Skip to main content

NRAMP2/SLC11A2/DMT1 Antibody - BSA Free

Novus Biologicals, part of Bio-Techne | Catalog # NBP3-35108

Novus Biologicals, part of Bio-Techne
Catalog #
Availability
Size / Price
Qty
Loading...
NBP3-35108-100ul
NBP3-35108-20ul

Key Product Details

Species Reactivity

Human, Mouse, Rat

Applications

Immunohistochemistry, Immunohistochemistry-Paraffin, Western Blot, ELISA

Label

Unconjugated

Antibody Source

Polyclonal Rabbit IgG

Format

BSA Free

Concentration

Please see the vial label for concentration. If unlisted please contact technical services.

Product Specifications

Immunogen

Recombinant fusion protein containing a sequence corresponding to amino acids 1-63 of human NRAMP2/SLC11A2/DMT1 (NP_001167597.1).

Sequence:
MVLGPEQKMSDDSVSGDHGESASLGNINPAYSNPSLSQSPGDSEEYFATYFNEKISIPEEEYS

Clonality

Polyclonal

Host

Rabbit

Isotype

IgG

Theoretical MW

62 kDa.
Disclaimer note: The observed molecular weight of the protein may vary from the listed predicted molecular weight due to post translational modifications, post translation cleavages, relative charges, and other experimental factors.

Description

Novus Biologicals Rabbit NRAMP2/SLC11A2/DMT1 Antibody - BSA Free (NBP3-35108) is a polyclonal antibody validated for use in IHC, WB and ELISA. All Novus Biologicals antibodies are covered by our 100% guarantee.

Scientific Data Images for NRAMP2/SLC11A2/DMT1 Antibody - BSA Free

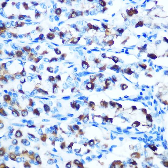
NRAMP2/SLC11A2/DMT1 Antibody

Immunohistochemistry: NRAMP2/SLC11A2/DMT1 Antibody [NBP3-35108] -

Immunohistochemistry: NRAMP2/SLC11A2/DMT1 Antibody [NBP3-35108] - Immunohistochemistry analysis of paraffin-embedded Mouse stomach using NRAMP2/SLC11A2/DMT1 Rabbit pAb at dilution of 1:100 (40x lens). Microwave antigen retrieval performed with 0.01M Tris/EDTA Buffer (pH 9.0) prior to IHC staining.
NRAMP2/SLC11A2/DMT1 Antibody

Western Blot: NRAMP2/SLC11A2/DMT1 Antibody [NBP3-35108] -

Western Blot: NRAMP2/SLC11A2/DMT1 Antibody [NBP3-35108] - Western blot analysis of various lysates using NRAMP2/SLC11A2/DMT1 Rabbit pAb at 1:1000 dilution.
Secondary antibody: HRP-conjugated Goat anti-Rabbit IgG (H+L) at 1:10000 dilution.
Lysates/proteins: 25ug per lane.
Blocking buffer: 3% nonfat dry milk in TBST.
Detection: ECL Basic Kit.
Exposure time: 180s.
NRAMP2/SLC11A2/DMT1 Antibody

Immunohistochemistry: NRAMP2/SLC11A2/DMT1 Antibody [NBP3-35108] -

Immunohistochemistry: NRAMP2/SLC11A2/DMT1 Antibody [NBP3-35108] - Immunohistochemistry analysis of paraffin-embedded Rat stomach using NRAMP2/SLC11A2/DMT1 Rabbit pAb at dilution of 1:100 (40x lens). Microwave antigen retrieval performed with 0.01M Tris/EDTA Buffer (pH 9.0) prior to IHC staining.

Applications for NRAMP2/SLC11A2/DMT1 Antibody - BSA Free

Application
Recommended Usage

ELISA

Recommended starting concentration is 1 μg/mL.

Immunohistochemistry-Paraffin

1:50 - 1:200

Western Blot

1:1000 - 1:2000

Formulation, Preparation, and Storage

Purification

Affinity purified

Formulation

PBS (pH 7.3), 50% glycerol

Format

BSA Free

Preservative

0.09% Sodium Azide

Concentration

Please see the vial label for concentration. If unlisted please contact technical services.

Shipping

The product is shipped with polar packs. Upon receipt, store it immediately at the temperature recommended below.

Stability & Storage

Store at -20C. Avoid freeze-thaw cycles.

Background: NRAMP2/SLC11A2

The SLC11A2 gene encodes a divalent metal transporter (DMT1), which carries iron, manganese, cobalt, nickel, cadmium, lead, copper, and zinc. DMT1 participates in cellular iron absorption at the luminal surface of the duodenum as well as in other areas of the body (Hubert and Hentze, 2002 [PubMed 12209011]; Ludwiczek et al., 2007 [PubMed 17293870]).[supplied by OMIM]

Long Name

Natural Resistance-associated Macrophage Protein 2

Alternate Names

DCT1, SLC11A2

Gene Symbol

SLC11A2

Additional NRAMP2/SLC11A2 Products

Product Documents for NRAMP2/SLC11A2/DMT1 Antibody - BSA Free

Certificate of Analysis

To download a Certificate of Analysis, please enter a lot number in the search box below.

Product Specific Notices for NRAMP2/SLC11A2/DMT1 Antibody - BSA Free

This product is for research use only and is not approved for use in humans or in clinical diagnosis. Primary Antibodies are guaranteed for 1 year from date of receipt.

Loading...
Loading...
Loading...
Loading...
Loading...