NRK Antibody - BSA Free
Novus Biologicals, part of Bio-Techne | Catalog # NBP1-84121
Key Product Details
Species Reactivity
Human
Applications
Immunohistochemistry, Immunohistochemistry-Paraffin
Label
Unconjugated
Antibody Source
Polyclonal Rabbit IgG
Format
BSA Free
Concentration
Concentrations vary lot to lot. See vial label for concentration. If unlisted please contact technical services.
Product Specifications
Immunogen
This antibody was developed against Recombinant Protein corresponding to amino acids: GRRSQSSPPYSTIDQKLLVDIHVPDGFKVGKISPPVYLTNEWVGYNALSEIFRNDWLTPAPVIQPPEEDGDYVELYDASADTDGDDDDESNDTFEDTYDHANGNDDLDNQVDQANDVCKD
Reactivity Notes
Reactivity reported in scientific literature (PMID: 23435261)
Clonality
Polyclonal
Host
Rabbit
Isotype
IgG
Scientific Data Images for NRK Antibody - BSA Free
Immunohistochemistry-Paraffin: NRK Antibody - BSA Free [NBP1-84121]
Staining of human placenta shows strong cytoplasmic positivity in trophoblastic cells.Immunohistochemistry-Paraffin: NRK Antibody - BSA Free [NBP1-84121]
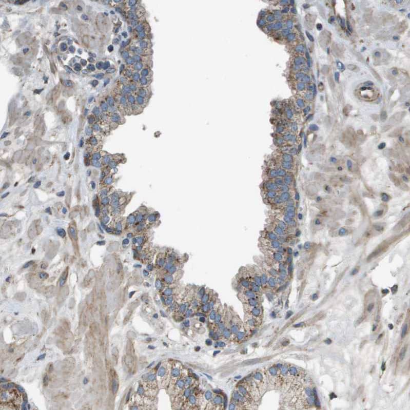
Staining of human prostate shows moderate granular cytoplasmic positivity in glandular cells).Immunohistochemistry-Paraffin: NRK Antibody - BSA Free [NBP1-84121]
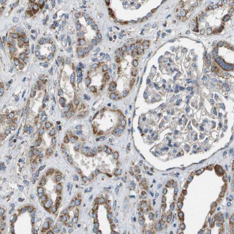
Staining of human kidney shows moderate granular cytoplasmic positivity in cells) in tubules.Applications for NRK Antibody - BSA Free
Application
Recommended Usage
Immunohistochemistry
1:200 - 1:500
Immunohistochemistry-Paraffin
1:200 - 1:500
Application Notes
For IHC-Paraffin, HIER pH 6 retrieval is recommended.
Formulation, Preparation, and Storage
Purification
Affinity purified
Formulation
PBS (pH 7.2) and 40% Glycerol
Format
BSA Free
Preservative
0.02% Sodium Azide
Concentration
Concentrations vary lot to lot. See vial label for concentration. If unlisted please contact technical services.
Shipping
The product is shipped with polar packs. Upon receipt, store it immediately at the temperature recommended below.
Stability & Storage
Store at 4C short term. Aliquot and store at -20C long term. Avoid freeze-thaw cycles.
Background: NRK
Alternate Names
DKFZp686A17109, EC 2.7.11, EC 2.7.11.1, FLJ16788, MGC131849, NESK, Nik related kinase, nik-related protein kinase
Gene Symbol
NRK
Additional NRK Products
Product Documents for NRK Antibody - BSA Free
Product Specific Notices for NRK Antibody - BSA Free
This product is for research use only and is not approved for use in humans or in clinical diagnosis. Primary Antibodies are guaranteed for 1 year from date of receipt.
Loading...
Loading...
Loading...
Loading...