Skip to main content

NSMAF Antibody - BSA Free

Novus Biologicals, part of Bio-Techne | Catalog # NBP1-84736

Novus Biologicals, part of Bio-Techne
Catalog #
Availability
Size / Price
Qty
Loading...
NBP1-84736
NBP1-84736-25ul

Key Product Details

Species Reactivity

Validated:

Human

Predicted:

Mouse (93%), Rat (91%). Backed by our 100% Guarantee.

Applications

Immunohistochemistry, Immunohistochemistry-Paraffin, Western Blot

Label

Unconjugated

Antibody Source

Polyclonal Rabbit IgG

Format

BSA Free

Concentration

Concentrations vary lot to lot. See vial label for concentration. If unlisted please contact technical services.

Product Specifications

Immunogen

This antibody was developed against Recombinant Protein corresponding to amino acids: FELDVPGKVEDVVETLLQLHRASCLDKLGDQTAMITAILQSRLARTSFDKNRFQNISEKLHMECKAE

Clonality

Polyclonal

Host

Rabbit

Isotype

IgG

Scientific Data Images for NSMAF Antibody - BSA Free

Immunohistochemistry-Paraffin: NSMAF Antibody [NBP1-84736]

Immunohistochemistry-Paraffin: NSMAF Antibody [NBP1-84736]

Immunohistochemistry-Paraffin: NSMAF Antibody [NBP1-84736] - Staining of human tonsil shows moderate cytoplasmic positivity in both in germinal and non-germinal center cells.
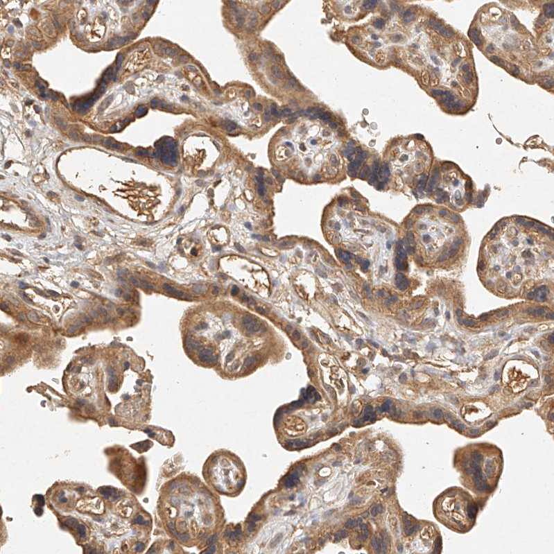
NSMAF Antibody - BSA Free Immunohistochemistry-Paraffin: NSMAF Antibody - BSA Free [NBP1-84736]

Immunohistochemistry-Paraffin: NSMAF Antibody - BSA Free [NBP1-84736]

