Skip to main content

NOB1 Antibody (8G0) - BSA Free

Novus Biologicals, part of Bio-Techne | Catalog # NBP3-43007

Novus Biologicals, part of Bio-Techne
Catalog #
Availability
Size / Price
Qty
Loading...
NBP3-43007

Key Product Details

Species Reactivity

Human

Applications

Immunohistochemistry, Western Blot, ELISA

Label

Unconjugated

Antibody Source

Monoclonal Mouse IgG2A Clone # 8G0

Format

BSA Free

Concentration

Please see the vial label for concentration. If unlisted please contact technical services.

Product Specifications

Immunogen

NIN1/RPN12 binding protein 1 homolog(S. cerevisiae) - (Uniprot# Q9ULX3)

Clonality

Monoclonal

Host

Mouse

Isotype

IgG2A

Theoretical MW

47 kDa.
Disclaimer note: The observed molecular weight of the protein may vary from the listed predicted molecular weight due to post translational modifications, post translation cleavages, relative charges, and other experimental factors.

Description

Novus Biologicals Mouse NOB1 Antibody (8G0) - BSA Free (NBP3-43007) is a monoclonal antibody validated for use in IHC, WB and ELISA. All Novus Biologicals antibodies are covered by our 100% guarantee.

Scientific Data Images for NOB1 Antibody (8G0) - BSA Free

NOB1 Antibody (8G0)

Western Blot: NOB1 Antibody (8G0) [NBP3-43007] -

Western Blot: NOB1 Antibody (8G0) [NBP3-43007] - Jurkat cells were subjected to SDS PAGE followed by western blot with (NOB1 Antibody) at dilution of 1:3000
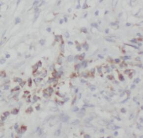
NOB1 Antibody (8G0)

Immunohistochemistry: NOB1 Antibody (8G0) [NBP3-43007] -

Immunohistochemistry: NOB1 Antibody (8G0) [NBP3-43007] - Immunohistochemistry of paraffin-embedded human breast cancer tissue slide using (NOB1 Antibody) at dilution of 1:200

Applications for NOB1 Antibody (8G0) - BSA Free

Application
Recommended Usage

Immunohistochemistry

1:20 - 1:200

Western Blot

1:1000 - 1:6000

Formulation, Preparation, and Storage

Purification

Protein A or G purified

Formulation

PBS (pH 7.3), 50% glycerol

Format

BSA Free

Preservative

0.02% Sodium Azide

Concentration

Please see the vial label for concentration. If unlisted please contact technical services.

Shipping

The product is shipped with polar packs. Upon receipt, store it immediately at the temperature recommended below.

Stability & Storage

Store at -20C. Avoid freeze-thaw cycles.

Background: NOB1

NOB1 may play a role in mRNA degradation

Alternate Names

adenocarcinoma antigen recognized by T lymphocytes 4, ART4, ART-4, MST158, nin one binding protein, NIN1/RPN12 binding protein 1 homolog (S. cerevisiae), NOB1PPSMD8BP1, Phosphorylation regulatory protein HP-10, Protein ART-4, PSMD8 binding protein 1, RNA-binding protein NOB1

Gene Symbol

NOB1

Additional NOB1 Products

Product Documents for NOB1 Antibody (8G0) - BSA Free

Certificate of Analysis

To download a Certificate of Analysis, please enter a lot number in the search box below.

Product Specific Notices for NOB1 Antibody (8G0) - BSA Free

This product is for research use only and is not approved for use in humans or in clinical diagnosis. Primary Antibodies are guaranteed for 1 year from date of receipt.

Loading...
Loading...
Loading...
Loading...