Skip to main content

NQO-1 Antibody - BSA Free

Novus Biologicals, part of Bio-Techne | Catalog # NBP1-31355

Novus Biologicals, part of Bio-Techne
Catalog #
Availability
Size / Price
Qty
Loading...
NBP1-31355

Key Product Details

Validated by

Knockout/Knockdown

Species Reactivity

Validated:

Human, Mouse, Rat, Monkey

Cited:

Human

Applications

Validated:

Immunohistochemistry, Immunohistochemistry-Paraffin, Western Blot, Immunocytochemistry/ Immunofluorescence, Knockdown Validated

Cited:

Immunohistochemistry-Paraffin, Immunocytochemistry/ Immunofluorescence

Label

Unconjugated

Antibody Source

Polyclonal Rabbit IgG

Format

BSA Free

Concentration

Concentrations vary lot to lot. See vial label for concentration. If unlisted please contact technical services.

Product Specifications

Immunogen

Carrier-protein conjugated synthetic peptide encompassing a sequence within the C-terminus region of human NQO-1. The exact sequence is proprietary.

Localization

Cytoplasm

Clonality

Polyclonal

Host

Rabbit

Isotype

IgG

Theoretical MW

31 kDa.
Disclaimer note: The observed molecular weight of the protein may vary from the listed predicted molecular weight due to post translational modifications, post translation cleavages, relative charges, and other experimental factors.

Description

Novus Biologicals Rabbit NQO-1 Antibody - BSA Free (NBP1-31355) is a polyclonal antibody validated for use in IHC, WB and ICC/IF. Anti-NQO-1 Antibody: Cited in 2 publications. All Novus Biologicals antibodies are covered by our 100% guarantee.

Scientific Data Images for NQO-1 Antibody - BSA Free

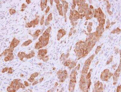
Knockdown Validated: NQO-1 Antibody [NBP1-31355]

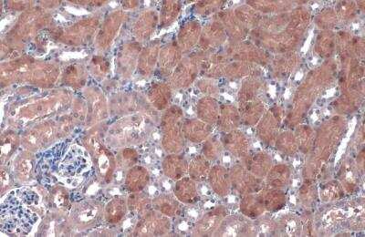
Immunohistochemistry: NQO-1 Antibody [NBP1-31355]

NQO-1-Antibody-Knockdown-Validated-NBP1-31355-img0025.jpg
Western Blot: NQO-1 Antibody [NBP1-31355]

Western Blot: NQO-1 Antibody [NBP1-31355]

Western Blot: NQO-1 Antibody [NBP1-31355] - Various whole cell extracts (30 ug) were separated by 12% SDS-PAGE, and the membrane was blotted with NQO1 antibody [C2C3], C-term diluted at 1:1000. The HRP-conjugated anti-rabbit IgG antibody (NBP2-19301) was used to detect the primary antibody.
Immunohistochemistry: NQO-1 Antibody [NBP1-31355]

Immunohistochemistry: NQO-1 Antibody [NBP1-31355]

NQO-1-Antibody-Immunohistochemistry-NBP1-31355-img0024.jpg

Applications for NQO-1 Antibody - BSA Free

Application
Recommended Usage

Immunocytochemistry/ Immunofluorescence

1:100-1:1000

Immunohistochemistry

1:100-1:1000

Immunohistochemistry-Paraffin

1:100-1:1000

Western Blot

1:500-1:3000

Formulation, Preparation, and Storage

Purification

Antigen Affinity-purified

Formulation

PBS, 20% Glycerol

Format

BSA Free

Preservative

0.025% Proclin 300

Concentration

Concentrations vary lot to lot. See vial label for concentration. If unlisted please contact technical services.

Shipping

The product is shipped with polar packs. Upon receipt, store it immediately at the temperature recommended below.

Stability & Storage

Aliquot and store at -20C or -80C. Avoid freeze-thaw cycles.

Background: NQO-1

NQO1 is a 2-electron reductase that detoxifies quinones derived from the oxidation of phenolic metabolites of benzene. Individuals homozygous for the T/T form of the 609C-T polymorphism have an increased risk of benzene hematotoxicity.

Long Name

NAD(P)H Dehydrogenase, Quinone 1

Alternate Names

Azoreductase, DHQU, DIA4, Diaphorase-4, Dioxin-inducible 1, DTD, Menadione Reductase, NMOR1, NQO1, QR1, Quinone Reductase 1

Gene Symbol

NQO1

Additional NQO-1 Products

Product Documents for NQO-1 Antibody - BSA Free

Certificate of Analysis

To download a Certificate of Analysis, please enter a lot number in the search box below.

Product Specific Notices for NQO-1 Antibody - BSA Free

This product is for research use only and is not approved for use in humans or in clinical diagnosis. Primary Antibodies are guaranteed for 1 year from date of receipt.

Loading...
Loading...
Loading...
Loading...