Skip to main content

NSUN7 Antibody - BSA Free

Novus Biologicals, part of Bio-Techne | Catalog # NBP1-94011

Novus Biologicals, part of Bio-Techne
Catalog #
Availability
Size / Price
Qty
Loading...
NBP1-94011
NBP1-94011-25ul

Key Product Details

Species Reactivity

Human

Applications

Immunohistochemistry, Immunohistochemistry-Paraffin, Immunocytochemistry/ Immunofluorescence

Label

Unconjugated

Antibody Source

Polyclonal Rabbit IgG

Format

BSA Free

Concentration

Concentrations vary lot to lot. See vial label for concentration. If unlisted please contact technical services.

Product Specifications

Immunogen

This antibody was developed against Recombinant Protein corresponding to amino acids: SEVQEVENLLNSFKIKLAAALARCRIKHDALSIYHILPETVRKQELRASTLPLYAWINTCKISPEEVYNNLKRRGYNKVKSVLHIDDKVFAVDQHCYDVLIFPSHLKNDLINIDLFKDYKLIFQDKSRSLA

Reactivity Notes

Immunogen displays the following percentage of sequence identity for non-tested species: Mouse (83%), Rat (80%)

Clonality

Polyclonal

Host

Rabbit

Isotype

IgG

Description

Novus Biologicals Rabbit NSUN7 Antibody - BSA Free (NBP1-94011) is a polyclonal antibody validated for use in IHC and ICC/IF. All Novus Biologicals antibodies are covered by our 100% guarantee.

Scientific Data Images for NSUN7 Antibody - BSA Free

Immunocytochemistry/ Immunofluorescence: NSUN7 Antibody [NBP1-94011]

Immunocytochemistry/ Immunofluorescence: NSUN7 Antibody [NBP1-94011]

Immunocytochemistry/Immunofluorescence: NSUN7 Antibody [NBP1-94011] - Immunofluorescent staining of human cell line U-2 OS shows localization to vesicles.
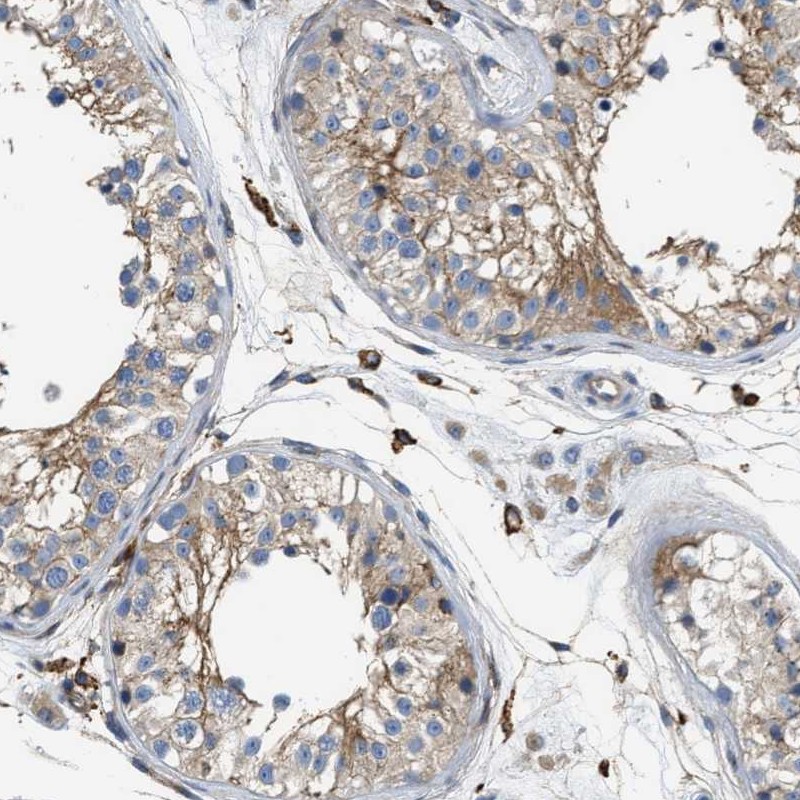
NSUN7 Antibody - BSA Free Immunohistochemistry: NSUN7 Antibody - BSA Free [NBP1-94011]

Immunohistochemistry: NSUN7 Antibody - BSA Free [NBP1-94011]

Staining of human testis shows moderate cytoplasmic positivity in cells in seminiferous ducts and Leydig cells.

Applications for NSUN7 Antibody - BSA Free

Application
Recommended Usage

Immunocytochemistry/ Immunofluorescence

0.25-2 ug/ml

Immunohistochemistry

1:20 - 1:50

Immunohistochemistry-Paraffin

1:20 - 1:50
Application Notes
For IHC-Paraffin, HIER pH 6 retrieval is recommended. ICC/IF, Fixation Permeabilization: Use PFA/Triton X-100.

Formulation, Preparation, and Storage

Purification

Affinity purified

Formulation

PBS (pH 7.2) and 40% Glycerol

Format

BSA Free

Preservative

0.02% Sodium Azide

Concentration

Concentrations vary lot to lot. See vial label for concentration. If unlisted please contact technical services.

Shipping

The product is shipped with polar packs. Upon receipt, store it immediately at the temperature recommended below.

Stability & Storage

Store at 4C short term. Aliquot and store at -20C long term. Avoid freeze-thaw cycles.

Background: NSUN7

Alternate Names

FLJ14001, NOL1/NOP2/Sun domain family member 7, NOL1/NOP2/Sun domain family, member 7, NOP2/Sun domain family, member 7, putative methyltransferase NSUN7

Gene Symbol

NSUN7

Additional NSUN7 Products

Product Documents for NSUN7 Antibody - BSA Free

Certificate of Analysis

To download a Certificate of Analysis, please enter a lot number in the search box below.

Product Specific Notices for NSUN7 Antibody - BSA Free

This product is for research use only and is not approved for use in humans or in clinical diagnosis. Primary Antibodies are guaranteed for 1 year from date of receipt.

Loading...
Loading...
Loading...
Loading...