NUBP1 Antibody - BSA Free
Novus Biologicals, part of Bio-Techne | Catalog # NBP1-92204
Key Product Details
Validated by
Knockout/Knockdown, Independent Antibodies
Species Reactivity
Validated:
Human
Cited:
Human
Applications
Validated:
Immunohistochemistry, Immunohistochemistry-Paraffin, Western Blot, Knockdown Validated
Cited:
Western Blot
Label
Unconjugated
Antibody Source
Polyclonal Rabbit IgG
Format
BSA Free
Concentration
Concentrations vary lot to lot. See vial label for concentration. If unlisted please contact technical services.
Product Specifications
Immunogen
This antibody was developed against Recombinant Protein corresponding to amino acids: TSDEHLSVVRYLATAHIDGAVIITTPQEVSLQDVRKEINFCRKVKLPIIGVVEN
Reactivity Notes
Immunogen displays the following percentage of sequence identity for non-tested species: Mouse (89%), Rat (89%). Human reactivity reported in scientific literature (PMID: 25012650).
Clonality
Polyclonal
Host
Rabbit
Isotype
IgG
Description
Novus Biologicals Rabbit NUBP1 Antibody - BSA Free (NBP1-92204) is a polyclonal antibody validated for use in IHC and WB. Anti-NUBP1 Antibody: Cited in 2 publications. All Novus Biologicals antibodies are covered by our 100% guarantee.
Scientific Data Images for NUBP1 Antibody - BSA Free
Immunohistochemistry-Paraffin: NUBP1 Antibody [NBP1-92204]
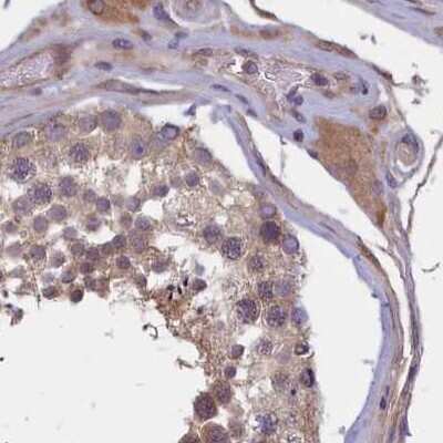
Immunohistochemistry-Paraffin: NUBP1 Antibody [NBP1-92204] - Staining of human testis.Immunohistochemistry-Paraffin: NUBP1 Antibody [NBP1-92204]
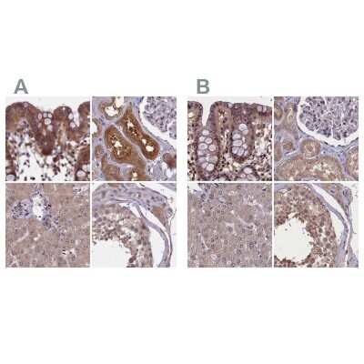
Immunohistochemistry-Paraffin: NUBP1 Antibody [NBP1-92204] - Staining of human colon, kidney, liver and testis using Anti-NUBP1 antibody NBP1-92204 (A) shows similar protein distribution across tissues to independent antibody NBP1-92205 (B).Applications for NUBP1 Antibody - BSA Free
Application
Recommended Usage
Immunohistochemistry
1:50 - 1:200
Immunohistochemistry-Paraffin
1:50-1:200
Western Blot
0.04 - 0.4 ug/ml
Application Notes
For IHC-Paraffin, HIER pH 6 retrieval is recommended.
Formulation, Preparation, and Storage
Purification
Affinity purified
Formulation
PBS (pH 7.2) and 40% Glycerol
Format
BSA Free
Preservative
0.02% Sodium Azide
Concentration
Concentrations vary lot to lot. See vial label for concentration. If unlisted please contact technical services.
Shipping
The product is shipped with polar packs. Upon receipt, store it immediately at the temperature recommended below.
Stability & Storage
Store at 4C short term. Aliquot and store at -20C long term. Avoid freeze-thaw cycles.
Background: NUBP1
Alternate Names
cytosolic Fe-S cluster assembly factor NUBP1, MGC117406, MGC130053, NBP 1, NBP1, NBPMGC130052, nucleotide binding protein (e.coli MinD like), nucleotide binding protein 1 (E.coli MinD like), nucleotide binding protein 1 (MinD homolog, E. coli), Nucleotide-binding protein 1
Gene Symbol
NUBP1
Additional NUBP1 Products
Product Documents for NUBP1 Antibody - BSA Free
Product Specific Notices for NUBP1 Antibody - BSA Free
This product is for research use only and is not approved for use in humans or in clinical diagnosis. Primary Antibodies are guaranteed for 1 year from date of receipt.
Loading...
Loading...
Loading...
Loading...