NUBP2 Antibody - BSA Free
Novus Biologicals, part of Bio-Techne | Catalog # NBP3-47295
Key Product Details
Species Reactivity
Human, Mouse, Rat
Applications
Immunohistochemistry, Western Blot, ELISA
Label
Unconjugated
Antibody Source
Polyclonal Rabbit IgG
Format
BSA Free
Concentration
Please see the vial label for concentration. If unlisted please contact technical services.
Product Specifications
Immunogen
nucleotide binding protein 2(MinD homolog, E. coli). (Uniprot# Q9Y5Y2)
Clonality
Polyclonal
Host
Rabbit
Isotype
IgG
Description
Novus Biologicals Rabbit NUBP2 Antibody - BSA Free (NBP3-47295) is a polyclonal antibody validated for use in IHC, WB and ELISA. All Novus Biologicals antibodies are covered by our 100% guarantee.
Scientific Data Images for NUBP2 Antibody - BSA Free
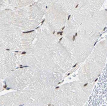
Immunohistochemistry: NUBP2 Antibody - BSA Free [NBP3-47295] -
Immunohistochemistry: NUBP2 Antibody - BSA Free [NBP3-47295] - Immunohistochemistry of paraffin-embedded human skeletal muscle using (NUBP2 antibody) at dilution of 1:50Western Blot: NUBP2 Antibody - BSA Free [NBP3-47295] -
Western Blot: NUBP2 Antibody - BSA Free [NBP3-47295] - L02 cells were subjected to SDS PAGE followed by western blot with (NUBP2 antibody) at dilution of 1:500Applications for NUBP2 Antibody - BSA Free
Application
Recommended Usage
Immunohistochemistry
1:20-1:200
Western Blot
1:500-1:2000
Application Notes
Theoretical Molecular Weight is 30-33 kDa
Formulation, Preparation, and Storage
Purification
Immunogen affinity purified
Formulation
PBS, 50% Glycerol, pH (7.3)
Format
BSA Free
Preservative
0.02% Sodium Azide
Concentration
Please see the vial label for concentration. If unlisted please contact technical services.
Shipping
The product is shipped with polar packs. Upon receipt, store it immediately at the temperature recommended below.
Stability & Storage
Store at -20C. Avoid freeze-thaw cycles.
Background: NUBP2
Alternate Names
CFD1C447E6.1 (nucleotide binding protein 1 (E.coli MinD like) ), cytosolic Fe-S cluster assembly factor NUBP2, homolog of yeast cytosolic Fe-S cluster deficient 1, NBP 2, NUBP1, nucleotide binding protein 2 (E.coli MinD like), nucleotide binding protein 2 (MinD homolog, E. coli), Nucleotide-binding protein 2
Gene Symbol
NUBP2
Additional NUBP2 Products
Product Documents for NUBP2 Antibody - BSA Free
Product Specific Notices for NUBP2 Antibody - BSA Free
This product is for research use only and is not approved for use in humans or in clinical diagnosis. Primary Antibodies are guaranteed for 1 year from date of receipt.
Loading...
Loading...
Loading...
Loading...