Skip to main content

NONO Antibody (OTI3F8) - Azide and BSA Free

Novus Biologicals, part of Bio-Techne | Catalog # NBP2-73033

Novus Biologicals, part of Bio-Techne

Key Product Details

Species Reactivity

Human, Mouse, Rat, Canine, Monkey

Applications

Immunohistochemistry, Immunohistochemistry-Paraffin, Western Blot, Immunocytochemistry/ Immunofluorescence

Label

Unconjugated

Antibody Source

Monoclonal Mouse IgG1 Clone # OTI3F8

Format

Azide and BSA Free

Concentration

LYOPH mg/ml

Product Specifications

Immunogen

Human recombinant protein fragment corresponding to amino acids 184-385 of human NONO(NP_031389) produced in E.coli.

Reactivity Notes

Please note that this antibody is reactive to Mouse and derived from the same host, Mouse. Mouse-On-Mouse blocking reagent may be needed for IHC and ICC experiments to reduce high background signal. You can find these reagents under catalog numbers PK-2200-NB and MP-2400-NB. Please contact Technical Support if you have any questions.

Clonality

Monoclonal

Host

Mouse

Isotype

IgG1

Theoretical MW

54.1 kDa.
Disclaimer note: The observed molecular weight of the protein may vary from the listed predicted molecular weight due to post translational modifications, post translation cleavages, relative charges, and other experimental factors.

Description

Novus Biologicals Mouse NONO Antibody (OTI3F8) - Azide and BSA Free (NBP2-46194) is a monoclonal antibody validated for use in IHC, WB and ICC/IF. All Novus Biologicals antibodies are covered by our 100% guarantee.

Scientific Data Images for NONO Antibody (OTI3F8) - Azide and BSA Free

Western Blot: NONO Antibody (OTI3F8)Azide and BSA Free [NBP2-73033]

Western Blot: NONO Antibody (OTI3F8)Azide and BSA Free [NBP2-73033]

Western Blot: NONO Antibody (OTI3F8) - Azide and BSA Free [NBP2-73033] - Analysis of HEK293T cells were transfected with the pCMV6-ENTRY control (Left lane) or pCMV6-ENTRY NONO.
Immunocytochemistry/ Immunofluorescence: NONO Antibody (OTI3F8) - Azide and BSA Free [NBP2-73033]

Immunocytochemistry/ Immunofluorescence: NONO Antibody (OTI3F8) - Azide and BSA Free [NBP2-73033]

Immunocytochemistry/Immunofluorescence: NONO Antibody (OTI3F8) - Azide and BSA Free [NBP2-73033] - Analysis of COS7 cells transiently transfected by pCMV6-ENTRY NONO.
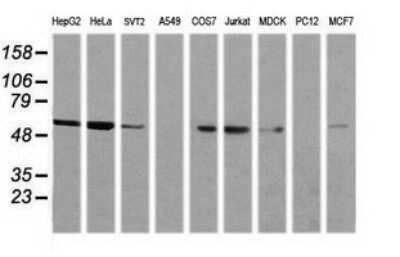
Western Blot: NONO Antibody (OTI3F8)Azide and BSA Free [NBP2-73033]

Western Blot: NONO Antibody (OTI3F8)Azide and BSA Free [NBP2-73033]

Western Blot: NONO Antibody (OTI3F8) - Azide and BSA Free [NBP2-73033] - Analysis of extracts (35ug) from 9 different cell lines (HepG2: human; HeLa: human; SVT2: mouse; A549: human; COS7: monkey; Jurkat: human; MDCK: canine; PC12: rat; MCF7: human).

Applications for NONO Antibody (OTI3F8) - Azide and BSA Free

Application
Recommended Usage

Immunocytochemistry/ Immunofluorescence

1:100

Immunohistochemistry

1:150

Western Blot

1:200-1000

Formulation, Preparation, and Storage

Purification

Immunogen affinity purified

Reconstitution

we recommend adding 100uL distilled water to a final antibody concentration of about 1 mg/mL. To use this carrier-free antibody for conjugation experiment, we strongly recommend performing another round of desalting process.

Formulation

Lyophilized from PBS (pH 7.3) with 8% Trehalose

Format

Azide and BSA Free

Preservative

No Preservative

Concentration

LYOPH mg/ml

Shipping

The product is shipped with polar packs. Upon receipt, store it immediately at the temperature recommended below.

Stability & Storage

Store at -20C. Avoid freeze-thaw cycles.

Background: NONO

Non-POU-domain-containing octamer binding protein (NONO) is a member of the DBHS (drosophila behavior, human splicing) domain-containing family and is an RNA- and DNA- binding protein. NONO and other DBHS domain-containing proteins are multifunctional and are reported to be involved in transcriptional regulation, mRNA processing, and DNA non-homologous end joining (NHEJ). NONO functions as a coregulator of the androgen receptor (AR) and also regulates cAMP transcriptional activity by interacting with gene promoter elements. NONO is also involved in pre-mRNA splicing through an interaction with U5 snRNA and can stimulate DNA nonhomologous end joining (NHEJ) through the interaction with ku70/G22p and ku80/XRCC5 dimers. Alternate names for NONO include 54 kDa nuclear RNA- and DNA-binding protein, p54 (nrb), 55 kDa nuclear protein, NMT55, DNA-binding p52/p100 complex, NRB54, P54, and P54NRB.

Alternate Names

NMT5552 kDa subunit, non-POU domain containing, octamer-binding, NRB54non-POU-domain-containing, octamer-binding, p54(nrb)

Gene Symbol

NONO

Additional NONO Products

Product Documents for NONO Antibody (OTI3F8) - Azide and BSA Free

Certificate of Analysis

To download a Certificate of Analysis, please enter a lot number in the search box below.

Product Specific Notices for NONO Antibody (OTI3F8) - Azide and BSA Free

This product is for research use only and is not approved for use in humans or in clinical diagnosis. Primary Antibodies are guaranteed for 1 year from date of receipt.

Loading...
Loading...
Loading...
Loading...
Loading...