NSP 5 alpha 3 alpha Antibody - BSA Free
Novus Biologicals, part of Bio-Techne | Catalog # NBP1-85353
Key Product Details
Validated by
Independent Antibodies
Species Reactivity
Human, Mouse
Applications
Immunohistochemistry, Immunohistochemistry-Paraffin, Western Blot
Label
Unconjugated
Antibody Source
Polyclonal Rabbit IgG
Format
BSA Free
Concentration
Concentrations vary lot to lot. See vial label for concentration. If unlisted please contact technical services.
Product Specifications
Immunogen
This antibody was developed against Recombinant Protein corresponding to amino acids: DTEPMIRALEEKNKNFQKELSDLEEENRVLKEKLIYLEHSPNSEGAASHTGDSSCPTSITQESSFGSPTGNQMSSD
Reactivity Notes
Immunogen displays the following percentage of sequence identity for non-tested species: Rat (84%)
Clonality
Polyclonal
Host
Rabbit
Isotype
IgG
Scientific Data Images for NSP 5 alpha 3 alpha Antibody - BSA Free
Western Blot: NSP 5 alpha 3 alpha Antibody [NBP1-85353]
Western Blot: NSP 5 alpha 3 alpha Antibody [NBP1-85353] - Analysis in human cell line EFO-21.Immunohistochemistry-Paraffin: NSP 5 alpha 3 alpha Antibody [NBP1-85353]
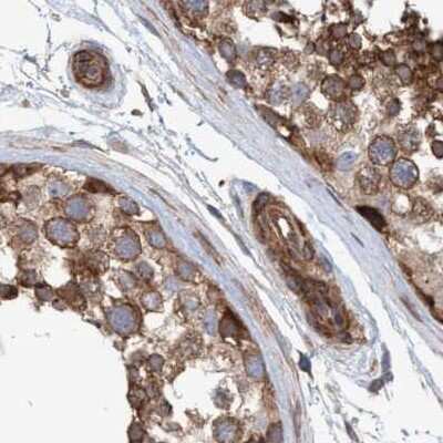
Immunohistochemistry-Paraffin: NSP 5 alpha 3 alpha Antibody [NBP1-85353] - Staining of human endometrium.Western Blot: NSP 5 alpha 3 alpha Antibody [NBP1-85353]
Western Blot: NSP 5 alpha 3 alpha Antibody [NBP1-85353] - Lane 1: NIH-3T3 cell lysate (Mouse embryonic fibroblast cells). Lane 2: NBT-II cell lysate (Rat Wistar bladder tumor cells).Applications for NSP 5 alpha 3 alpha Antibody - BSA Free
Application
Recommended Usage
Immunohistochemistry
1:200 - 1:500
Immunohistochemistry-Paraffin
1:200-1:500
Western Blot
0.04 - 0.4 ug/ml
Application Notes
For IHC-Paraffin, HIER pH 6 retrieval is recommended.
Formulation, Preparation, and Storage
Purification
Affinity purified
Formulation
PBS (pH 7.2) and 40% Glycerol
Format
BSA Free
Preservative
0.02% Sodium Azide
Concentration
Concentrations vary lot to lot. See vial label for concentration. If unlisted please contact technical services.
Shipping
The product is shipped with polar packs. Upon receipt, store it immediately at the temperature recommended below.
Stability & Storage
Store at 4C short term. Aliquot and store at -20C long term. Avoid freeze-thaw cycles.
Background: NSP 5 alpha 3 alpha
Alternate Names
cytospin-B, CYTSBcytospin B, FLJ36955, HCMOGT-1, NSP, NSP5, Nuclear structure protein 5, sperm antigen HCMOGT 1, Sperm antigen HCMOGT-1, sperm antigen with calponin homology and coiled coil domains 1, sperm antigen with calponin homology and coiled-coil domains 1cytokinesis and spindle organization B, sperm antigen with calponin-like and coiled coil domains 1, structure protein NSP5a3a, structure protein NSP5a3b, structure protein NSP5b3a, structure protein NSP5b3b
Gene Symbol
SPECC1
Additional NSP 5 alpha 3 alpha Products
Product Documents for NSP 5 alpha 3 alpha Antibody - BSA Free
Product Specific Notices for NSP 5 alpha 3 alpha Antibody - BSA Free
This product is for research use only and is not approved for use in humans or in clinical diagnosis. Primary Antibodies are guaranteed for 1 year from date of receipt.
Loading...
Loading...
Loading...
Loading...