF2 expression.[supplied by OMIM].

Alternate Names

Antisense basic fibroblast growth factor, ASFGF2, bFGF, FGF2ASFGF-2, FGF-AS, gfg, gfg-1, nucleoside diphosphate-linked moiety X motif 6, nudix (nucleoside diphosphate linked moiety X)-type motif 6, Nudix motif 6, nudix-type motif 6, Protein GFG

Entrez Gene IDs

11162 (Human)

Gene Symbol

NUDT6

Additional NUDT6 Products

Product Documents for NUDT6 Antibody (OTI9D12)

Certificate of Analysis

To download a Certificate of Analysis, please enter a lot number in the search box below.

Product Specific Notices for NUDT6 Antibody (OTI9D12)

This product is for research use only and is not approved for use in humans or in clinical diagnosis. Primary Antibodies are guaranteed for 1 year from date of receipt.

Loading...
Loading...
Loading...
Loading...
Loading...