Skip to main content

NUDT3 Antibody

Novus Biologicals, part of Bio-Techne | Catalog # NBP2-15048

Novus Biologicals, part of Bio-Techne
Catalog #
Availability
Size / Price
Qty
Loading...
NBP2-15048

Key Product Details

Species Reactivity

Validated:

Human

Predicted:

Bovine (95%), Canine (99%), Chicken (92%), Mouse (95%), Porcine (99%), Rat (94%), Rhesus Macaque (100%). Backed by our 100% Guarantee.

Applications

Immunohistochemistry, Immunohistochemistry-Paraffin, Western Blot

Label

Unconjugated

Antibody Source

Polyclonal Rabbit IgG

Concentration

Concentrations vary lot to lot. See vial label for concentration. If unlisted please contact technical services.

Product Specifications

Immunogen

Recombinant protein encompassing a sequence within the center region of human NUDT3. The exact sequence is proprietary.

Clonality

Polyclonal

Host

Rabbit

Isotype

IgG

Theoretical MW

19 kDa.
Disclaimer note: The observed molecular weight of the protein may vary from the listed predicted molecular weight due to post translational modifications, post translation cleavages, relative charges, and other experimental factors.

Description

Novus Biologicals Rabbit NUDT3 Antibody (NBP2-15048) is a polyclonal antibody validated for use in IHC and WB. All Novus Biologicals antibodies are covered by our 100% guarantee.

Scientific Data Images for NUDT3 Antibody

NUDT3 Antibody

NUDT3 Antibody [NBP2-15048] -

Whole cell extract (30 μg) was separated by 15% SDS-PAGE, and the membrane was blotted with NUDT3 antibody at a dilution of 1:1000.
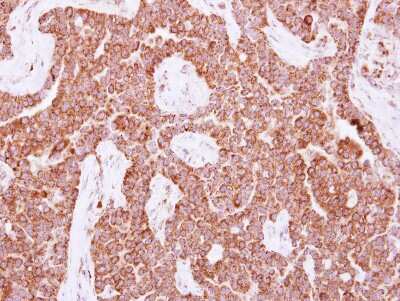
Immunohistochemistry-Paraffin: NUDT3 Antibody [NBP2-15048]

Immunohistochemistry-Paraffin: NUDT3 Antibody [NBP2-15048]

Immunohistochemistry-Paraffin: NUDT3 Antibody [NBP2-15048] - Human lung adenocarcinoma, using NUDT3 antibody at 1:500 dilution. Antigen Retrieval: Trilogy™ (EDTA based, pH 8.0) buffer, 15min.

Applications for NUDT3 Antibody

Application
Recommended Usage

Immunohistochemistry

1:100-1:1000

Immunohistochemistry-Paraffin

1:100-1:1000

Western Blot

1:500-1:3000

Formulation, Preparation, and Storage

Purification

Antigen Affinity-purified

Formulation

PBS, 1% BSA, 20% Glycerol

Preservative

0.025% Proclin 300

Concentration

Concentrations vary lot to lot. See vial label for concentration. If unlisted please contact technical services.

Shipping

The product is shipped with polar packs. Upon receipt, store it immediately at the temperature recommended below.

Stability & Storage

Aliquot and store at -20C or -80C. Avoid freeze-thaw cycles.

Background: NUDT3

NUDT3 belongs to the MutT, or Nudix, protein family. Nudix proteins act as homeostatic checkpoints at important stages in nucleoside phosphate metabolic pathways, guarding against elevated levels of potentially dangerous intermediates, like 8-oxo-dGTP, which promotes AT-to-CG transversions (Safrany et al., 1998 [PubMed 9822604]).[supplied by OMIM]

Alternate Names

Diadenosine 5'-5'''-P1, diphosphoinositol polyphosphate phosphohydrolase 1, DIPP-1, DIPPDIPP1, EC 3.6.1.-, EC 3.6.1.52, Nucleoside diphosphate-linked moiety X motif 3, nudix (nucleoside diphosphate linked moiety X)-type motif 3, Nudix motif 3, P6-hexaphosphate hydrolase 1

Gene Symbol

NUDT3

UniProt

Additional NUDT3 Products

Product Documents for NUDT3 Antibody

Certificate of Analysis

To download a Certificate of Analysis, please enter a lot number in the search box below.

Product Specific Notices for NUDT3 Antibody

This product is for research use only and is not approved for use in humans or in clinical diagnosis. Primary Antibodies are guaranteed for 1 year from date of receipt.

Loading...
Loading...
Loading...
Loading...

⚠ WARNING: This product can expose you to chemicals including mercury, which is known to the State of California to cause reproductive toxicity with developmental effects.  For more information go to www.P65Warnings.ca.gov.