NRAMP1/SLC11A1 Antibody - BSA Free
Novus Biologicals, part of Bio-Techne | Catalog # NBP1-87809
Key Product Details
Species Reactivity
Human
Applications
Immunohistochemistry, Immunohistochemistry-Paraffin
Label
Unconjugated
Antibody Source
Polyclonal Rabbit IgG
Format
BSA Free
Concentration
Concentrations vary lot to lot. See vial label for concentration. If unlisted please contact technical services.
Product Specifications
Immunogen
This antibody was developed against Recombinant Protein corresponding to amino acids: TSPGPQQAPPRETYLSEKIPIPDTKPGTFSLR
Clonality
Polyclonal
Host
Rabbit
Isotype
IgG
Scientific Data Images for NRAMP1/SLC11A1 Antibody - BSA Free
Immunohistochemistry-Paraffin: NRAMP1/SLC11A1 Antibody [NBP1-87809]
Immunohistochemistry-Paraffin: NRAMP1/SLC11A1 Antibody [NBP1-87809] - Staining of human pancreas shows no positivity in exocrine glandular cells as expected.Immunohistochemistry-Paraffin: NRAMP1/SLC11A1 Antibody [NBP1-87809]
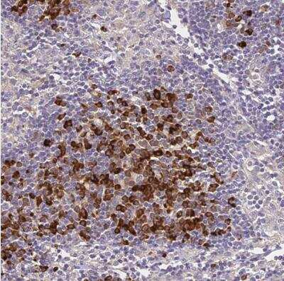
Immunohistochemistry-Paraffin: NRAMP1/SLC11A1 Antibody [NBP1-87809] - Staining of human lymph node shows strong cytoplasmic positivity in non-germinal center cells.Immunohistochemistry-Paraffin: NRAMP1/SLC11A1 Antibody [NBP1-87809]
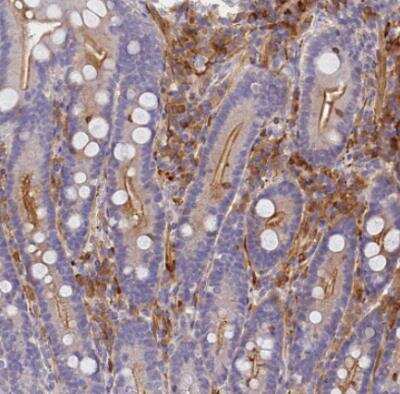
Immunohistochemistry-Paraffin: NRAMP1/SLC11A1 Antibody [NBP1-87809] - Staining of human duodenum shows moderate memberanous and cytoplasmic positivity in lymphoid cells.Applications for NRAMP1/SLC11A1 Antibody - BSA Free
Application
Recommended Usage
Immunohistochemistry
1:50 - 1:200
Immunohistochemistry-Paraffin
1:50 - 1:200
Application Notes
For IHC-Paraffin, HIER pH 6 retrieval is recommended.
Formulation, Preparation, and Storage
Purification
Affinity purified
Formulation
PBS (pH 7.2) and 40% Glycerol
Format
BSA Free
Preservative
0.02% Sodium Azide
Concentration
Concentrations vary lot to lot. See vial label for concentration. If unlisted please contact technical services.
Shipping
The product is shipped with polar packs. Upon receipt, store it immediately at the temperature recommended below.
Stability & Storage
Store at 4C short term. Aliquot and store at -20C long term. Avoid freeze-thaw cycles.
Background: NRAMP1/SLC11A1
Long Name
Natural Resistance-associated Macrophage Protein 1
Alternate Names
LSH, SLC11A1
Gene Symbol
SLC11A1
Additional NRAMP1/SLC11A1 Products
Product Documents for NRAMP1/SLC11A1 Antibody - BSA Free
Product Specific Notices for NRAMP1/SLC11A1 Antibody - BSA Free
This product is for research use only and is not approved for use in humans or in clinical diagnosis. Primary Antibodies are guaranteed for 1 year from date of receipt.
Loading...
Loading...
Loading...
Loading...