Staining of human placenta shows moderate cytoplasmic positivity in trophoblastic cells.
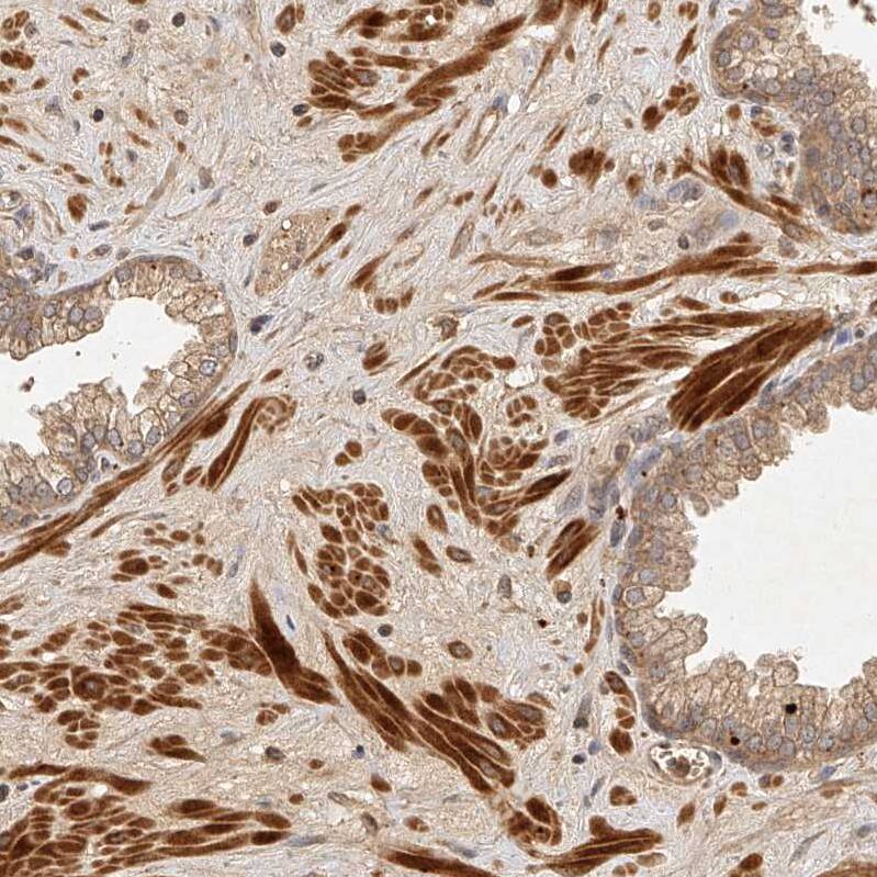
NSMAF Antibody - BSA Free Immunohistochemistry-Paraffin: NSMAF Antibody - BSA Free [NBP1-84736]

Immunohistochemistry-Paraffin: NSMAF Antibody - BSA Free [NBP1-84736]

Staining of human prostate shows strong cytoplasmic positivity in smooth muscle cells.

Applications for NSMAF Antibody - BSA Free

Application
Recommended Usage

Immunohistochemistry

1:20 - 1:50

Immunohistochemistry-Paraffin

1:20 - 1:50

Western Blot

1:100 - 1:250
Application Notes
For IHC-Paraffin, HIER pH 6 retrieval is recommended.

Formulation, Preparation, and Storage

Purification

Affinity purified

Formulation

PBS (pH 7.2) and 40% Glycerol

Format

BSA Free

Preservative

0.02% Sodium Azide

Concentration

Concentrations vary lot to lot. See vial label for concentration. If unlisted please contact technical services.

Shipping

The product is shipped with polar packs. Upon receipt, store it immediately at the temperature recommended below.

Stability & Storage

Store at 4C short term. Aliquot and store at -20C long term. Avoid freeze-thaw cycles.

Background: NSMAF

Cellular responses to tumor necrosis factor (TNF; MIM 191160) are initiated by the interaction of TNF with 2 distinct cell surface receptors that transmit signals to the cytoplasm and nucleus, leading to profound alterations in transcriptional programs. The initiation of intracellular signaling events through 1 of these receptors, the 55-kD tumor necrosis factor receptor-1 (TNFR1; MIM 191190), appears to depend on protein intermediates that interact with specific cytoplasmic domains of TNFR1 (Adam-Klages et al., 1996 [PubMed 8808629]).[supplied by OMIM]

Alternate Names

Factor associated with neutral sphingomyelinase activation, FANFactor associated with N-SMase activation, neutral sphingomyelinase (N-SMase) activation associated factor, protein FAN

Gene Symbol

NSMAF

Additional NSMAF Products

Product Documents for NSMAF Antibody - BSA Free

Certificate of Analysis

To download a Certificate of Analysis, please enter a lot number in the search box below.

Product Specific Notices for NSMAF Antibody - BSA Free

This product is for research use only and is not approved for use in humans or in clinical diagnosis. Primary Antibodies are guaranteed for 1 year from date of receipt.

Loading...
Loading...
Loading...
Loading...