Skip to main content

Nrf2 [p Ser40] Antibody (SU0334)

Novus Biologicals, part of Bio-Techne | Catalog # NBP2-67465

Recombinant Monoclonal Antibody.
Novus Biologicals, part of Bio-Techne
Catalog #
Availability
Size / Price
Qty
Loading...
NBP2-67465

Key Product Details

Validated by

Biological Validation

Species Reactivity

Validated:

Human, Mouse, Rat

Cited:

Human

Applications

Validated:

Immunohistochemistry, Immunohistochemistry-Paraffin, Western Blot, Flow Cytometry

Cited:

Western Blot

Label

Unconjugated

Antibody Source

Recombinant Monoclonal Rabbit IgG Clone # SU0334 expressed in HEK293

Concentration

1 mg/ml

Product Specifications

Immunogen

Synthetic phospho-peptide corresponding to residues surrounding Ser40 of Human Nrf2 aa 20-69 / 605. (SwissProt: Q16236 Human)

Modification

p Ser40

Localization

Cytoplasm, Nucleus.

Clonality

Monoclonal

Host

Rabbit

Isotype

IgG

Description

Novus Biologicals Rabbit Nrf2 [p Ser40] Antibody (SU0334) (NBP2-67465) is a recombinant monoclonal antibody validated for use in IHC, WB and Flow. Anti-Nrf2 Antibody: Cited in 3 publications. All Novus Biologicals antibodies are covered by our 100% guarantee.

Scientific Data Images for Nrf2 [p Ser40] Antibody (SU0334)

Western Blot: Nrf2 [p Ser40] Antibody (SU0334) [NBP2-67465] - Western blot analysis of Nrf2 on different lysates. Proteins were transferred to a PVDF membrane and blocked with 5% BSA in PBS for 1 hour at room temperature. The primary antibody (1/500) was used in 5% BSA at room temperature for 2 hours. Goat Anti-Rabb
Nrf2 [p Ser40] Antibody (SU0334)

Flow Cytometry: Nrf2 [p Ser40] Antibody (SU0334) [NBP2-67465] -

Flow Cytometry: Nrf2 [p Ser40] Antibody (SU0334) [NBP2-67465] -Analysis of RIP3 was done on SW620 cells. The cells were fixed, permeabilized and stained with the primary antibody (1/50) (red). After incubation of the primary antibody at room temperature for an hour, the cells were stained with a Alexa Fluor 488-conjugated Goat anti-Rabbit IgG Secondary antibody at 1/1000 dilution for 30 minutes.Unlabelled sample was used as a control (cells without incubation with primary antibody; black).
Nrf2 [p Ser40] Antibody (SU0334)

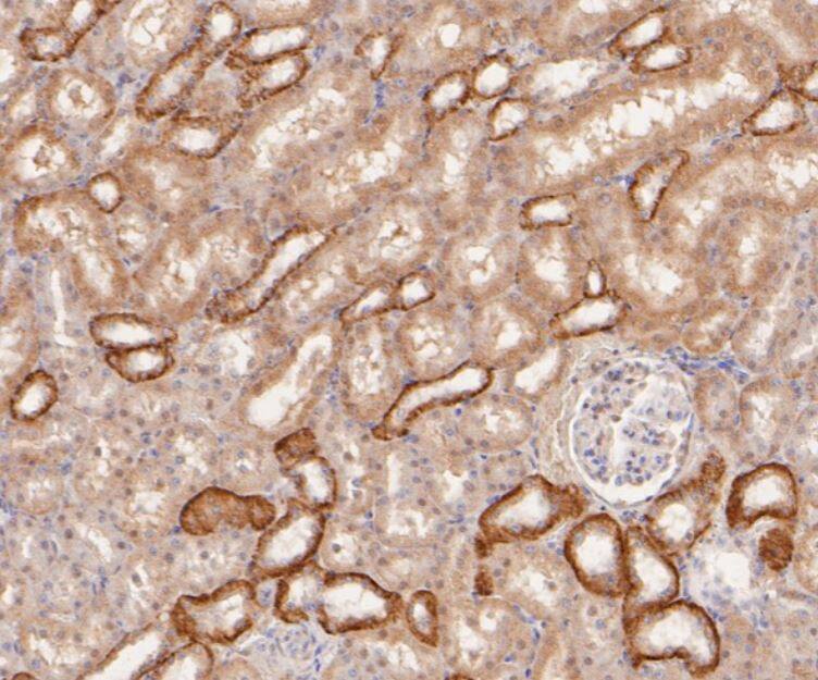
Immunohistochemistry-Paraffin: Nrf2 [p Ser40] Antibody (SU0334) [NBP2-67465] -

Immunohistochemistry-Paraffin: Nrf2 [p Ser40] Antibody (SU0334) [NBP2-67465] -Rat kidney tissue using anti-RIP3 antibody. The section was pre-treated using heat mediated antigen retrieval with Tris-EDTA buffer (pH 8.0-8.4) for 20 minutes.The tissues were blocked in 5% BSA for 30 minutes at room temperature, washed with ddH2O and PBS, and then probed with the primary antibody (1/50) for 30 minutes at room temperature. The detection was performed using an HRP conjugated compact polymer system. DAB was used as the chromogen. Tissues were counterstained with hematoxylin and mounted with DPX.

Applications for Nrf2 [p Ser40] Antibody (SU0334)

Application
Recommended Usage

Flow Cytometry

1:50-1:100

Immunohistochemistry-Paraffin

1:50-1:200

Western Blot

1:500-1:2,000

Formulation, Preparation, and Storage

Purification

Protein A purified

Formulation

TBS (pH7.4), 0.05% BSA, 40% Glycerol

Preservative

0.05% Sodium Azide

Concentration

1 mg/ml

Shipping

The product is shipped with polar packs. Upon receipt, store it immediately at the temperature recommended below.

Stability & Storage

Store at 4C short term. Aliquot and store at -20C long term. Avoid freeze-thaw cycles.

Background: Nrf2

Nrf2 is a transcription factor which belongs to the Cap N Collar (CNC-bZIP) subfamily with an implication in adaptive responses to oxidative stress. Nrf2 is a basic leucine zipper transcription factor that can bind to a NF-E2/AP-1 repeat sequence in the promoter of the beta-globin gene and has two types of binding partners, a cytoplasmic repressor (Keap I) and multiple nuclear binding partners. During oxidative stress on a cell, Nrf2 is released from Keap I, possibly via PKC phosphorylation at serine 40, and translocates to the nucleus. In the nucleus, Nrf2 binds to antioxidant responsive element (ARE) and leads to transcriptional activation of downstream genes for GSTs, glutamate-cysteine ligase, HO-1, and thioredoxin. Nrf2 and its downstream proteins have shown to have important functions in protection against oxidative stress or chemical-induced cellular damage in liver and lung, prevention in cancer formation in GI tract, and promotion of the wound-healing process.

Long Name

NF-E2-related Factor 2

Alternate Names

NFE2L2

Gene Symbol

NFE2L2

Additional Nrf2 Products

Product Documents for Nrf2 [p Ser40] Antibody (SU0334)

Certificate of Analysis

To download a Certificate of Analysis, please enter a lot number in the search box below.

Product Specific Notices for Nrf2 [p Ser40] Antibody (SU0334)

This product is for research use only and is not approved for use in humans or in clinical diagnosis. Primary Antibodies are guaranteed for 1 year from date of receipt.

Loading...
Loading...
Loading...
Loading...
Loading...