Skip to main content

NOV/CCN3 Antibody (HL2416) - Azide and BSA Free

Novus Biologicals, part of Bio-Techne | Catalog # NBP3-25401

Recombinant Monoclonal Antibody
Novus Biologicals, part of Bio-Techne
Catalog #
Availability
Size / Price
Qty
Loading...
NBP3-25401

Key Product Details

Species Reactivity

Human, Rat

Applications

Immunohistochemistry, Immunohistochemistry-Paraffin, Western Blot

Label

Unconjugated

Antibody Source

Recombinant Monoclonal Rabbit IgG Clone # HL2416 expressed in HEK293

Format

Azide and BSA Free

Concentration

Concentrations vary lot to lot. See vial label for concentration. If unlisted please contact technical services.

Product Specifications

Immunogen

Recombinant fragment of human NOV/CCN3

Clonality

Monoclonal

Host

Rabbit

Isotype

IgG

Theoretical MW

39 kDa.
Disclaimer note: The observed molecular weight of the protein may vary from the listed predicted molecular weight due to post translational modifications, post translation cleavages, relative charges, and other experimental factors.

Description

Novus Biologicals Rabbit NOV/CCN3 Antibody (HL2416) - Azide and BSA Free (NBP3-25401) is a recombinant monoclonal antibody validated for use in IHC and WB. All Novus Biologicals antibodies are covered by our 100% guarantee.

Scientific Data Images for NOV/CCN3 Antibody (HL2416) - Azide and BSA Free

NOV/CCN3 Antibody (HL2416) - Azide and BSA Free

Western Blot: NOV/CCN3 Antibody (HL2416) - Azide and BSA Free [NBP3-25401] -

Western Blot: NOV/CCN3 Antibody (HL2416) - Azide and BSA Free [NBP3-25401] - Non-transfected (-) and transfected (+) 293T whole cell extracts (30 ug) were separated by 10% SDS-PAGE, and the membrane was blotted with CCN3 antibody [HL2416] (NBP3-25401) diluted at 1:5000. The HRP-conjugated anti-rabbit IgG antibody was used to detect the primary antibody.
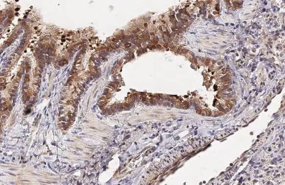
NOV/CCN3 Antibody (HL2416) - Azide and BSA Free

Immunohistochemistry-Paraffin: NOV/CCN3 Antibody (HL2416) - Azide and BSA Free [NBP3-25401] -

Immunohistochemistry-Paraffin: NOV/CCN3 Antibody (HL2416) - Azide and BSA Free [NBP3-25401] - CCN3 antibody [HL2416] detects secreted CCN3 protein by immunohistochemical analysis. Sample: Paraffin-embedded rat lung. CCN3 stained by CCN3 antibody [HL2416] (NBP3-25401) diluted at 1:100. Antigen Retrieval: Citrate buffer, pH 6.0, 15 min

Applications for NOV/CCN3 Antibody (HL2416) - Azide and BSA Free

Application
Recommended Usage

Immunohistochemistry-Paraffin

1:100-1:1000

Western Blot

1:1000-1:10000

Formulation, Preparation, and Storage

Purification

Protein A purified

Formulation

PBS

Format

Azide and BSA Free

Preservative

No Preservative

Concentration

Concentrations vary lot to lot. See vial label for concentration. If unlisted please contact technical services.

Shipping

The product is shipped with polar packs. Upon receipt, store it immediately at the temperature recommended below.

Stability & Storage

Store at 4C short term. Aliquot and store at -20C long term. Avoid freeze-thaw cycles.

Background: NOV/CCN3

CCN3 is encoded by this gene is a small secreted cysteine-rich protein and a member of the CCN family of regulatory proteins. CNN family proteins associate with the extracellular matrix and play an important role in cardiovascular and skeletal development, fibrosis and cancer development. [provided by RefSeq]

Long Name

Nephroblastoma Overexpressed Gene

Alternate Names

CCN3, IGFBP-9

Gene Symbol

CCN3

Additional NOV/CCN3 Products

Product Documents for NOV/CCN3 Antibody (HL2416) - Azide and BSA Free

Certificate of Analysis

To download a Certificate of Analysis, please enter a lot number in the search box below.

Product Specific Notices for NOV/CCN3 Antibody (HL2416) - Azide and BSA Free

This product is for research use only and is not approved for use in humans or in clinical diagnosis. Primary Antibodies are guaranteed for 1 year from date of receipt.

Loading...
Loading...
Loading...
Loading...
Loading...