Skip to main content

NUAK2 Antibody - BSA Free

Novus Biologicals, part of Bio-Techne | Catalog # NBP1-81880

Novus Biologicals, part of Bio-Techne
Catalog #
Availability
Size / Price
Qty
Loading...
NBP1-81880-25ul
NBP1-81880

Key Product Details

Validated by

Knockout/Knockdown, Biological Validation

Species Reactivity

Validated:

Human, Mouse

Cited:

Human, Mouse

Applications

Validated:

Immunohistochemistry, Immunohistochemistry-Paraffin, Western Blot, Immunocytochemistry/ Immunofluorescence, Knockdown Validated

Cited:

Western Blot

Label

Unconjugated

Antibody Source

Polyclonal Rabbit IgG

Format

BSA Free

Concentration

Concentrations vary lot to lot. See vial label for concentration. If unlisted please contact technical services.

Product Specifications

Immunogen

This antibody was developed against Recombinant Protein corresponding to amino acids: DPKEQKPPQASGLLLHRKGILKLNGKFSQTALELAAPTTFGSLDELAPPRPLARASRPSGAVSEDSILSSESFDQLDLPERLPEPPLRGCVSVDNLTGLEEPPSEGPGSCLRRWRQDPLGDSCFSLTDCQEVTATYRQALRVCSKLT

Reactivity Notes

Rat (81%). Use in Mouse reported in scientific literature (PMID:31350328).

Clonality

Polyclonal

Host

Rabbit

Isotype

IgG

Scientific Data Images for NUAK2 Antibody - BSA Free

Western Blot: NUAK2 Antibody [NBP1-81880]

Western Blot: NUAK2 Antibody [NBP1-81880]

NUAK2-Antibody-Western-Blot-NBP1-81880-img0017.jpg
Immunocytochemistry/ Immunofluorescence: NUAK2 Antibody [NBP1-81880]

Immunocytochemistry/ Immunofluorescence: NUAK2 Antibody [NBP1-81880]

Immunocytochemistry/Immunofluorescence: NUAK2 Antibody [NBP1-81880] - Staining of human cell line U-251 MG shows localization to nucleoplasm, nucleoli fibrillar center & cytosol. Antibody staining is shown in green.
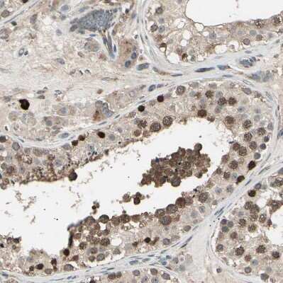
Immunohistochemistry-Paraffin: NUAK2 Antibody [NBP1-81880]

Immunohistochemistry-Paraffin: NUAK2 Antibody [NBP1-81880]

Immunohistochemistry-Paraffin: NUAK2 Antibody [NBP1-81880] - Staining of human testis shows moderate to strong cytoplasmic and nuclear positivity in cells in seminiferous ducts.

Applications for NUAK2 Antibody - BSA Free

Application
Recommended Usage

Immunocytochemistry/ Immunofluorescence

0.25-2 ug/ml

Immunohistochemistry

1:50 - 1:200

Immunohistochemistry-Paraffin

1:50-1:200

Western Blot

0.04 - 0.4 ug/ml
Application Notes
For IHC-Paraffin, HIER pH 6 retrieval is recommended. ICC/IF Fixation Permeabilization: Use PFA/Triton X-100.

Formulation, Preparation, and Storage

Purification

Affinity purified

Formulation

PBS (pH 7.2) and 40% Glycerol

Format

BSA Free

Preservative

0.02% Sodium Azide

Concentration

Concentrations vary lot to lot. See vial label for concentration. If unlisted please contact technical services.

Shipping

The product is shipped with polar packs. Upon receipt, store it immediately at the temperature recommended below.

Stability & Storage

Store at 4C short term. Aliquot and store at -20C long term. Avoid freeze-thaw cycles.

Background: NUAK2

Stress-activated kinase involved in tolerance to glucose starvation. Induces cell-cell detachment byincreasing F-actin conversion to G-actin. Expression is induced by CD95 or TNF-alpha, via NF-kappa-B. Protects cellsfrom CD95-mediated apoptosis and is required for the increased motility and invasiveness of CD95-activated tumor cells

Long Name

NUAK family SNF1-like kinase 2

Alternate Names

OMPHK2, SNARK

Entrez Gene IDs

81788 (Human)

Gene Symbol

NUAK2

UniProt

Additional NUAK2 Products

Product Documents for NUAK2 Antibody - BSA Free

Certificate of Analysis

To download a Certificate of Analysis, please enter a lot number in the search box below.

Product Specific Notices for NUAK2 Antibody - BSA Free

This product is for research use only and is not approved for use in humans or in clinical diagnosis. Primary Antibodies are guaranteed for 1 year from date of receipt.

Loading...
Loading...
Loading...
Loading...