Skip to main content

NMNAT-1 Antibody - BSA Free

Novus Biologicals, part of Bio-Techne | Catalog # NBP2-32107

Novus Biologicals, part of Bio-Techne

Key Product Details

Validated by

Biological Validation

Species Reactivity

Human, Mouse

Applications

Validated:

Immunohistochemistry, Immunohistochemistry-Paraffin, Western Blot, Immunoprecipitation (Negative)

Cited:

Western Blot

Label

Unconjugated

Antibody Source

Polyclonal Rabbit IgG

Format

BSA Free

Concentration

1.0 mg/ml

Product Specifications

Immunogen

The immunogen this antibody was made to, maps to a region between residue 229 to 279 of human Nicotinamide Nucleotide Adenylyltransferase 1 using the numbering given in entry NP_073624.2 (GeneID 64802).

Clonality

Polyclonal

Host

Rabbit

Isotype

IgG

Description

Novus Biologicals Rabbit NMNAT-1 Antibody - BSA Free (NBP2-32107) is a polyclonal antibody validated for use in IHC and WB. Anti-NMNAT-1 Antibody: Cited in 1 publication. All Novus Biologicals antibodies are covered by our 100% guarantee.

Scientific Data Images for NMNAT-1 Antibody - BSA Free

Western Blot: NMNAT-1 Antibody [NBP2-32107]

Western Blot: NMNAT-1 Antibody [NBP2-32107]

Western Blot: NMNAT-1 Antibody [NBP2-32107] - Whole cell lysate (50 ug) from HeLa, 293T, Jurkat, and mouse TCMK-1 cells. Antibodies: Affinity purified rabbit anti-NMNAT1 antibody NBP2-32107 used for WB at 0.1 ug/ml. Detection: Chemiluminescence with an exposure time of 3 minutes.
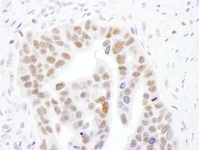
Immunohistochemistry-Paraffin: NMNAT-1 Antibody [NBP2-32107]

Immunohistochemistry-Paraffin: NMNAT-1 Antibody [NBP2-32107]

Immunohistochemistry-Paraffin: NMNAT-1 Antibody [NBP2-32107] - Section of human ovarian carcinoma. Antibody: Affinity purified rabbit anti- NMNAT1 used at a dilution of 1:1,000 (1ug/ml). Detection: DAB. Counterstain: IHC Hematoxylin (blue).

Applications for NMNAT-1 Antibody - BSA Free

Application
Recommended Usage

Immunohistochemistry

1:500 - 1:2000

Immunohistochemistry-Paraffin

1:500 - 1:2000

Western Blot

1:2000 - 1:10000
Application Notes
Epitope retrieval with citrate buffer pH6.0 is recommended for FFPE tissue sections.

Formulation, Preparation, and Storage

Purification

Immunogen affinity purified

Formulation

Tris-Citrate/Phosphate (pH 7.0 - 8.0)

Format

BSA Free

Preservative

0.09% Sodium Azide

Concentration

1.0 mg/ml

Shipping

The product is shipped with polar packs. Upon receipt, store it immediately at the temperature recommended below.

Stability & Storage

Store at 4C. Do not freeze.

Background: NMNAT-1

The coenzyme NAD and its derivatives are involved in hundreds of metabolic redox reactions and are utilized in protein ADP-ribosylation, histone deacetylation, and in some Ca(2+) signaling pathways. NMNAT (EC 2.7.7.1) is a central enzyme in NAD biosynthesis, catalyzing the condensation of nicotinamide mononucleotide (NMN) or nicotinic acid mononucleotide (NaMN) with the AMP moiety of ATP to form NAD or NaAD (Zhang et al., 2003 [PubMed 12574164]).[supplied by OMIM]

Long Name

Nicotinamide mononucleotide adenylyltransferase-1

Alternate Names

NMN adenylyltransferase 1, NMNAT1, PNAT1

Gene Symbol

NMNAT1

Additional NMNAT-1 Products

Product Documents for NMNAT-1 Antibody - BSA Free

Certificate of Analysis

To download a Certificate of Analysis, please enter a lot number in the search box below.

Product Specific Notices for NMNAT-1 Antibody - BSA Free

This product is for research use only and is not approved for use in humans or in clinical diagnosis. Primary Antibodies are guaranteed for 1 year from date of receipt.

Loading...
Loading...
Loading...
Loading...