Skip to main content

NUDCD2 Antibody - BSA Free

Novus Biologicals, part of Bio-Techne | Catalog # NBP3-47293

Novus Biologicals, part of Bio-Techne
Catalog #
Availability
Size / Price
Qty
Loading...
NBP3-47293

Key Product Details

Species Reactivity

Human, Mouse, Rat

Applications

Immunohistochemistry, Western Blot, ELISA, Immunocytochemistry/ Immunofluorescence

Label

Unconjugated

Antibody Source

Polyclonal Rabbit IgG

Format

BSA Free

Concentration

Please see the vial label for concentration. If unlisted please contact technical services.

Product Specifications

Immunogen

NudC domain containing 2. (Uniprot# Q8WVJ2)

Clonality

Polyclonal

Host

Rabbit

Isotype

IgG

Theoretical MW

18 kDa.
Disclaimer note: The observed molecular weight of the protein may vary from the listed predicted molecular weight due to post translational modifications, post translation cleavages, relative charges, and other experimental factors.

Description

Novus Biologicals Rabbit NUDCD2 Antibody - BSA Free (NBP3-47293) is a polyclonal antibody validated for use in IHC, WB, ELISA and ICC/IF. All Novus Biologicals antibodies are covered by our 100% guarantee.

Scientific Data Images for NUDCD2 Antibody - BSA Free

NUDCD2 Antibody - BSA Free

Western Blot: NUDCD2 Antibody - BSA Free [NBP3-47293] -

Western Blot: NUDCD2 Antibody - BSA Free [NBP3-47293] - Human brain tissue were subjected to SDS PAGE followed by western blot with (NUDCD2 antibody) at dilution of 1:500
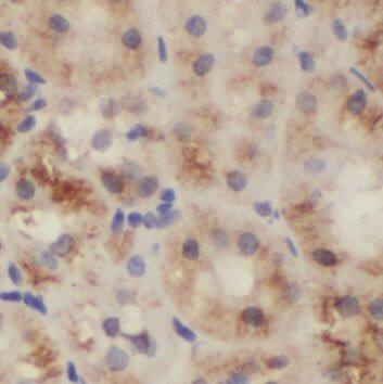
NUDCD2 Antibody - BSA Free

Immunohistochemistry: NUDCD2 Antibody - BSA Free [NBP3-47293] -

Immunohistochemistry: NUDCD2 Antibody - BSA Free [NBP3-47293] - Immunohistochemistry of paraffin-embedded human kidney using (NUDCD2 antibody) at dilution of 1:100

Applications for NUDCD2 Antibody - BSA Free

Application
Recommended Usage

Immunocytochemistry/ Immunofluorescence

1:20-1:200

Immunohistochemistry

1:20-1:200

Western Blot

1:500-1:2000

Formulation, Preparation, and Storage

Purification

Immunogen affinity purified

Formulation

PBS, 50% Glycerol, pH (7.3)

Format

BSA Free

Preservative

0.02% Sodium Azide

Concentration

Please see the vial label for concentration. If unlisted please contact technical services.

Shipping

The product is shipped with polar packs. Upon receipt, store it immediately at the temperature recommended below.

Stability & Storage

Store at -20C. Avoid freeze-thaw cycles.

Background: NUDCD2

Alternate Names

DKFZp686E10109, NudC domain containing 2, nudC domain-containing protein 2, NudC-like protein 2

Gene Symbol

NUDCD2

Additional NUDCD2 Products

Product Documents for NUDCD2 Antibody - BSA Free

Certificate of Analysis

To download a Certificate of Analysis, please enter a lot number in the search box below.

Product Specific Notices for NUDCD2 Antibody - BSA Free

This product is for research use only and is not approved for use in humans or in clinical diagnosis. Primary Antibodies are guaranteed for 1 year from date of receipt.

Loading...
Loading...
Loading...
Loading...