Skip to main content

NME6 Antibody - Azide and BSA Free

Novus Biologicals, part of Bio-Techne | Catalog # NBP2-93423

Novus Biologicals, part of Bio-Techne
Catalog #
Availability
Size / Price
Qty
Loading...
NBP2-93423-0.02ml
NBP2-93423-0.1ml

Key Product Details

Species Reactivity

Human, Mouse, Rat

Applications

Immunohistochemistry, Immunohistochemistry-Paraffin, Western Blot

Label

Unconjugated

Antibody Source

Polyclonal Rabbit IgG

Format

Azide and BSA Free

Concentration

Please see the vial label for concentration. If unlisted please contact technical services.

Product Specifications

Immunogen

Recombinant fusion protein containing a sequence corresponding to amino acids 9-194 of human NME6 (NP_005784.1). MASILRSPQALQLTLALIKPDAVAHPLILEAVHQQILSNKFLIVRMRELLWRKEDCQRFYREHEGRFFYQRLVEFMASGPIRAYILAHKDAIQLWRTLMGPTRVFRARHVAPDSIRGSFGLTDTRNTTHGSDSVVSASREIAAFFPDFSEQRWYEEEEPQLRCGPVCYSPEGGVHYVAGTGGLGPA

Clonality

Polyclonal

Host

Rabbit

Isotype

IgG

Description

Novus Biologicals Rabbit NME6 Antibody - Azide and BSA Free (NBP2-93423) is a polyclonal antibody validated for use in IHC and WB. All Novus Biologicals antibodies are covered by our 100% guarantee.

Scientific Data Images for NME6 Antibody - Azide and BSA Free

Western Blot: NME6 AntibodyAzide and BSA Free [NBP2-93423]

Western Blot: NME6 AntibodyAzide and BSA Free [NBP2-93423]

Western Blot: NME6 Antibody [NBP2-93423] - Western blot analysis of extracts of various cell lines, using NME6 Rabbit pAb (NBP2-93423) at 1:1000 dilution. Secondary antibody: HRP Goat Anti-Rabbit IgG (H+L) at 1:10000 dilution. Lysates/proteins: 25ug per lane. Blocking buffer: 3% nonfat dry milk in TBST. Detection: ECL Basic Kit. Exposure time: 120s.
Immunohistochemistry-Paraffin: NME6 Antibody - Azide and BSA Free [NBP2-93423]

Immunohistochemistry-Paraffin: NME6 Antibody - Azide and BSA Free [NBP2-93423]

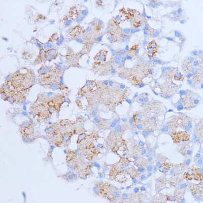
Immunohistochemistry-Paraffin: NME6 Antibody [NBP2-93423] - Paraffin-embedded mouse kidney using NME6 .
Immunohistochemistry-Paraffin: NME6 Antibody - Azide and BSA Free [NBP2-93423]

Immunohistochemistry-Paraffin: NME6 Antibody - Azide and BSA Free [NBP2-93423]

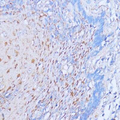
Immunohistochemistry-Paraffin: NME6 Antibody [NBP2-93423] - Paraffin-embedded human esophageal using NME6 .

Applications for NME6 Antibody - Azide and BSA Free

Application
Recommended Usage

Immunohistochemistry

1:50-1:100

Western Blot

1:500 - 1:2000

Formulation, Preparation, and Storage

Purification

Affinity purified

Formulation

PBS (pH 7.3), 50% glycerol

Format

Azide and BSA Free

Preservative

0.01% Thimerosal

Concentration

Please see the vial label for concentration. If unlisted please contact technical services.

Shipping

The product is shipped with polar packs. Upon receipt, store it immediately at the temperature recommended below.

Stability & Storage

Store at -20C. Avoid freeze-thaw cycles.

Background: NME6

Belonging to the NDK family, NME6 plays an important role in cell growth and is commonly expressed in the kidney, prostate, ovary and intestine. This gene is an inhibitor of p53 induced apoptosis and is a ubiquitous enzyme that catalyzes the transfer of gamma-phosphates. NME6 also phosphorylates nucleoside diphosphates; and is involved in the regulation of development, oncogenic transformation and metastasis. It also plays a major role in the synthesis of nucleoside triphosphates other than ATP. Molecular functions include ATP binding, kinase activity, metal ion binding, nucleoside diphosphate kinase activity, nucleotide binding and transferase activity. Diseases for NME6 include neisseria meningitides, prostatitis, prostate cancer and pneumonia.

Alternate Names

EC 2.7.4.6, Inhibitor of p53-induced apoptosis-alpha, IPIA-alpha, NDK 6, NDP kinase 6, nm23-H6, non-metastatic cells 6, protein expressed in (nucleoside-diphosphate kinase), nucleoside diphosphate kinase 6

Gene Symbol

NME6

Additional NME6 Products

Product Documents for NME6 Antibody - Azide and BSA Free

Certificate of Analysis

To download a Certificate of Analysis, please enter a lot number in the search box below.

Product Specific Notices for NME6 Antibody - Azide and BSA Free

This product is for research use only and is not approved for use in humans or in clinical diagnosis. Primary Antibodies are guaranteed for 1 year from date of receipt.

Loading...
Loading...
Loading...
Loading...

⚠ WARNING: This product can expose you to chemicals including Methotrexate, which is known to the State of California to cause reproductive toxicity with developmental effects. For more information, go to www.P65Warnings.ca.gov