Skip to main content

NPM1 Antibody

Novus Biologicals, part of Bio-Techne | Catalog # NBP2-27157

Novus Biologicals, part of Bio-Techne
Catalog #
Availability
Size / Price
Qty
Loading...
NBP2-27157SS
NBP2-27157

Key Product Details

Species Reactivity

Validated:

Human

Predicted:

Mouse (100%), Rat (100%). Backed by our 100% Guarantee.

Applications

Immunohistochemistry, Immunohistochemistry-Paraffin, Western Blot

Label

Unconjugated

Antibody Source

Polyclonal Rabbit IgG

Concentration

0.5 mg/ml

Product Specifications

Immunogen

Within the range of amino acids 21-53 of human Nucleophosmin were used as the immunogen.

Clonality

Polyclonal

Host

Rabbit

Isotype

IgG

Description

Novus Biologicals Rabbit NPM1 Antibody (NBP2-27157) is a polyclonal antibody validated for use in IHC and WB. All Novus Biologicals antibodies are covered by our 100% guarantee.

Scientific Data Images for NPM1 Antibody

Western Blot: NPM1 Antibody [NBP2-27157]

Western Blot: NPM1 Antibody [NBP2-27157]

Western Blot: NPM1 Antibody [NBP2-27157] - Analysis of Nucleophosmin in human spleen tissue lysate in the 1) absence, 2) presence of immunizing peptide and 3) mouse spleen using NBP2-27204. Goat anti-rabbit Ig HRP secondary antibody and PicoTect ECL substrate solution were used for this test.
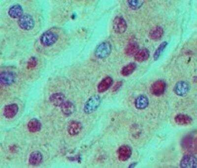
Immunohistochemistry-Paraffin: NPM1 Antibody [NBP2-27157]

Immunohistochemistry-Paraffin: NPM1 Antibody [NBP2-27157]

Immunohistochemistry-Paraffin: NPM1 Antibody [NBP2-27157] - Analysis of Nucleophosmin in formalin-fixed, paraffin-embedded human liver tissue using this antibody at 5 ug/ml.

Applications for NPM1 Antibody

Application
Recommended Usage

Immunohistochemistry-Paraffin

5ug/ml

Western Blot

2-5ug/ml~

Formulation, Preparation, and Storage

Purification

Protein A purified

Formulation

PBS and 0.05% BSA

Preservative

0.05% Sodium Azide

Concentration

0.5 mg/ml

Shipping

The product is shipped with polar packs. Upon receipt, store it immediately at the temperature recommended below.

Stability & Storage

Store at 4C short term. Aliquot and store at -20C long term. Avoid freeze-thaw cycles.

Background: NPM1

Nucleophosmin is a major nucleolar multifunctional phosphoprotein involved in diverse cellular processes such as protein chaperoning, histone assembly cell-cycle progression, apoptosis, cell differentiation, and regulation of tumor suppressors like TP53/p53 and ARF. It shuttles between the nucleus and cytoplasm during the cell cycle. Reports suggested Nucleophosmin is phosphorylated mainly at its central acidic domain by several upstream kinases and its phosphorylation appears to be involved in regulating its functions in ribosome biogenesis and centrosome duplication. It is also reported to act as sensor of cellular stress thus acting as alarmin. Recent reports suggested that hyperactive Cdk2 and Cdk4 deregulate the licensing of the centrosome duplication cycle in p53-null cells by hyperphosphorylating nucleophosmin (NPM) at Thr199.

Long Name

Nucleophosmin/Nucleolar Phosphoprotein B23

Alternate Names

B23, Nucleophosmin, Numatrin

Gene Symbol

NPM1

Additional NPM1 Products

Product Documents for NPM1 Antibody

Certificate of Analysis

To download a Certificate of Analysis, please enter a lot number in the search box below.

Product Specific Notices for NPM1 Antibody

This product is for research use only and is not approved for use in humans or in clinical diagnosis. Primary Antibodies are guaranteed for 1 year from date of receipt.

Loading...
Loading...
Loading...
Loading...