Skip to main content

NPM1 Antibody (rNPM1/8056)

Novus Biologicals, part of Bio-Techne | Catalog # NBP3-48945

Recombinant Monoclonal Antibody
Novus Biologicals, part of Bio-Techne
Catalog #
Availability
Size / Price
Qty
Loading...
NBP3-48945-100ug
NBP3-48945-20ug

Key Product Details

Species Reactivity

Human

Applications

Immunohistochemistry

Label

Unconjugated

Antibody Source

Recombinant Monoclonal Mouse IgG1 kappa Clone # rNPM1/8056 expressed in HEK293

Concentration

Please see the vial label for concentration. If unlisted please contact technical services.

Product Specifications

Immunogen

Recombinant fragment of human NPM1 protein (exact sequence is proprietary) (Uniprot: P06748)

Localization

Nucleus, Cytoplasm

Clonality

Monoclonal

Host

Mouse

Isotype

IgG1 kappa

Theoretical MW

33 kDa.
Disclaimer note: The observed molecular weight of the protein may vary from the listed predicted molecular weight due to post translational modifications, post translation cleavages, relative charges, and other experimental factors.

Description

Prepared in 10mM PBS with 0.05% BSA & 0.05% azide. Also available WITHOUT BSA & azide at 1.0mg/ml.

Antibody with azide - store at 2 to 8 C. Antibody without azide - store at -20 to -80 C. Antibody is stable for 24 months. Non-hazardous. No MSDS required.

Scientific Data Images for NPM1 Antibody (rNPM1/8056)

NPM1 Antibody (rNPM1/8056)

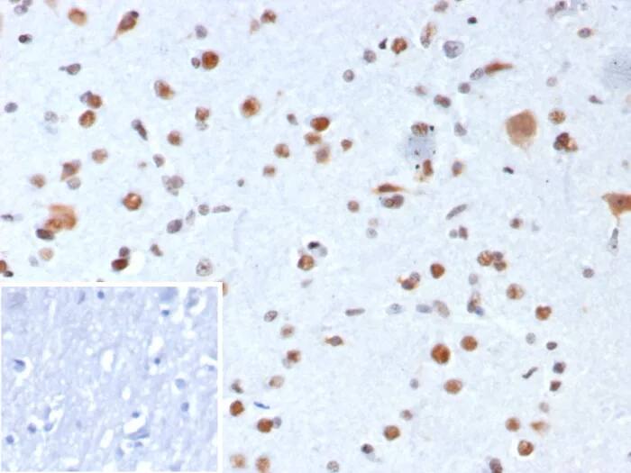
Immunohistochemistry-Paraffin: NPM1 Antibody (rNPM1/8056) [NBP3-48945] -

Formalin-fixed, paraffin-embedded human brain stained with NPM1 Antibody (rNPM1/8056). Inset: PBS instead of primary antibody; secondary only negative control.

Applications for NPM1 Antibody (rNPM1/8056)

Application
Recommended Usage

Immunohistochemistry

Optimal dilutions of this antibody should be experimentally determined.

Formulation, Preparation, and Storage

Purification

Protein A or G purified

Formulation

10 mM PBS with 0.05% BSA

Preservative

0.05% Sodium Azide

Concentration

Please see the vial label for concentration. If unlisted please contact technical services.

Shipping

The product is shipped with polar packs. Upon receipt, store it immediately at the temperature recommended below.

Stability & Storage

Store at 4C.

Background: NPM1

Nucleophosmin (NPM) is a multi-functional protein that is involved in many cellular activities including cell growth, proliferation and transformation. It is frequently overexpressed in solid tumors, and has recently been found to be mutated and aberrantly localized in the cytoplasm of leukaemic blasts in patients with acute myeloid leukemia (AML).

NMP antibodies are useful tools as tumor markers in cancer research.

Long Name

Nucleophosmin/Nucleolar Phosphoprotein B23

Alternate Names

B23, Nucleophosmin, Numatrin

Gene Symbol

NPM1

Additional NPM1 Products

Product Documents for NPM1 Antibody (rNPM1/8056)

Certificate of Analysis

To download a Certificate of Analysis, please enter a lot number in the search box below.

Product Specific Notices for NPM1 Antibody (rNPM1/8056)

This product is for research use only and is not approved for use in humans or in clinical diagnosis. Primary Antibodies are guaranteed for 1 year from date of receipt.

Loading...
Loading...
Loading...
Loading...