Skip to main content

Nocturnin Antibody - BSA Free

Novus Biologicals, part of Bio-Techne | Catalog # NBP2-87931

Novus Biologicals, part of Bio-Techne
Catalog #
Availability
Size / Price
Qty
Loading...
NBP2-87931

Key Product Details

Species Reactivity

Human

Applications

Immunohistochemistry, Immunohistochemistry-Paraffin, Western Blot

Label

Unconjugated

Antibody Source

Polyclonal Rabbit

Format

BSA Free

Concentration

1 mg/ml

Product Specifications

Immunogen

The immunogen is a synthetic peptide directed towards the N terminal region of human Nocturnin. Peptide sequence: LNSSAASQHPEYLVSPDPEHLEPIDPKELLEECRAVLHTRPPRFQRDFVD The peptide sequence for this immunogen was taken from within the described region.

Clonality

Polyclonal

Host

Rabbit

Description

Novus Biologicals Rabbit Nocturnin Antibody - BSA Free (NBP2-87931) is a polyclonal antibody validated for use in IHC and WB. All Novus Biologicals antibodies are covered by our 100% guarantee.

Scientific Data Images for Nocturnin Antibody - BSA Free

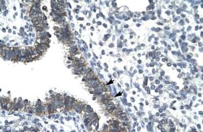
Immunohistochemistry-Paraffin: Nocturnin Antibody [NBP2-87931]

Immunohistochemistry-Paraffin: Nocturnin Antibody [NBP2-87931]

Immunohistochemistry-Paraffin: Nocturnin Antibody [NBP2-87931] - Rabbit Anti-CCRN4L antibody. Paraffin Embedded Tissue: Human Lung cell Cellular Data: bronchiole epithelium of renal tubule. Antibody Concentration: 4.0-8.0 ug/ml. Magnification: 400X
Immunohistochemistry: Nocturnin Antibody [NBP2-87931]

Immunohistochemistry: Nocturnin Antibody [NBP2-87931]

Immunohistochemistry: Nocturnin Antibody [NBP2-87931] - Human Lung

Applications for Nocturnin Antibody - BSA Free

Application
Recommended Usage

Western Blot

1.0 ug/ml

Formulation, Preparation, and Storage

Purification

Protein A purified

Formulation

PBS, 2% Sucrose

Format

BSA Free

Preservative

0.09% Sodium Azide

Concentration

1 mg/ml

Shipping

The product is shipped with polar packs. Upon receipt, store it immediately at the temperature recommended below.

Stability & Storage

Store at 4C short term. Aliquot and store at -20C long term. Avoid freeze-thaw cycles.

Background: Nocturnin

Nocturnin is encoded by this gene is highly similar to Nocturnin, a gene identified as a circadian clock regulated gene in Xenopus laevis. This protein and Nocturnin protein share similarity with the C-terminal domain of a yeast transcription factor, carbon catabolite repression 4 (CCR4). The mRNA abundance of a similar gene in mouse has been shown to exhibit circadian rhythmicity, which suggests a role for this protein in clock function or as a circadian clock effector. [provided by RefSeq]

Alternate Names

CCR4 carbon catabolite repression 4-like (S. cerevisiae), CCR4 protein homolog, CCR4-like (carbon catabolite repression 4, S.cerevisiae), CCR4LMGC142060, CCR4MGC4120817, MGC142054, MGC78549, NOC, nocturnin

Gene Symbol

NOCT

Additional Nocturnin Products

Product Documents for Nocturnin Antibody - BSA Free

Certificate of Analysis

To download a Certificate of Analysis, please enter a lot number in the search box below.

Product Specific Notices for Nocturnin Antibody - BSA Free

This product is for research use only and is not approved for use in humans or in clinical diagnosis. Primary Antibodies are guaranteed for 1 year from date of receipt.

Loading...
Loading...
Loading...
Loading...