Skip to main content

Nrf2 Antibody (HL1021) - Azide and BSA Free

Novus Biologicals, part of Bio-Techne | Catalog # NBP3-13682

Recombinant Monoclonal Antibody
Novus Biologicals, part of Bio-Techne
Catalog #
Availability
Size / Price
Qty
Loading...
NBP3-13682

Key Product Details

Validated by

Independent Antibodies, Biological Validation

Species Reactivity

Human, Mouse, Rat

Applications

Immunohistochemistry, Immunohistochemistry-Paraffin, Western Blot, Immunocytochemistry/ Immunofluorescence, Proximity Ligation Assay

Label

Unconjugated

Antibody Source

Recombinant Monoclonal Rabbit IgG Clone # HL1021 expressed in HEK293

Format

Azide and BSA Free

Concentration

Concentrations vary lot to lot. See vial label for concentration. If unlisted please contact technical services.

Product Specifications

Immunogen

Recombinant protein encompassing a sequence within the center region of human Nrf2. The exact sequence is proprietary.

Clonality

Monoclonal

Host

Rabbit

Isotype

IgG

Theoretical MW

68 kDa.
Disclaimer note: The observed molecular weight of the protein may vary from the listed predicted molecular weight due to post translational modifications, post translation cleavages, relative charges, and other experimental factors.

Description

Centrifuge briefly prior to opening.

Scientific Data Images for Nrf2 Antibody (HL1021) - Azide and BSA Free

Western Blot: Nrf2 Antibody (HL1021) [NBP3-13682]

Western Blot: Nrf2 Antibody (HL1021) [NBP3-13682]

Western Blot: Nrf2 Antibody (HL1021) [NBP3-13682] - Untreated (-) and treated (+) Neuro2A whole cell extracts (30 ug) were separated by 5% SDS-PAGE, and the membranes were blotted with Nrf2 antibody [HL1021] (NBP3-13682) diluted at 1:1000 and competitor's antibody (# Highly Cited Antibody) diluted at 1:1000. The HRP-conjugated anti-rabbit IgG antibody (NBP2-19301) was used to detect the primary antibody, and the signal was developed with Trident ECL plus-Enhanced.
Immunocytochemistry/ Immunofluorescence: Nrf2 Antibody (HL1021) [NBP3-13682]

Immunocytochemistry/ Immunofluorescence: Nrf2 Antibody (HL1021) [NBP3-13682]

Immunocytochemistry/Immunofluorescence: Nrf2 Antibody (HL1021) [NBP3-13682] - Nrf2 antibody [HL1021] detects Nrf2 protein at nucleus by immunofluorescent analysis. Sample: Mock and treated HeLa cells were fixed in 4% paraformaldehyde at RT for 15 min. Green: Nrf2 stained by Nrf2 antibody [HL1021] (NBP3-13682) diluted at 1:500. Blue: Fluoroshield with DAPI.
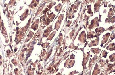
Immunohistochemistry-Paraffin: Nrf2 Antibody (HL1021) [NBP3-13682]

Immunohistochemistry-Paraffin: Nrf2 Antibody (HL1021) [NBP3-13682]

Immunohistochemistry-Paraffin: Nrf2 Antibody (HL1021) [NBP3-13682] - Human breast carcinoma. Nrf2 stained by Nrf2 antibody [HL1021] (NBP3-13682) diluted at 1:100. Antigen Retrieval: Citrate buffer, pH 6.0, 15 min

Applications for Nrf2 Antibody (HL1021) - Azide and BSA Free

Application
Recommended Usage

Immunocytochemistry/ Immunofluorescence

Assay dependent

Immunohistochemistry

Assay dependent

Immunohistochemistry-Paraffin

Assay dependent

Proximity Ligation Assay

Assay dependent

Western Blot

1:500-1:3000

Formulation, Preparation, and Storage

Purification

Protein A purified

Formulation

PBS

Format

Azide and BSA Free

Preservative

No Preservative

Concentration

Concentrations vary lot to lot. See vial label for concentration. If unlisted please contact technical services.

Shipping

The product is shipped with polar packs. Upon receipt, store it immediately at the temperature recommended below.

Stability & Storage

Store at 4C short term. Aliquot and store at -20C long term. Avoid freeze-thaw cycles.

Background: Nrf2

Nrf2 is a transcription factor which belongs to the Cap N Collar (CNC-bZIP) subfamily with an implication in adaptive responses to oxidative stress. Nrf2 is a basic leucine zipper transcription factor that can bind to a NF-E2/AP-1 repeat sequence in the promoter of the beta-globin gene and has two types of binding partners, a cytoplasmic repressor (Keap I) and multiple nuclear binding partners. During oxidative stress on a cell, Nrf2 is released from Keap I, possibly via PKC phosphorylation at serine 40, and translocates to the nucleus. In the nucleus, Nrf2 binds to antioxidant responsive element (ARE) and leads to transcriptional activation of downstream genes for GSTs, glutamate-cysteine ligase, HO-1, and thioredoxin. Nrf2 and its downstream proteins have shown to have important functions in protection against oxidative stress or chemical-induced cellular damage in liver and lung, prevention in cancer formation in GI tract, and promotion of the wound-healing process.

Long Name

NF-E2-related Factor 2

Alternate Names

NFE2L2

Gene Symbol

NFE2L2

Additional Nrf2 Products

Product Documents for Nrf2 Antibody (HL1021) - Azide and BSA Free

Certificate of Analysis

To download a Certificate of Analysis, please enter a lot number in the search box below.

Product Specific Notices for Nrf2 Antibody (HL1021) - Azide and BSA Free

This product is for research use only and is not approved for use in humans or in clinical diagnosis. Primary Antibodies are guaranteed for 1 year from date of receipt.

Loading...
Loading...
Loading...
Loading...